Comunicaciones: Casos clínicos

Miocardiopatía dilatada silente: hallazgo casual en electrocardiograma (oral)

Ámbito del caso

Servicios de Urgencias.

Motivos de consulta

Alteración en el electrocardiograma no presentada previamente, detectada en reconocimiento médico, derivada a urgencias desde Atención Primaria. 

Historia clínica

Enfoque individual

  • Antecedentes personales: Sin factores de riesgo cardiovascular conocidos. Niega consumo de tóxicos. 
  • Anamnesis: Paciente mujer de 58 años acude a urgencias derivada por su médico de Atención Primaria tras detección de bloqueo de rama izquierda en ECG realizado en un reconocimiento médico del trabajo. Refiere disnea de moderados esfuerzos desde hace 2 meses. No otra sintomatología.
  • Exploración: A la exploración, buen estado general, eupneica, ACP normal, sin edemas. Afebril.
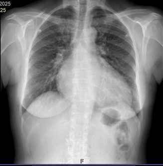
  • Pruebas complementarias: En analítica sanguínea se objetiva proBNP elevado (4527 pg/ml), resto de analítica sin alteraciones. En radiografía de tórax se aprecia cardiomegalia. En ECG, bloqueo de rama izquierda.

Enfoque familiar y comunitario

Natural de Colombia, última visita hace 7 años. Madre en seguimiento por Cardiología por ICC, con ETT sin alteraciones a excepción de FEVI moderadamente reducida en contexto de disincronía por BRIHH.

Juicio clínico, diagnóstico diferencial, identificación de problemas

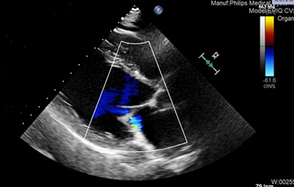
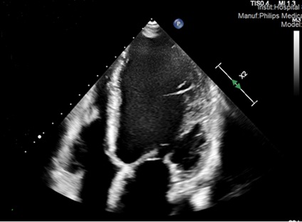
Ante sospecha de miocardiopatía dilatada, se realiza ecocardiograma que pone de manifiesto dilatación severa del ventrículo izquierdo con hipocinesia global severa y FEVI 32%, acompañado de ligera dilatación auricular izquierda e insuficiencia mitral funcional moderada con ligero derrame pericárdico.

Tratamiento y planes de actuación

Se decide ingreso a cargo de Cardiología para estudio y filiación del origen del cuadro. 

Evolución

Durante el ingreso se realiza RM cardíaca, que objetiva FEV1 21%, además de lo comentado anteriormente. Se solicitan serologías, incluyendo Ac Trypanosoma cruzi, que resultan negativos. Al encontrarse la paciente estable y asintomática, se da de alta con ajuste de tratamiento farmacológico, pendiente de resultado de estudio genético. 

Conclusiones y aplicabilidad para la medicina de familia

El electrocardiograma constituye una prueba útil y rápida para diagnóstico de alteraciones cardíacas. Debería ser considerado un examen rutinario al menos una vez al año a todo paciente que acude a nuestra consulta en Atención Primaria. En el caso de nuestra paciente, gracias a la realización del electrocardiograma, se detectó una alteración no conocida. Tras la anamnesis se descubrió que la paciente ya presentaba sintomatología disneica, por lo que se derivó a Urgencias para completar el estudio. La duda que podría plantear el caso a nivel de Atención Primaria es si realizar una derivación al servicio de Urgencias o interconsulta de forma preferente a Cardiología. 
 
 

Comunicaciones y ponencias semFYC: 2026; Comunicaciones: Casos clínicos. ISSN: 2339-9333

Autores

Marañón García, Ioar
Hospital San Pedro. Logroño
Blanco Garrido, José
Hospital San Pedro. Logroño
Morales Serna, Alejandra
Hospital San Pedro. Logroño