5, 6 y 7 de febrero de 2026
Servicio de urgencias hospitalarias.
Enfoque individual
Mujer de 79 años con antecedentes de dislipemia, espondiloartrosis con espondilolistesis, diástasis de músculos rectos y hernias abdominales (supraumbilical 3×4 cm y pequeña hernia umbilical < 1 cm) en seguimiento quirúrgico. Medicación habitual: captopril 25 mg/día, rosuvastatina 10 mg/día, metamizol 575 mg y paracetamol 1 g a demanda.
Anamnesis:
Dolor súbito en epigastrio con irradiación a hipocondrio derecho, de intensidad moderada-alta, sin fiebre, vómitos, náuseas ni alteraciones intestinales.
Exploración física:
TA 168/63 mmHg, FC 83 lpm, T 36,2 °C, SatO₂ 98%.
Paciente consciente, orientada y en buen estado general. Abdomen blando, depresible, doloroso en epigastrio e hipocondrio derecho, Murphy negativo. Se palpa masa epigástrica blanda, no pulsátil ni completamente reductible, compatible con hernia epigástrica.
Pruebas complementarias:
Lipasa 204 U/L. Glucosa, urea, creatinina, electrolitos, hemograma, perfil hepático y PCR dentro de rangos normales. Gasometría venosa normal.
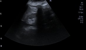
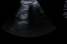
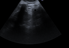
Ecografía abdominal:
Hígado y bazo normales, vesícula alitiásica, riñones normales. Páncreas con porción cefálica engrosada, contornos irregulares y ecogenicidad heterogénea, con áreas hipodensas sugestivas de edema y leve líquido peripancreático. No hay líquido libre intraperitoneal significativo.
Enfoque familiar y comunitario
Vive con su hijo, buena red de apoyo, independiente, sin hábitos tóxicos ni antecedentes digestivos familiares relevantes.Juicio clínico, diagnóstico diferencial, identificación de problemas
Diagnóstico: Pancreatitis aguda.
Diagnósticos diferenciales considerados:
Tratamiento y planes de actuación
Ingreso en planta de Digestivo para seguimiento de pancreatitis y hernias.
Evolución
Paciente estable tras analgesia, sin complicaciones iniciales.La pancreatitis aguda en pacientes mayores puede presentarse de forma atípica y coexistir con hernias abdominales, dificultando la valoración inicial. La exploración física combinada con ecografía clínica es clave para orientar el diagnóstico, descartar complicaciones y mejorar la seguridad del paciente.



