Comunicaciones: Casos clínicos

Ojos que no ven… Ecografía que lo revela (póster)

Ámbito del caso

Atención Primaria

Motivos de consulta

Dolor abdominal

Historia clínica

Enfoque individual

  • Mujer de 32 años con hipotiroidismo en tratamiento con levotiroxina. 
  • Acude a consulta por inicio de dolor intenso en fosa iliaca derecha el día anterior, siendo valorada en urgencias de Atención Primaria (AP) con diagnóstico de dolor abdominal inespecífico sin criterios de alarma. En el momento de la consulta, la paciente continúa con dolor a pesar de toma de paracetamol, se encuentra afebril, refiere náuseas, sin vómitos. No sintomatología miccional asociada ni episodios previos similares.
  • A la exploración física, presenta regular estado general, palidez cutánea y cifras de tensión arterial bajas (105/65 mmHg). Abdomen blando y depresible, doloroso a la palpación en flanco y fosa iliaca derecha, sin signos de irritación peritoneal. Puñopercusión renal bilateral negativa. Resto de la exploración anodina.
  • Decidimos realizar ecografía abdominal en ese momento.

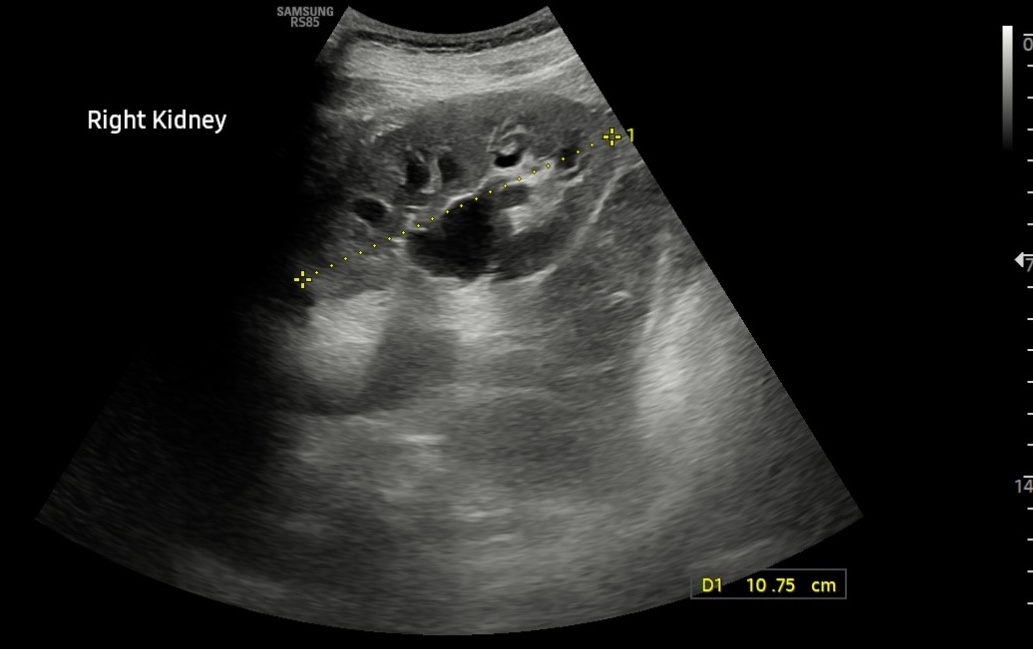
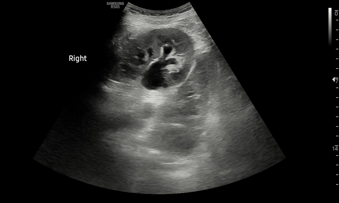
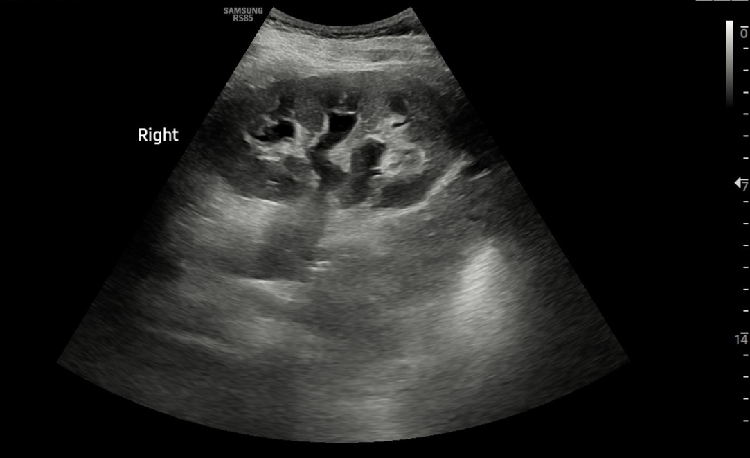
Hallazgos ecográficos

  • Ambos riñones de tamaño y parénquima conservados. Objetivamos una hidronefrosis derecha grado 2. Parece apreciarse una imagen compatible con litiasis en uréter proximal y mínima cuña de líquido libre en polo inferior del riñón derecho.

Pruebas complementarias

  • Test de gestación negativo.
  • Tira de orina: presencia de hematíes, no leucocitos, no nitritos.

Juicio clínico, diagnóstico diferencial, concordancia con el hospital (en su caso)

  • Cólico renoureteral derecho, hidronefrosis grado 2.
  • Pielonefritis, apendicitis, dolor por patología ginecológica (torsión ovárica, embarazo ectópico), infección urinaria.

Tratamiento, planes de actuación

  • Canalizamos vía periférica para administración de sueroterapia intensa y analgesia en el centro.
  • Pautamos para domicilio cefixima, tamsulosina y analgesia. 
  • Revisión en consulta al día siguiente.

Evolución

  • Al día siguiente, se programó analítica de rutina objetivándose anemia y mínima elevación de PCR, con coagulación y bioquímica normales.
  • A la finalización del tratamiento, la paciente presentó resolución completa del cuadro. 

Conclusiones y aplicabilidad para la medicina de familia

Este caso evidencia cómo la ecografía realizada en AP resultó determinante para orientar el diagnóstico, iniciar tratamiento dirigido y mejorar el estado clínico de nuestra paciente, evitándole el traslado a un ámbito hospitalario alejado. Debemos tener en cuenta que la demora que actualmente existe a nivel de realización de pruebas complementarias y asistencia hospitalaria hace más necesario que nunca desde AP una asistencia de calidad, con recursos y tiempos adecuados a las necesidades de cada paciente, así como profesionales capacitados para el manejo de técnicas que permitan el diagnóstico precoz de múltiples patologías, como es la ecografía.
 

Comunicaciones y ponencias semFYC: 2026; Comunicaciones: Casos clínicos. ISSN: 2339-9333

Autores

Delgado Palop, Araceli Macarena
CS San Fernando. Badajoz
Saavedra Cortes, Concepción
CS San Fernando. Badajoz
Roldán Zapata, Alejandro
CS Torre de Miguel Sesmero. Badajoz