5, 6 y 7 de febrero de 2026
Atención Primaria.
Dolor abdominal, metrorragia y astenia.
Enfoque individual
Paciente de 43 años sin antecedentes personales de interés. Acude a consulta del centro de salud porque desde hace un mes presenta sangrado vaginal mayor a una regla a diario, asociando astenia, dolor abdominal a nivel de hipogastrio y sensación de distensión abdominal durante todo el día.
Refiere a su vez pérdida de 2 kg de peso en el último mes.
A la exploración, se palpa en hemiabdomen inferior masa con bordes mal definidos, indurada, dolorosa, de unos 10 cm aproximadamente. Dicha masa protruye en la pared abdominal, observándose a la inspección.
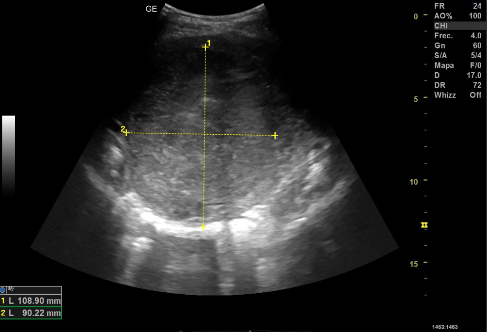
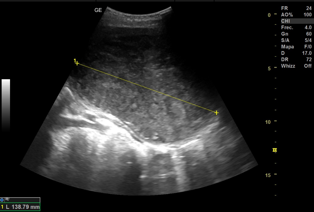
Hallazgos ecográficos
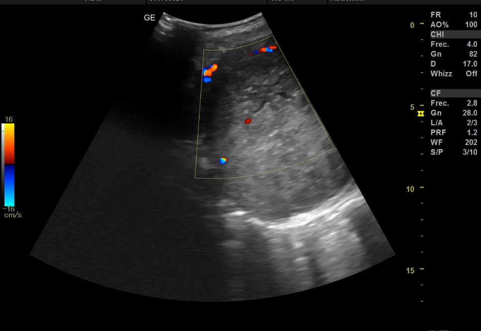
Se le realiza a la paciente ecografía abdominal con sonda cónvex, donde se objetiva en la zona anteriormente mencionada masa de unos 138 mm en su eje longitudinal y 108x90 mm en un corte transversal, no pudiendo precisar con exactitud el origen de la misma. Al aplicar el Doppler color se observa una captación periférica.
Pruebas complementarias
Analítica (realizada en urgencias): hemoglobina 11 mg/dL, hematocrito 28%, volumen corpuscular medio 80 fL, ancho de distribución eritrocitaria 17,1%, resto de analítica anodina.
Juicio clínico, diagnóstico diferencial, concordancia con el hospital (en su caso)
Diagnóstico diferencial: masa ovárica, mioma uterino.
Juicio clínico: mioma transmural. Leiomioma celular.
Tratamiento, planes de actuación
Se deriva a la paciente a urgencias ginecológicas del hospital, donde se le realiza ecografía transvaginal: útero en ante, irregular a expensas de mioma transmural de 12x13 cm. Endometrio no bien visualizable por presencia de mioma, pero impresiona de lineal. Ovario izquierdo normal y ovario derecho no visualizado. No líquido libre en espacio de Douglas.
Se le cita posteriormente en consultas externas de Ginecología, decidiendo intervención quirúrgica consistente en histerectomía total + salpinguectomía bilateral por laparotomía enviando material a Anatomía Patológica.
La ecografía es una herramienta esencial porque empodera al personal médico de los centros de salud, ofreciendo una «extensión visual» de su exploración física para un diagnóstico más seguro y precoz. Todo ello garantiza decisiones clínicas rápidas y precisas en la Atención Primaria como ha quedado de manifiesto con este caso clínico.



