X Jornadas de Actualización en Medicina de Urgencias y VI Jornadas de Ecografía de la semFYC
6-7-8 de febrero de 2025
Antecedentes personales relevantes, anamnesis, exploración física y lugar que ocupa en ella la ecografía
Mujer, 55 años, procedente de Marruecos sin antecedentes personales de interés que acude a consulta por dolor abdominal en hemiabdomen inferior de varios meses de evolución que no mejora con analgesia habitual. No asocia náuseas ni vómitos, no síntomas miccionales, no alteraciones del ritmo intestinal ni fiebre.
En exploración destaca dolor a la palpación en hipogastrio y resto normal.
Ante todo lo anterior se decide realizar ecografía abdominal.
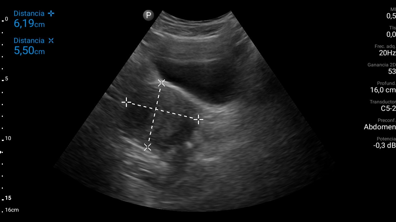
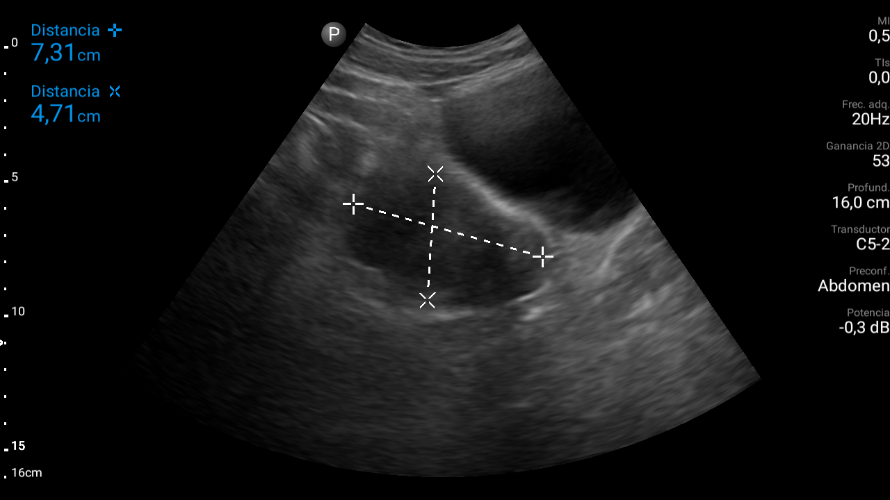
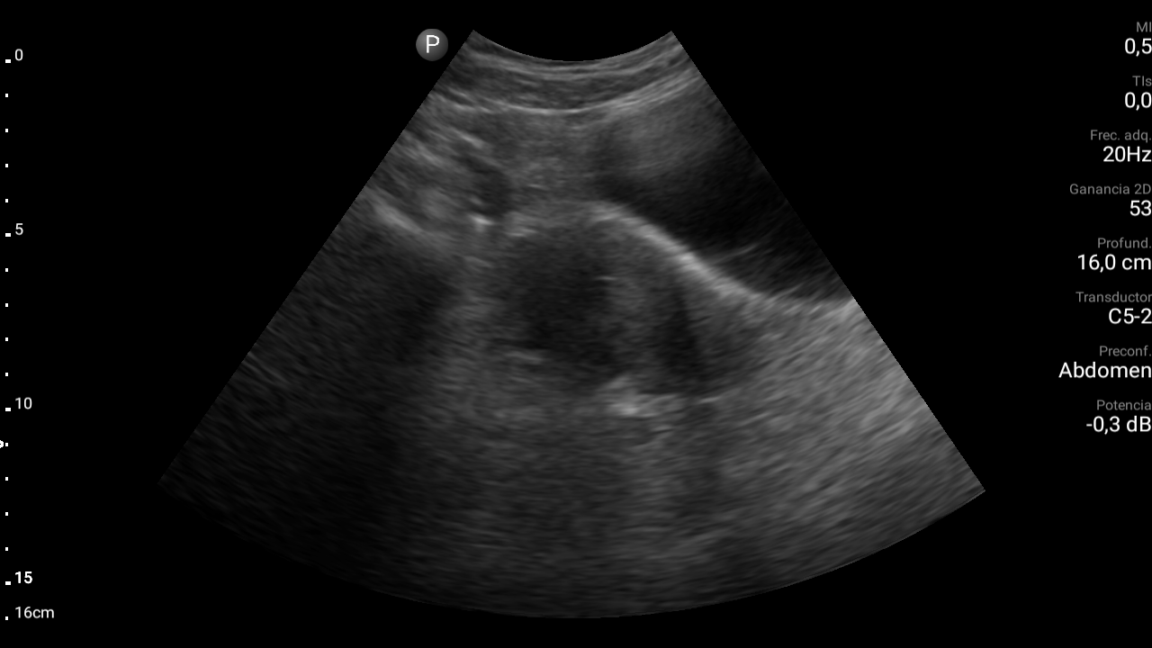
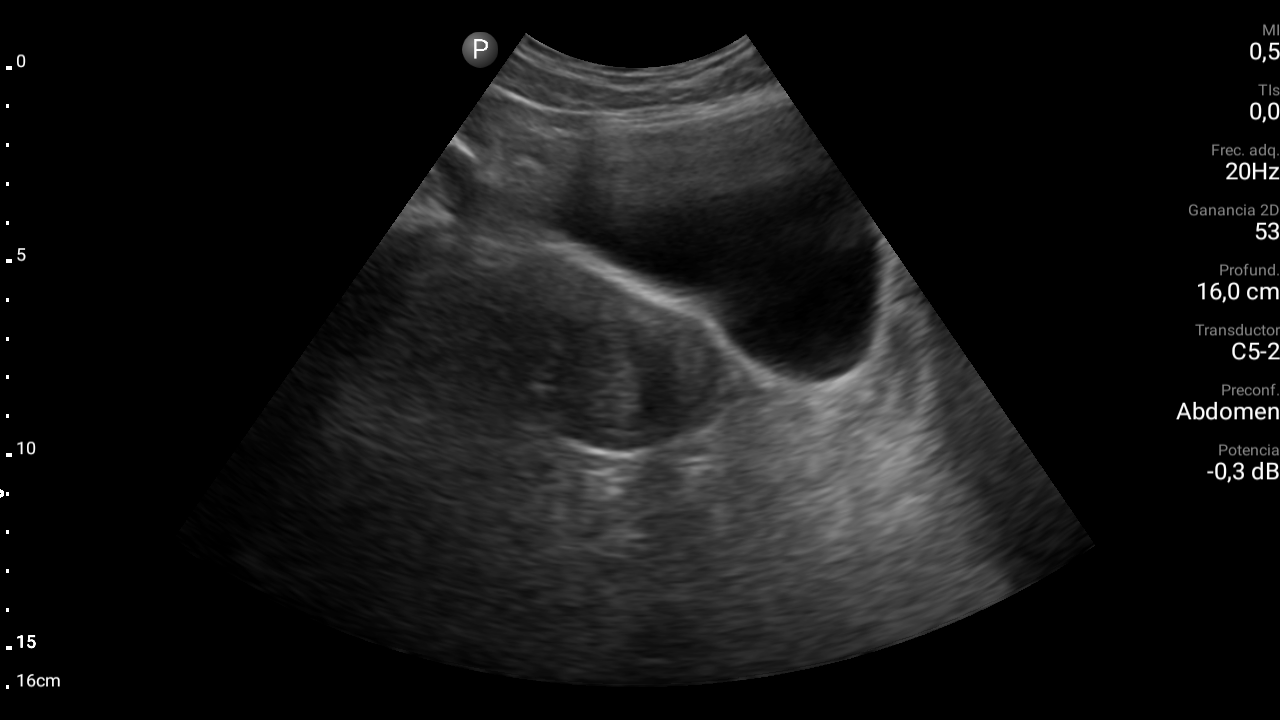
Descripción de los hallazgos ecográficos y las imágenes más relevantes para la resolución del caso
Ecografía abdominal: se observa masa hipoecoica dependiente de útero por lo que se remite de forma preferente a ginecología.
Otras pruebas complementarias realizadas (si existen)
Juicio clínico, diagnóstico diferencial, concordancia con el hospital (en su caso)
