X Jornadas de Actualización en Medicina de Urgencias y VI Jornadas de Ecografía de la semFYC
6-7-8 de febrero de 2025
Recorte de diuresis, debilidad progresiva.
Enfoque individual: antecedentes personales, anamnesis, exploración, pruebas complementarias, etc.
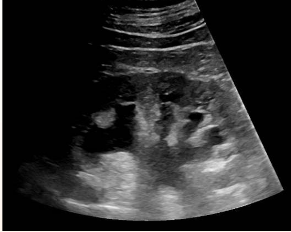
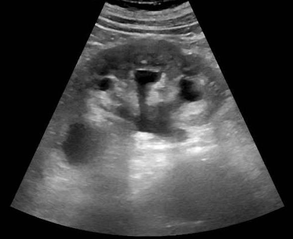
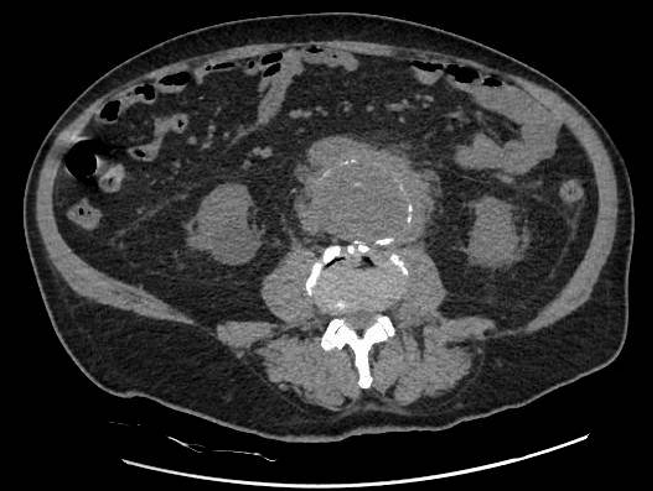
Hombre de 69 años. Antecedentes personales: diabetes mellitus tipo 2, hipertensión arterial, hipercolesterolemia.Acude a Urgencias por astenia progresiva de un mes de evolución y recorte de diuresis. Exploración: palidez mucocutánea. Normotenso y eupneico. Auscultación cardiorespiratoria normal. Abdomen globuloso, blando, no doloroso. Analítica: Hb 9 (previa 11 dos meses antes), urea 160, creatinina 10,9 (previa 1,7), proteína C reactiva 120. Resto anodino (no leucocitosis ni alteraciones iónicas, urianálisis negativo). EFNa: 14% (posrenal). Ecografía renal, que evidencia hidronefrosis bilateral grado III, sin causa obstructiva aparente. Dada la evolución tórpida pese a sueroterapia y diuréticos, se realiza TAC abdominal para continuar estudio de la causa obstructiva: aneurisma de aorta abdominal infrarrenal, con rotura contenida por hematoma y compresión extrínseca de ambos uréteres.
Enfoque familiar y comunitario: estudio de la familia y la comunidad (si fuese necesario)
Es importante tener en cuenta el contexto sociocultural del paciente y familiares para transmitirles la información sobre su diagnóstico y recomendaciones terapéuticas facilitando su comprensión y resolviendo las posibles dudas.
Juicio clínico, diagnóstico diferencial, identificación de problemas
Juicio clínico: Rotura contenida de aneurisma de aorta infrarrenal, comprensión extrínseca ureteral bilateral e insuficiencia renal aguda secundaria.
Diagnóstico diferencial: Insuficiencia renal prerrenal, renal o posrenal (otras causas: hipertrofia benigna de próstata, globo vesical, tumores, litiasis...)
Tratamiento y planes de actuación.
Monitorización hemodinámica. Se traslada a quirófano de forma urgente para colocación de endoprótesis por vía femoral.
Evolución
Evolución clínica y analítica favorable, normalizándose la función renal y sin episodios de inestabilidad hemodinámica.
En el ámbito de la medicina de Urgencias, hay que discernir entre la insuficiencia prerrenal, renal o posrenal y sus respectivas causas para un correcto diagnóstico etiológico y enfoque terapéutico.
Respecto a la Ecografía, es esencial una sistemática de exploración minuciosa para mayor rentabilidad diagnóstica. La generalización del uso de la ecografía Atención Primaria y en Urgencias supone un diagnóstico más rápido y preciso, y por tanto una mejor atención al paciente. 
En Atención Primaria es primordial el seguimiento estrecho y el control de los factores de riesgo cardiovascular, ya que suponen un incremento del riesgo de desarrollar complicaciones como la del caso que nos ocupa, comprometiendo la salud e incluso la vida del paciente si no se controlan de forma adecuada.


