X Jornadas de Actualización en Medicina de Urgencias y VI Jornadas de Ecografía de la semFYC
6-7-8 de febrero de 2025
Atención Primaria.
Dolor en muslo.
Antecedentes personales relevantes, anamnesis, exploración física y lugar que ocupa en ella la ecografía
Hombre 79 años.
Antecedentes: biamputación supracondílea con última cirugía en 2017. Hipertensión arterial, diabetes, cardiopatía isquémica, EPOC.
Acude a consulta de control de sus patologías crónicas. Al salir, su hijo le dice: «Papá, cuéntale al doctor el dolor que tienes».
El paciente refiere dolor en muslo derecho de 1 año de evolución. Al principio era intermitente, pero en las últimas semanas se ha hecho continuo y ha aumentado de intensidad.
Exploración: muslo derecho: bultoma pulsátil de 6-8 cm doloroso a palpación.
Se decide realizar ecografía clínica en consulta para completar valoración.
Descripción de los hallazgos ecográficos y las imágenes más relevantes para la resolución del caso
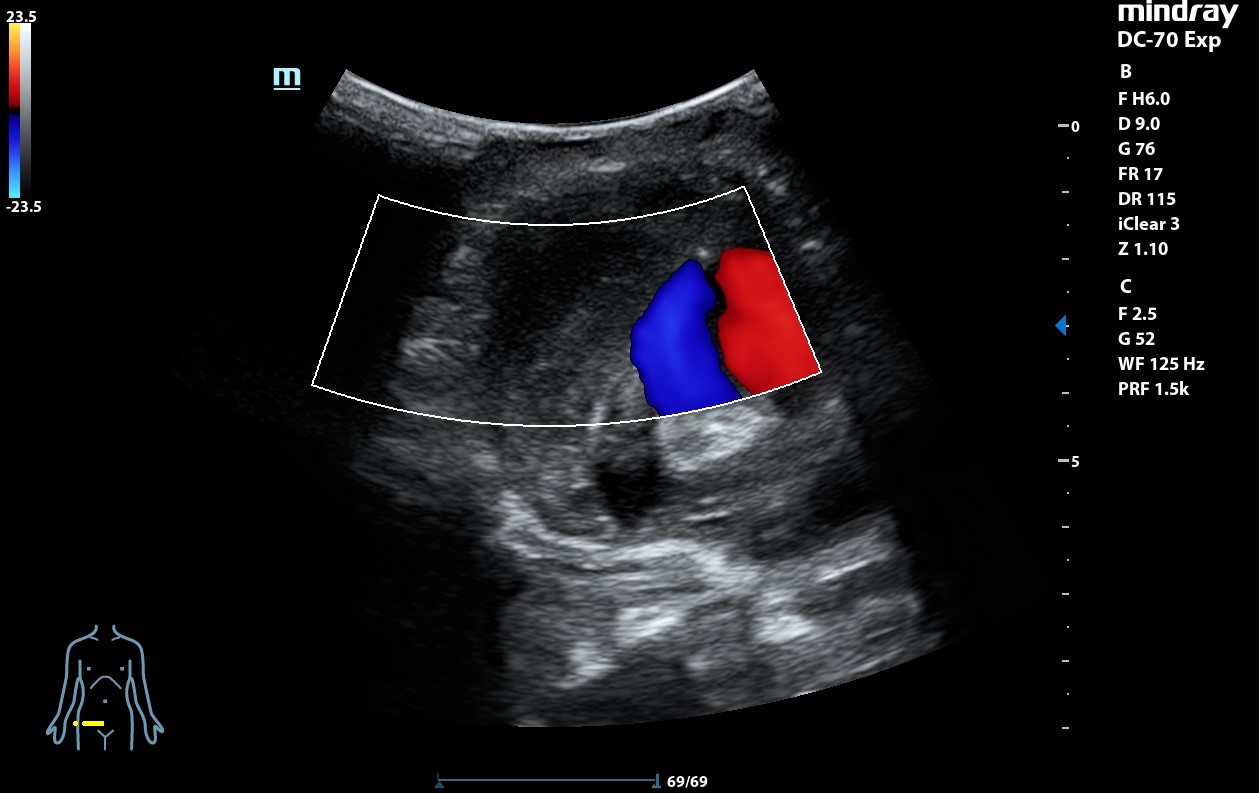
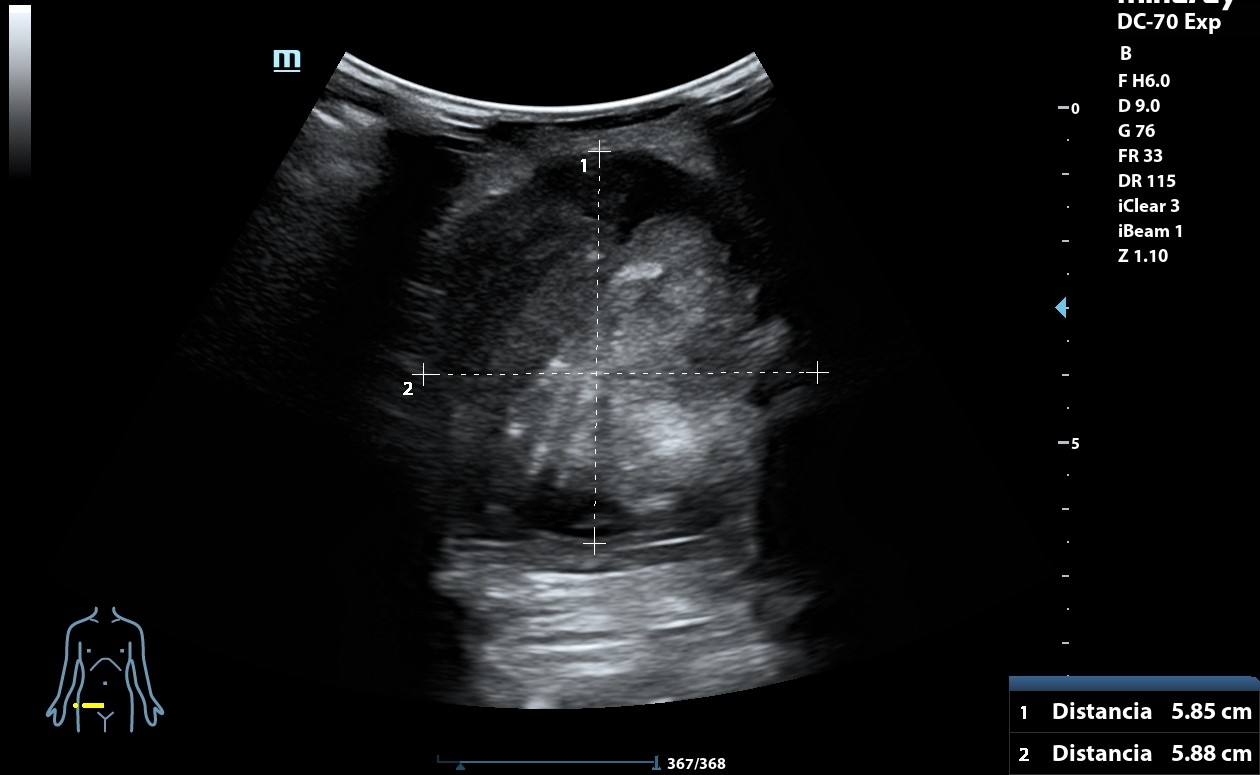
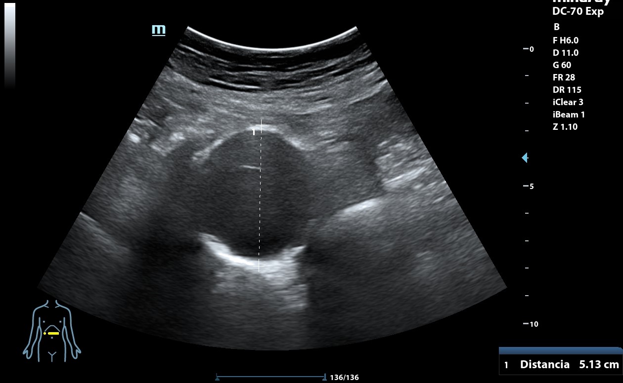
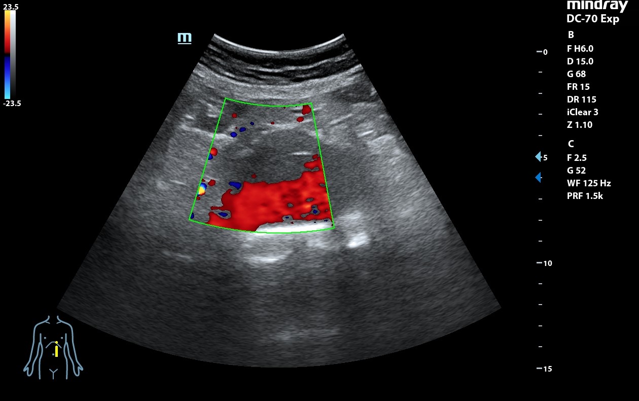
Ecografía clínica: arteria femoral dilatada con material hipoecoico heterogéneo en su pared lateral con un diámetro de 5,85 x 5,88 cm. Dilatación de aorta infrarrenal de 5,1 cm.
Otras pruebas complementarias realizadas (si existen)
No.
Juicio clínico, diagnóstico diferencial, concordancia con el hospital (en su caso)
