5, 6 y 7 de febrero de 2026
Enfoque individual
Mujer de 54 años con AP de interés de Carcinoma ductal infiltratante G2 (Estadio I, luminal B) en 2012.
La paciente acude a nuestra consulta por haberse notado un bulto supraclavicular.
Exploración: se palpa adenopatía móvil y rodadera a nivel supraclavicular izquierdo. Mama sin alteraciones y sin palpación de masas o nódulo. No adenopatías axilares.
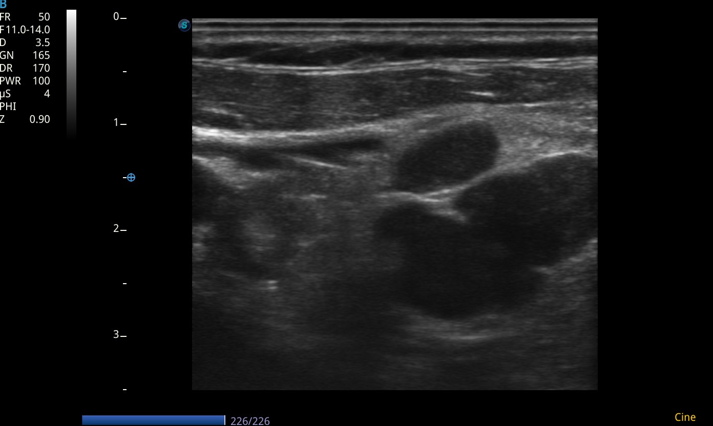
Se procede a la realización de Ecografía clínica. Igualmente se realizó Rx de tórax sin visualizar alteración alguna.
Hallazgos ecográficos
En las imágenes ecográficas del centro de salud se visualizan los siguientes hallazgos:
Conglomerado adenopático en cadena ganglionar laterocervical izquierda. Los ganglios visualizados presentan márgenes poco definidos/irregulares, ausencia de hilio ecogénico, ecogenicidad heterogénea, y algunos con forma redondeada, características con alta sospecha de malignidad. Dadas tales características y antecedentes personales, se deriva de forma preferente a Medicina Interna, para completar estudio de adenopatías.
Pruebas complementarias
Medicina Interna solicita estudio de extensión y analítico, siendo inconcluyente, se describen imágenes de adenopatías sin otras lesiones sospechosas. Se procede a exéresis de adenopatía que concluye recaída metastásica ganglionar de carcinoma mamario.
Juicio clínico, diagnóstico diferencial, concordancia con el hospital (en su caso)
Desde un inicio, la presencia de una adenopatía supraclavicular nos hizo tener sospechas de malignidad, que pudimos comprobar al poner la sonda ecográfica sobre la zona afecta. El antecedente neoplásico de nuestra paciente nos hizo pensar más en una probable recaída de su anterior proceso.
Lo curioso de este caso, es la ausencia de enfermedad en tejido mamario en las pruebas de extensión (TC, PET-TC), no habiendo sido posible filiar un diagnóstico definitivo hasta la biopsia del ganglio.
Tratamiento, planes de actuación
En seguimiento por Oncología médica, recibiendo tratamiento con Ribociclib y anastrozol y rabeprazol.
Evolución
Pendiente de respuesta al tratamiento oncológico.
Una adenopatía supraclavicular debe de ser estudiada con la mayor prontitud posible. Particularmente, aquellas que aparecen en el lado izquierdo (Nódulo de Virchow), deben de ser consideradas como un signo de alarma por estar frecuentemente relacionadas con procesos malignos (gastrointestinales, pulmonares, genitourinarios y mamarios) y linfomas.
Este caso demuestra que la medicina de familia moderna requiere no solo competencias clínicas tradicionales, sino que el dominio de la ecografía clínica se consolida como una herramienta imprescindible que amplía significativamente nuestras capacidades diagnósticas, y mejora la atención integral al paciente.



