X Jornadas de Actualización en Medicina de Urgencias y VI Jornadas de Ecografía de la semFYC
6-7-8 de febrero de 2025
Servicios de Urgencias. PAC.
Mujer de 8 años, sin antecedentes médico-quirúrgicos de interés, que acude por odinofagia, ligera disfonía y náuseas de 2 horas de evolución.
Enfoque individual: antecedentes personales, anamnesis, exploración, pruebas complementarias, etc.
El padre se muestra nervioso, dice que ha presentado la clínica de forma brusca, a la media hora después de comer, tras un episodio de tos intenso. Desconoce posible desencadenante, pero al ver a la niña intranquila ha decidido consultar.
Se encuentra consciente y orientada. Normohidratada, pero con tendencia leve a la palidez. Saturación de oxígeno en torno al 97%. No presenta disnea ni aumento del trabajo respiratorio. La auscultación cardiopulmonar es normal así como la otoscopia bilateral. En la exploración orofaríngea únicamente destaca una sialorrea excesiva.
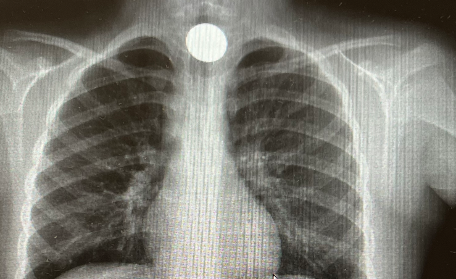
Se reinterroga a la niña, que acaba confesando la ingesta de una moneda de 2 euros por error, al estar jugando con ella. En ese momento, se decide realizar una radiografía de tórax, donde se visualiza una imagen radiopaca compatible, en la región anterior del mediastino, a nivel del tercio proximal del esófago.
Juicio clínico, diagnóstico diferencial, identificación de problemas
Atragantamiento tras ingesta accidental de una moneda.
Tratamiento y planes de actuación.
Tras tranquilizar al padre, se decide derivar a la paciente al hospital más cercano para su extracción vía endoscópica.
Evolución
Se realizó mediante pinzas de Magill, bajo anestesia general. Tras una noche en observación para comprobar la evolución satisfactoria, es dada de alta recomendando alimentación normal y control por su Pediatra.
La mayoría de cuerpos extraños ingeridos completan su recorrido en el tubo digestivo, siendo solo el 10-15% los que requieren extracción endoscópica. Debe ser una sospecha ante signos de obstrucción de la vía aérea, odinofagia, dolor torácico y aumento de sialorrea. La radiografía de tórax es imprescindible cuando haya existido una clínica compatible, porque los síntomas pueden llegar a desaparecer a pesar de que el objeto continúe.
En ocasiones, el paciente puede no transmitir lo ocurrido por culpabilidad o vergüenza; es importante una actitud médica objetiva y que no le haga sentirse prejuzgado.
