5, 6 y 7 de febrero de 2026
Atención Primaria.
Bultoma en axila.
Enfoque individual
Hombre 71 años. Acude a consulta por reagudización EPOC. Al auscultarlo apreciamos bultoma en zona axilar derecha. El paciente comenta “doctor, no se preocupe”, que lo tiene desde hace 2 años pero que no le preocupa porque es una «bola de grasa». Admite crecimiento en los últimos 2 meses. No pérdida peso, aunque últimamente tiene sudoración nocturna.
AP) Fumador, EPOC, hipertenso, cardiopatía hipertensiva, enfermedad renal crónica.
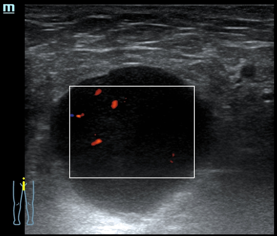
EF) Axila dcha: se palpa bultoma de 6-7 cm, consistencia gomosa, móvil, no doloroso.
Hallazgos ecográficos
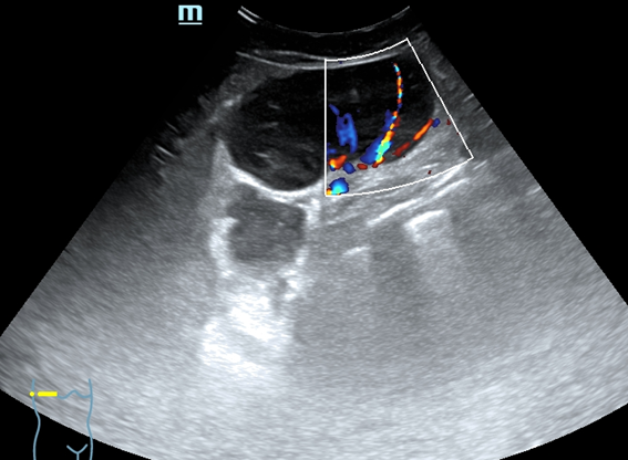
Eco clínica axilar dcha: se visualizan 3 nódulos contiguos de 4,7 x 3,39 cm y 5,4 x 2,9 cm y 5,3 x 3,9 cm. Los 3 con contornos definidos, hipoecoicos, contenido homogéneo, con refuerzo posterior, hipervascularizados,
Ante la sospecha de conglomerados de adenopatías de características tumorales se exploran ecográficamente otras zonas ganglionares visualizándose adenopatías con características tumorales (aumentadas de tamaño, redondeadas, hipoecoicas homogéneas con borramiento de hilio y vascularización cortical) en cuello, axila izquierda y región inguinal izquierda.
Pruebas complementarias
No realizadas.
Juicio clínico, diagnóstico diferencial, concordancia con el hospital (en su caso)
JD) Adenopatías de características tumorales en varias regiones anatómicas. Sospecha de linfoma.
Tratamiento, planes de actuación
Se deriva a Unidad de Diagnóstico Rápido (Medicina Interna) de Hospital de referencia
Evolución
A nivel hospitalario se completó estudio:
JD) linfoma No Hodkin difuso de células grandes B, subtipo no centrogerminal, estadío IVs-B (Pumonar).
Evolución: Se inicia tratamiento con quimioterapia. Tras finalizar se demuestra en PECT-TAC refractariedad al tratamiento. El paciente se traslada a país de origen.
La ecografía clínica es una herramienta valiosa, para diferenciar una adenopatía de otros “bultomas” (lipomas, quistes, etc.). Además nos permite evaluar sus características (inflamatoria vs maligna/tumoral) orientando el diagnóstico y el plan de actuación.



