X Jornadas de Actualización en Medicina de Urgencias y VI Jornadas de Ecografía de la semFYC
6-7-8 de febrero de 2025
Atención Primaria.
Dolor abdominal.
Enfoque individual: antecedentes personales, anamnesis, exploración, pruebas complementarias, etc.
Mujer de 56 años consulta por dolor abdominal persistente durante el último mes, que asocia temporalmente con el final de las comidas navideñas. Además, menciona pérdida ponderal de aproximadamente 5 kg en los últimos dos meses y sensación de astenia constante.
Enfoque familiar y comunitario: estudio de la familia y la comunidad (si fuese necesario)
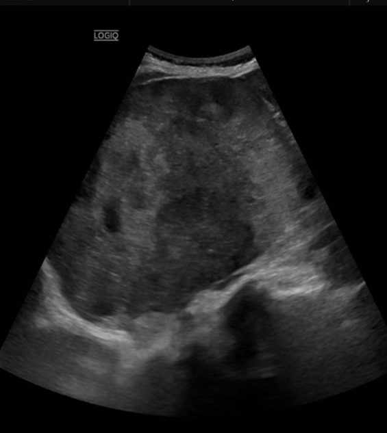
Presenta un buen estado general, piel normocoloreada, normohidratada y adecuada perfusión. Las constantes vitales normales. La auscultación cardiopulmonar sin alteraciones. A la palpación abdominal, masa de gran tamaño en el flanco derecho, de consistencia dura, aproximadamente de 10 cm, con leve dolor a la presión. No hay signos de irritación peritoneal ni defensa. Extremidades inferiores libres de edemas o indicios de trombosis venosa profunda.
Juicio clínico, diagnóstico diferencial, identificación de problemas
Tumor maligno de glándula suprarrenal.
Diagnóstico diferencial:
Tratamiento y planes de actuación.
Tras la evaluación clínica y las pruebas realizadas, la paciente fue remitida a urgencias para ingreso hospitalario y estudio. Allí se realizó una biopsia que confirmó el diagnóstico de carcinoma suprarrenal maligno en estadio IV. Se inició tratamiento con quimioterapia.
Evolución
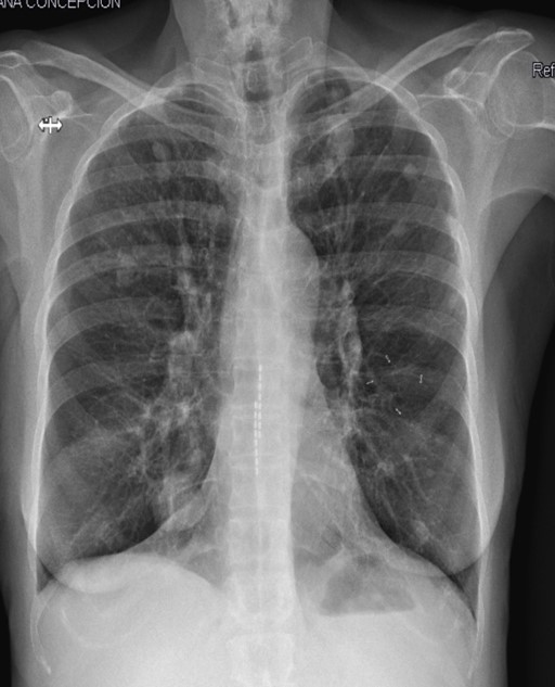
Después de las pruebas realizadas desde Atención Primaria, en ingreso llevaron a cabo TAC toracoabdominal y biopsia que confirmó el diagnóstico. Se comentó con Oncología médica quedando la paciente a su cargo y se inició quimioterapia.
Este tipo de tumores afecta con más a mujeres adultas en edad media, aunque puede presentarse en pacientes mayores. Sus síntomas suelen ser inespecíficos, lo que complica su detección temprana. El tratamiento depende de la etapa de la enfermedad; en fases iniciales se prefiere cirugía, en estadios avanzados quimiorradioterapia. En general, el pronóstico es desfavorable. Las glándulas suprarrenales son sitio frecuente de patología que hay que conocer y manejar desde Atención Primaria porque el envejecimiento poblacional y la creciente demanda de pruebas radiológicas conllevan a un aumento en la detección de lesiones suprarrenales indeterminadas.