Diagnóstico: mioma uterino.El diagnóstico diferencial habría que realizarlo entre adenomitosis (ausencia de cápsula que separa la formación del tejido miometrial normal), sarcoma, leiomiosarcoma (tumor maligno), salpingitis, endometriosis, embarazo ectópico, torsión ovárica, rotura de ovario, patología urológica (cólico nefrítico…) o patología digestiva (enfermedad inflamatoria intestinal, pseudoobstrucción intestinal…).
Decisiones adoptadas: tratamiento, planes de actuación
Dado que produce síntomas en la paciente deciden cirugía.
Evolución y seguimiento
Actualmente en lista de espera quirúrgica.
Con este caso quiero exponer como gracias a la ecografía, la cual se puede hacer a pie de cama en la misma consulta del Centro de Salud, se puede llegar al diagnóstico y, sobre todo, a la realización del diagnóstico diferencial con las múltiples patologías que se pueden asociar a un síntoma. En el caso de nuestra paciente nos ayudó a discernir de si el dolor abdominal se relacionaba con patología ginecológica, urológica o digestiva. Así pudimos derivarla adecuadamente al servicio hospitalario correspondiente para poder recibir el tratamiento adecuado, ya que sólo con la clínica y exploración tan inespecífica de la paciente había muchas posibilidades diagnósticas.