Diagnóstico: Aneurisma de arteria femoral derecha. aneurisma de aorta.
Decisiones adoptadas: tratamiento, planes de actuación
Se deriva al servicio urgencias hospitalario (SUH)
Evolución y seguimiento
El SUH le da el alta, tras consultar con cirugía vascular (CV), con diagnóstico de aneurisma femoral sin signos de alarma y se cita en consultas externas de CV dónde tras valoración se solicita TAC de aorta por aneurisma femoral derecho de gran tamaño y posible aneurisma de aorta abdominal.
Nueve días después el paciente vuelve a acudir a SUH por empeoramiento del dolor en las últimas 24 horas. Se le realiza TAC de urgencias y se ingresa en CV con el diagnóstico de rotura de pseudoaneurisma arteria femoral derecha y se realiza cirugía de manera urgente.
Informe TAC aorta: Dilatación aneurismática de la aorta abdominal infrarenal, de 5 x 5 x 6,4 cm, sin signos de complicación. Imagen sacular de la arteria femoral derecha compatible con pseudoaneurima, que asocia hematoma circundante, de al menos 8,6 x 7,8 x 8,8 cm con áreas de extravasación de contraste en fase arterial, sugestivas de sangrado activo de alto débito.
Tras el alta hospitalario el paciente ha tenido buena evolución sin complicaciones.
Utilidad de la ecografía en consulta para la valoración de pacientes que acuden por bultomas/masas.
La ecografía clínica en AP es un método sensible, específico y rentable para el diagnóstico de aneurismas de aorta y sus ramas, permitiendo orientar el problema y agilizar la toma de decisiones.



