5, 6 y 7 de febrero de 2026
Enfoque individual
Mujer de 57 años, fumadora, con antecedentes de trastorno depresivo crónico, fractura vertebral osteoporótica, fibromialgia y enfermedad de Dupuytren.
Acudió a consulta refiriendo ansiedad, que no mejoraba con los tratamientos pautados y lumbalgia. Además, comentó que le habían aparecido unos bultos en el abdomen en la última semana.
A la exploración se apreciaban varias tumoraciones a nivel subcutáneo blandas, móviles, de consistencia media. Se le citó para ecografía.
Hallazgos ecográficos
En la ecografía se apreciaron lesiones hipoecogénicas a nivel de plano subcutáneo con bordes mal definidos, sin actividad Doppler.
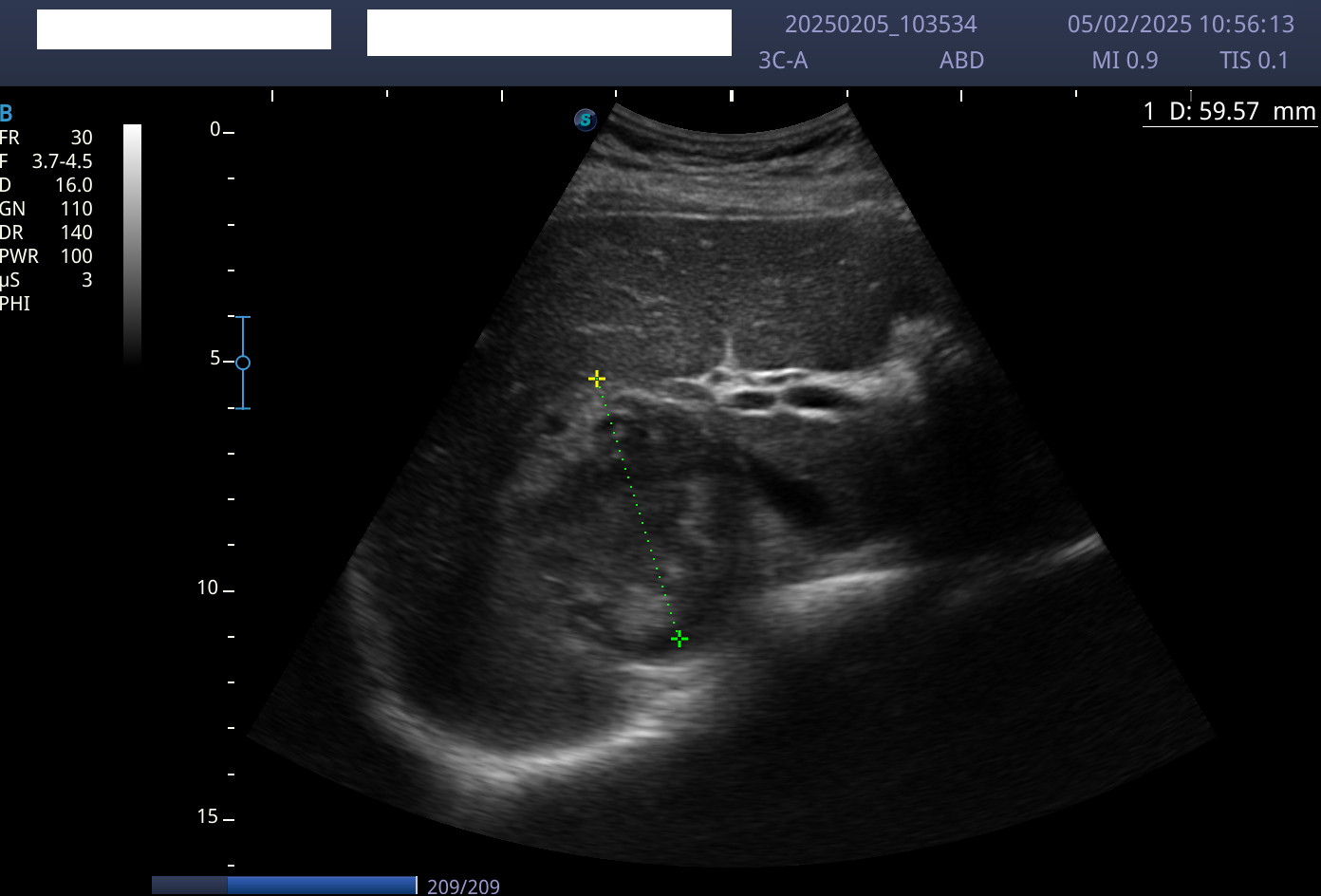
Como venía en seguimiento por dolor lumbar derecho, se procedió a realizar una ecografía de abdomen. Se encontró una masa sólida heteroecogénica, con alguna calcificación, bien delimitada, a nivel suprarrenal derecho de unos 60 x 80 mm.
Pruebas complementarias
Anteriormente se había realizado Rx columna lumbar, con existencia de fractura vértebra lumbar osteoporótica ya conocida y analítica general sin hallazgos relevantes.
Juicio clínico, diagnóstico diferencial, concordancia con el hospital (en su caso)
Juicio clínico: tumor en la glándula suprarrenal derecha con metástasis cutáneas.
Diagnóstico diferencial: neoplasia adrenal maligna primaria (carcinoma adrenal o feocromocitoma) versus metástasis de carcinoma de pulmón, mama, melanoma, digestivo o renal. En cuanto a las lesiones cutáneas, el diagnóstico diferencial incluiría procesos infecciosos, traumáticos (hematoma organizado) o lesiones neoplásicas malignas (sarcoma, linfoma o metástasis cutáneas).
Tratamiento, planes de actuación
Se derivó a urgencias hospitalarias y se comenzó estudio por parte de Urología con TAC y RM abdominal. Estudio hormonal adrenal normal.
Evolución
La paciente evolucionó con dolor más intenso, pérdida de peso y aparición de más lesiones a nivel subcutáneo dolorosas. Realizaron biopsia de tumoración cutánea. Ingresó en un centro hospitalario privado y recibió quimioterapia paliativa. La biopsia determino que se trataba: adenocarcinoma pobremente diferenciado, hepatoide, de probable origen biliopancreático o gastroesofágico con metástasis cutáneas.
Gracias al acceso a una prueba de imagen inocua se puede catalogar de forma rápida enfermedades graves. El estudio ecográfico es una poderosa herramienta para el médico de familia, ya que permite el estudio de múltiples patologías en distintos ámbitos, tanto a nivel cutáneo como abdominales.



