X Jornadas de Actualización en Medicina de Urgencias y VI Jornadas de Ecografía de la semFYC
6-7-8 de febrero de 2025
Bulto en cuello.
Antecedentes personales relevantes, anamnesis, exploración física y lugar que ocupa en ella la ecografía
Mujer de 29 años, sin antecedentes de interés, que acude a consulta refiriendo que desde hace 2 meses presenta un bulto en la región anterior-derecha del cuello. Además, asocia molestias en esa zona con la deglución. Niega otra clínica acompañante.
A la exploración física se palpa tumor móvil de consistencia dura de 2-3 cm aproximadamente, en región tiroidea derecha.
Descripción de los hallazgos ecográficos y las imágenes más relevantes para la resolución del caso
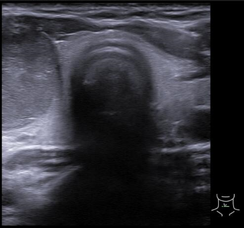
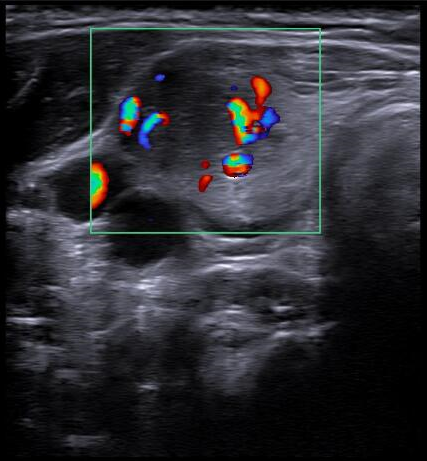
Ecografía tiroidea en AP: En lóbulo tiroideo derecho se aprecia nódulo: hipoecogénico, sólido, con márgenes definidos, sin focos ecogénicos, que presenta vascularización periférica, de morfología ovoide y de dimensiones 32x17x19 mm aproximadamente (CCxAPxT, más alto que ancho). Compatible con TIRADS 4.
No se observan adenopatías patológicas.
Lóbulo tiroideo izquierdo de características normales.
Otras pruebas complementarias realizadas (si existen)
Analítica completa incluyendo anticuerpos antitiroideos dentro de los límites de normalidad.
Juicio clínico, diagnóstico diferencial, concordancia con el hospital (en su caso)
Ante un nódulo tiroideo con moderada sospecha de malignidad y > 1,5 cm, se solicitó PAAF eco-guiada.
En hospital de referencia se realizó nuevamente ecografía de tiroides, con hallazgos concordantes con ecografía realizada en AP, y PAAF.
Decisiones adoptadas: tratamiento, planes de actuación
En PAAF se informó de categoría C5 Bethesda de tiroides, sospechoso de malignidad.
Se derivó a la paciente a Cirugía General, donde se realizó tiroidectomía total con vaciamiento central ipsilateral de forma programada.
Evolución y seguimiento
Diagnóstico anatomopatológico: Pieza de tiroidectomía con un nódulo único en lóbulo tiroideo derecho con morfología de adenoma folicular.
Nota: no se observan criterios de invasión capsular ni vascular que justifiquen el diagnóstico de carcinoma. No obstante, algunos autores consideran que la afectación incompleta de la cápsula es un criterio de comportamiento incierto de las neoplasias foliculares.
Se pautó tratamiento sustitutivo con levotiroxina y calcio/colecalciferol por hipocalcemia postquirúrgica.
Este caso, una vez más, demuestra el poder de la ecografía clínica en los Centros de Salud. La aplicación de la misma en AP, brinda la posibilidad de una cadena de actuación más eficiente ante el manejo de las patologías de nuestros pacientes.
Sin embargo, este caso demuestra el dicho de que en medicina «no todo es blanco o negro» y que «uno más uno no siempre es dos», debemos tener presente que las clasificaciones ecográficas son orientativas y que es necesario un estudio anatomopatológico para ofrecer un diagnóstico de certeza.



