5, 6 y 7 de febrero de 2026
Atención Primaria.
Tumoración indolora en la cara lateral de la pierna derecha, de aparición casual y crecimiento progresivo.
Enfoque individual
Hombre de 73 años sin antecedentes relevantes que consulta por aparición de un bultoma profundo en la pierna derecha detectado de forma casual. Refiere varias semanas de evolución y aumento progresivo de tamaño, sin dolor, traumatismo previo ni síntomas sistémicos. A la exploración se objetiva una masa profunda, firme, no móvil, sin cambios cutáneos ni déficit neurovascular. Debido a la localización y consistencia de la lesión se realiza ecografía en la consulta para orientar el diagnóstico.
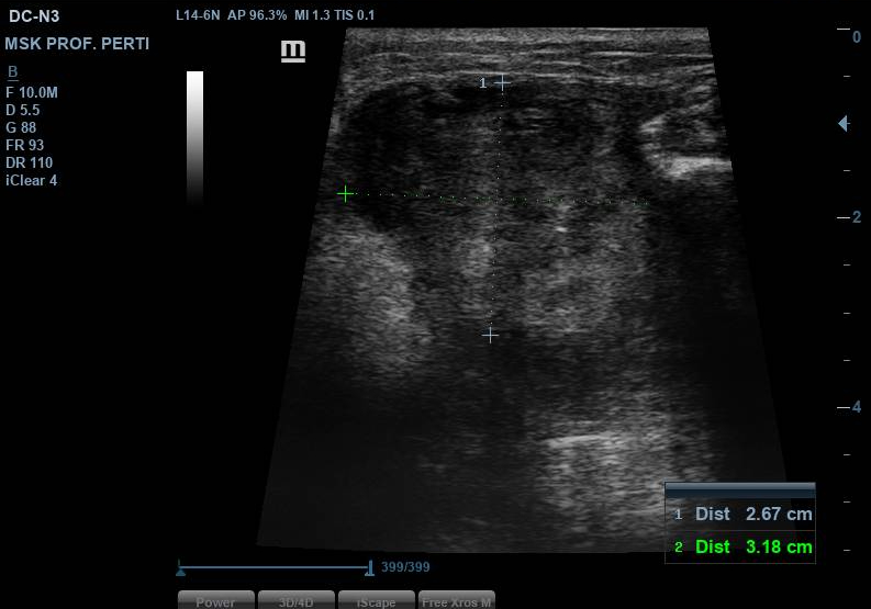
Hallazgos ecográficos
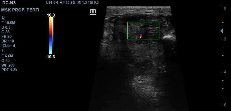
La ecografía muestra una lesión sólida hipoecoica, heterogénea y de contornos irregulares, situada entre la musculatura gemelar lateral y la musculatura peronea, con tamaño aproximado de 2,6–3,2 cm. Presenta áreas anecoicas compatibles con degeneración quística, pequeños focos hiperecogénicos sugestivos de calcificaciones y engrosamiento fascial con pérdida de la arquitectura normal. El estudio Doppler identifica vascularización interna arterial y venosa. Los hallazgos son compatibles con lesión mesenquimal profunda y potencialmente agresiva.
Pruebas complementarias
Ecografía hospitalaria: lesión inter e intramuscular mayor (6,7 × 5,5 × 3,6 cm) con contacto con peroné.
RM: masa infiltrativa extensa (14 cm) con afectación de compartimentos lateral y posterior y áreas necróticas, sugestiva de sarcoma.
BAG: sarcoma fusocelular/pleomórfico.
TAC de extensión: sin metástasis.
Juicio clínico, diagnóstico diferencial, concordancia con el hospital (en su caso)
Sospecha inicial de tumoración mesenquimal agresiva. Diagnóstico diferencial: liposarcoma, fibrosarcoma, tumor indiferenciado de alto grado. La sospecha ecográfica fue concordante con los hallazgos radiológicos y anatomopatológicos.
Tratamiento, planes de actuación
Derivación urgente a Traumatología-Oncología. Resección amplia con radioterapia intraoperatoria. Manejo multidisciplinar.
Evolución
Buena recuperación tras cirugía. Sin metástasis en estudios iniciales. Pendiente de radioterapia adyuvante. En seguimiento oncológico.
La ecografía realizada en Atención Primaria permitió detectar una masa profunda y vascularizada, incompatible con una lesión benigna, facilitando la derivación precoz y el diagnóstico de un sarcoma. El caso destaca el papel del médico de familia en la identificación temprana de tumores de partes blandas gracias al uso de la ecografía clínica.



