V Jornadas de Ecografía de la semFYC

9 y 10 de febrero de 2024

Comunicaciones: Casos clínicos

Masa en mujer joven (póster)

Ámbito del caso

Atención Primaria.

Motivos de consulta

Dolor abdominal.

Historia clínica

Enfoque individual

Mujer, 55 años, procedente de Marruecos sin antecedentes personales de interés que acude a consulta por dolor abdominal en hemiabdomen inferior de varios meses de evolución que no mejora con analgesia habitual. No asocia náuseas ni vómitos, no síntomas miccionales, no alteraciones del ritmo intestinal ni fiebre.

En exploración destaca dolor a la palpación en hipogastrio y resto normal.

Ante la clínica descrita se decide realizar analítica (bioquímica con función hepática y renal, hemograma, sistemático de orina) sin hallazgos y ecografía abdominal.

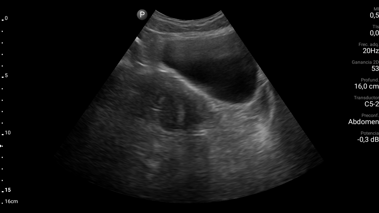
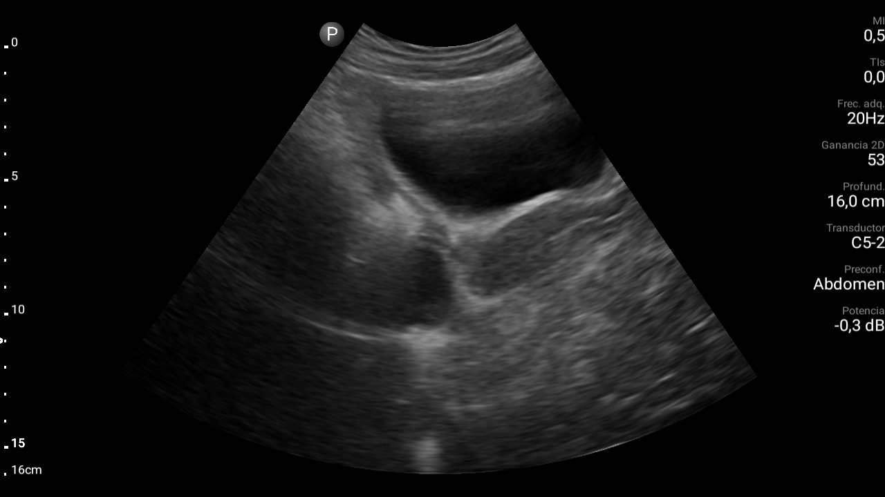
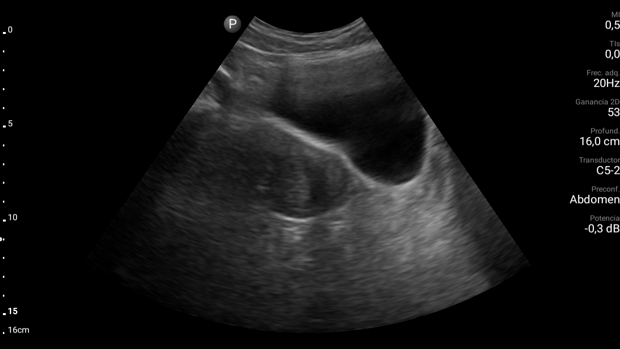
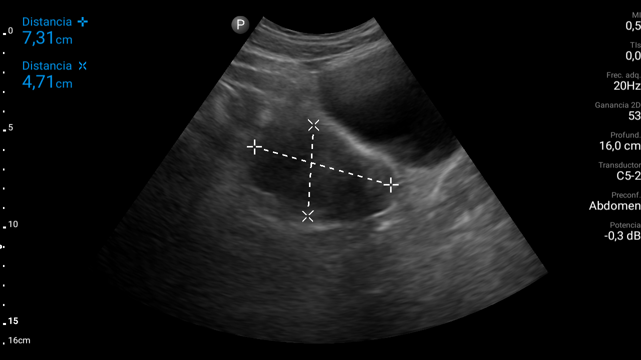
Hallazgos ecográficos

En ecografía abdominal se observa masa hipoecoica dependiente de útero por lo que se remite de forma preferente a ginecología.

Pruebas complementarias

En ginecología le realizan ecografía transvaginal, siendo diagnosticada de mioma uterino. 

Juicio clínico, diagnóstico diferencial, identificación de problemas

El diagnóstico diferencial habría que realizarlo entre adenomitosis (ausencia de cápsula que separa la formación del tejido miometrial normal), sarcoma, leiomiosarcoma (tumor maligno), salpingitis, endometriosis, embarazo ectópico, torsión ovárica, rotura de ovario, patología urológica (cólico nefrítico…) o patología digestiva (enfermedad inflamatoria intestinal, pseudoobstrucción intestinal…).

Tratamiento y planes de actuación

Dado que produce síntomas en la paciente deciden cirugía, estando actualmente en lista de espera quirúrgica.

Evolución

Hasta que le realicen la intervención quirúrgica le realizan controles ecográficos transvaginales cada 6 meses y tiene tratamiento analgésico si precisa por dolor.

Conclusiones (y aplicabilidad para la Medicina de Familia)

Con este caso quiero exponer como gracias a la ecografía, la cual se puede hacer a pie de cama en la misma consulta del Centro de Salud, se puede llegar al diagnóstico y, sobre todo, a la realización del diagnóstico diferencial con las múltiples patologías que se pueden asociar a un síntoma. En el caso de nuestra paciente nos ayudó a discernir de si el dolor abdominal se relacionaba con patología ginecológica, urológica o digestiva. Así pudimos derivarla adecuadamente al servicio hospitalario correspondiente para poder recibir el tratamiento adecuado, ya que solo con la clínica y exploración tan inespecífica de la paciente había muchas posibilidades diagnósticas.


Comunicaciones y ponencias semFYC: 2026; Comunicaciones: Casos clínicos. ISSN: 2339-9333