5, 6 y 7 de febrero de 2026
Mostrar cómo el uso del ecógrafo ultraportátil permite atender consultas fuera del centro de salud de forma segura y resolutiva.
Reivindicar el papel del médico de familia como referente sanitario permanente en su entorno (incluyendo vida privada).
Reflexionar sobre los dilemas, el valor humano y la presión emocional de atender a vecinos, familiares y amigos.
Proponer un modelo de actuación replicable y eficaz, especialmente útil en zonas rurales o en situaciones de difícil acceso al sistema sanitario.
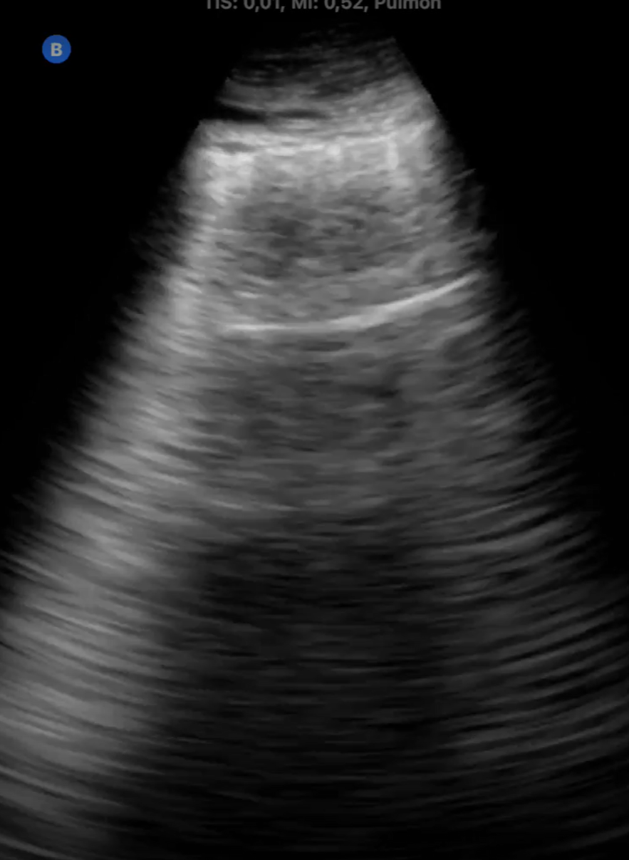
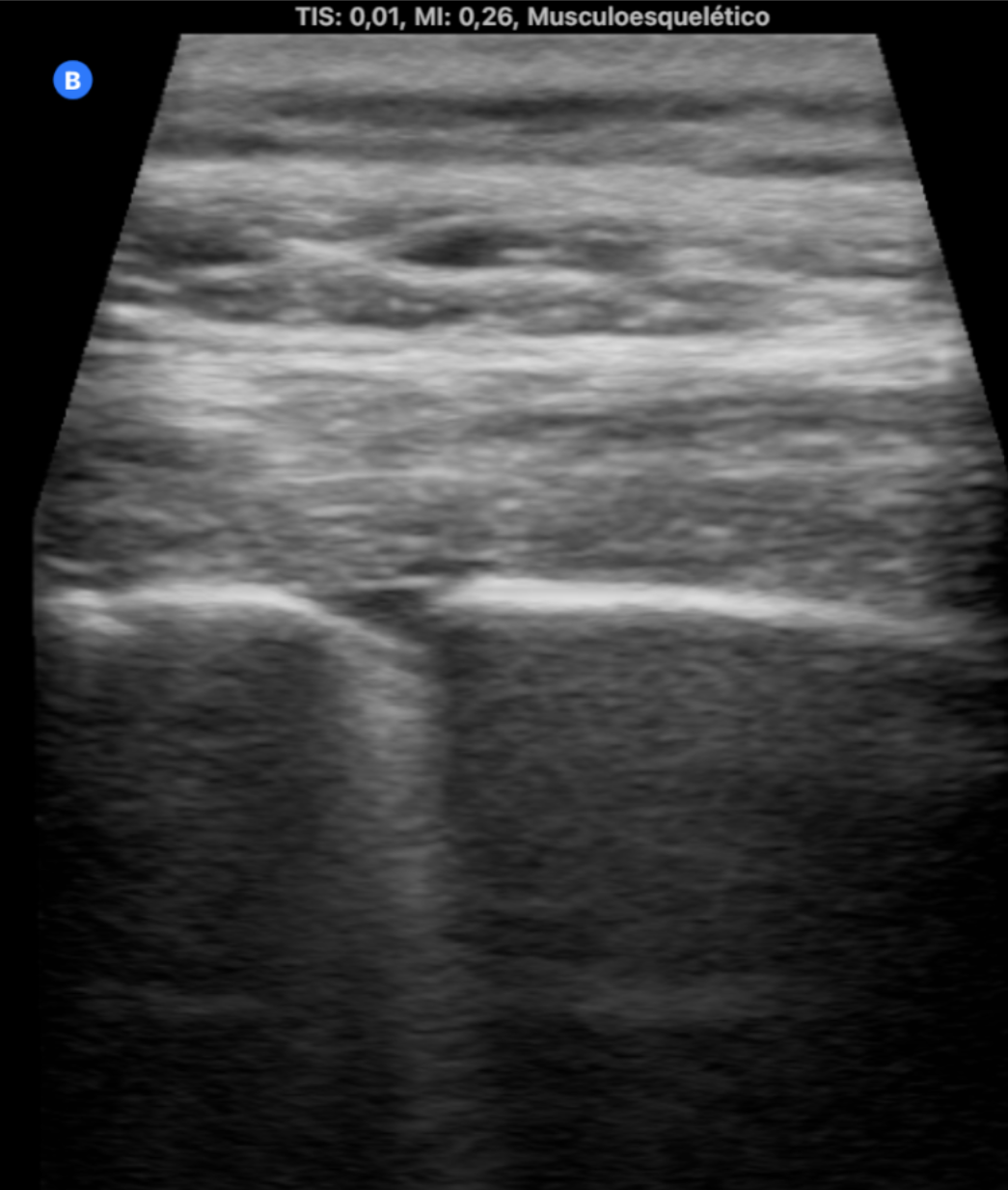
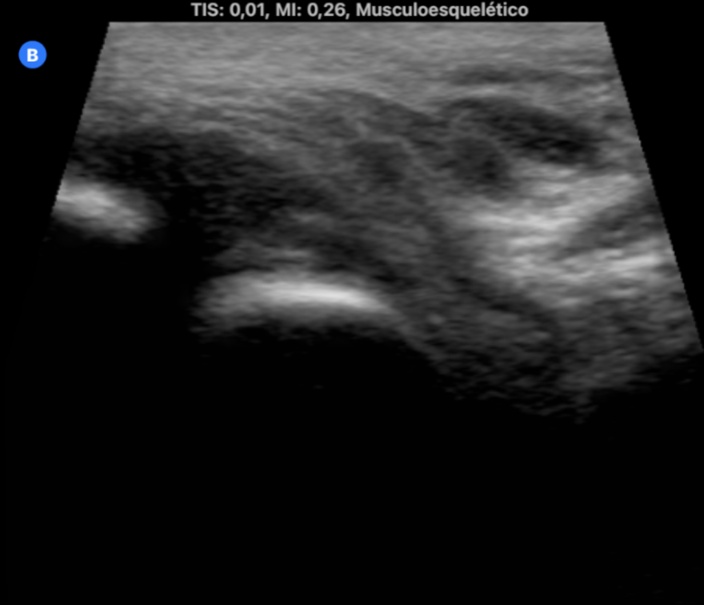
La medicina de familia no tiene horarios ni fronteras. Durante el último año, hemos incorporado el ecógrafo ultraportátil a nuestra vida diaria no como un recurso improvisado, sino como una herramienta integrada en nuestra práctica diaria capaz de dar respuesta inmediata a demandas clínicas surgidas en el entorno comunitario. En este contexto, han surgido situaciones en las que la ecografía ha sido determinante: diagnóstico de neumonías en domicilio, confirmación de roturas fibrilares tras actividad deportiva, fractura costal, valoración de hematomas y complicaciones postquirúrgicas, e incluso la identificación de una enfermedad pulmonar intersticial. Todo ello fuera del centro de salud, sin acceso a historia clínica ni a pruebas complementarias, únicamente con la sonda, la experiencia clínica… y una gran responsabilidad emocional. Estas situaciones generan un desafío distinto: no hay anonimato, y la confianza.
La ecografía ultraportátil amplía la capacidad resolutiva del médico de familia más allá de la consulta. Con herramientas sencillas y bien utilizadas, la Atención Primaria puede acercarse aún más a la población, ofrecer respuestas rápidas y mantener su esencia profundamente humana.
Cualquier médico de familia con formación básica en ecografía y acceso a un ecógrafo portátil puede implementar esta práctica. Especialmente útil en zonas rurales, en atención domiciliaria o en situaciones de difícil acceso al sistema. Reduce derivaciones innecesarias y mejora el acceso al diagnóstico precoz.



