5, 6 y 7 de febrero de 2026
Atención Primaria.
Dolor epigástrico de nueve meses de evolución.
Enfoque individual
Mujer de 29 años sin antecedentes patológicos de relevancia que acude a una consulta de atención primaria por reflujo gastroesofágico de un mes de evolución con dolor epigástrico postprandial. La exploración abdominal es normal, con ligero dolor en epigastrio a la palpación. Se le solicita una analítica sanguínea general completa y una muestra de heces para la detección de Helicobacter Pylori. La analítica resulta ser normal y no hay detección de H. Pylori. Se realiza pauta de Omeprazol 20 mg 1 comprimido al día durante 4 semanas con mejoría parcial, por lo que se intensifica tratamiento a 1 comprimido cada 12 h durante 8 semanas.
La paciente aparece en nuestra consulta seis meses más tarde, con la misma sintomatología, que solo mejora parcialmente cuando toma el inhibidor de bomba de protones (IBP).
Hallazgos ecográficos
Se le cita en ayunas y realizamos una ecografía abdominal.
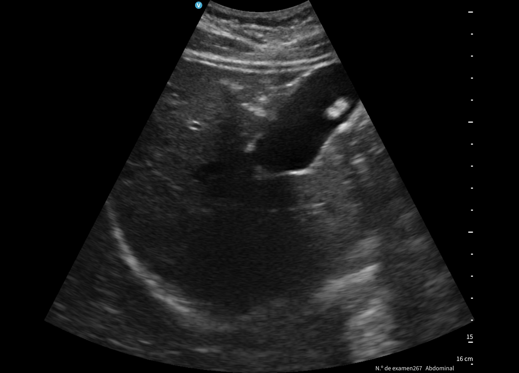
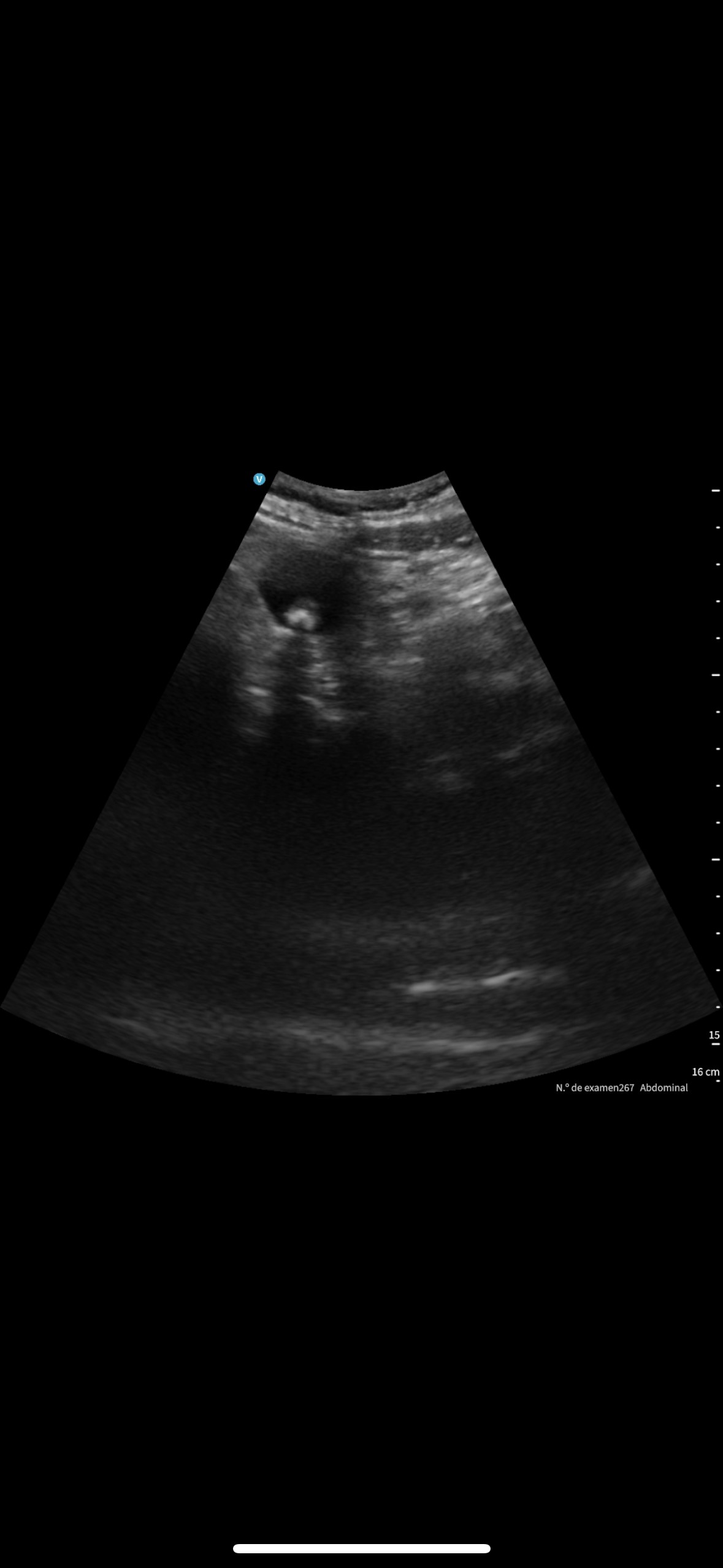
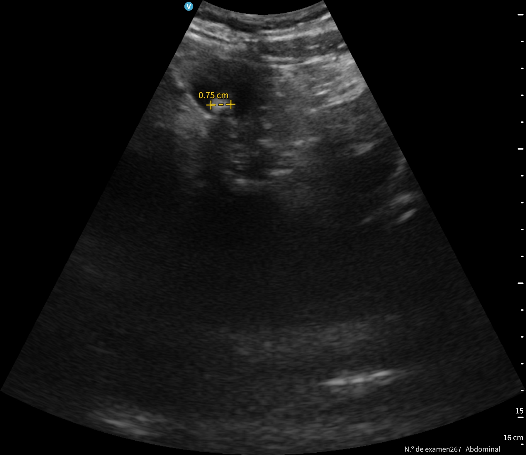
En la exploración abdominal se objetiva un cardias laxo de 2,19 cm, y la vesícula biliar distendida con colelitiasis múltiple.
Tratamiento, planes de actuación
Se recomiendan hábitos higiénicodietéticos (Dieta de protección biliar), seguir omeprazol 20 mg 1 c/12 h e iniciar un procinético 1 c/8 h antes de las comidas unas semanas y posteriormente intentar reducir a 1 comprimido antes de la comida principal. Le explicamos la indicación quirúrgica que existe si no hay buena respuesta con la dieta.
Aproximadamente entre un 30 y 50% de las dispepsias no son funcionales, por lo que es fundamental filiar adecuadamente el origen de los síntomas digestivos. En este caso, la ecografía abdominal realizada en el centro de salud permitió identificar un origen biliar en una paciente inicialmente diagnosticada de dispepsia y tratada como reflujo. Este hallazgo evitó la realización de pruebas complementarias más invasivas, evidenciando el valor diagnóstico de la ecografía en el primer nivel asistencial.


