V Jornadas de Ecografía de la semFYC

9 y 10 de febrero de 2024

Comunicaciones: Casos clínicos

Papel de la ecografía de Atención Primaria en la diverticulitis aguda (póster)

Ámbito del caso

Atención Primaria

Motivos de consulta

  • Varón de 62 años que refiere molestias abdominales con dificultad para las micciones de dos días de evolución. No náuseas ni vómitos. No fiebre.

Historia clínica

Enfoque individual

Como antecedentes personales, reflujo gastroesofágico, esófago de Barret, y hernia inguinal bilateral intervenida en 2019. A la exploración, dolor a la palpación a nivel suprapúbico y ambos flancos, disminución de ruidos intestinales con defensa voluntaria. Se decide realización de ecografía abdominal. 

Hallazgos ecográficos

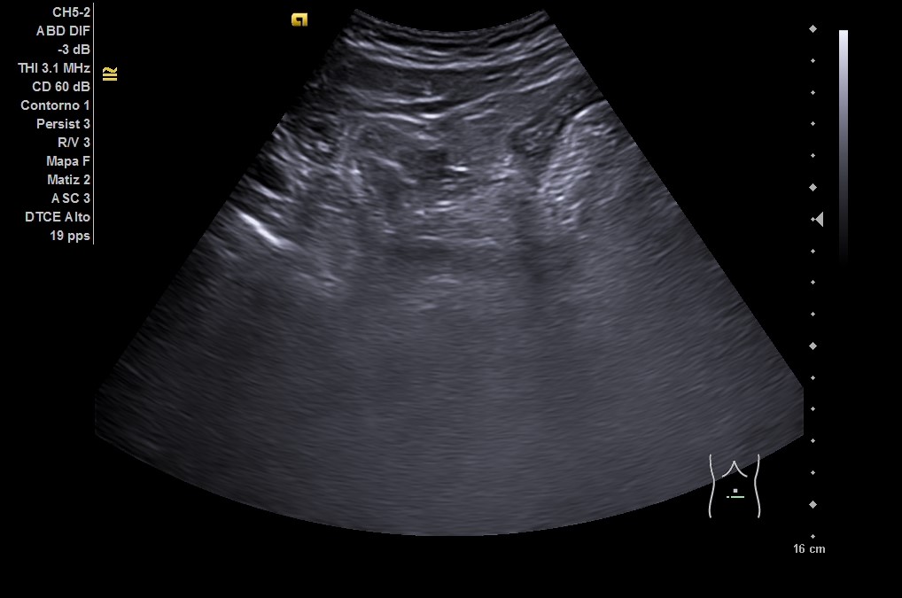
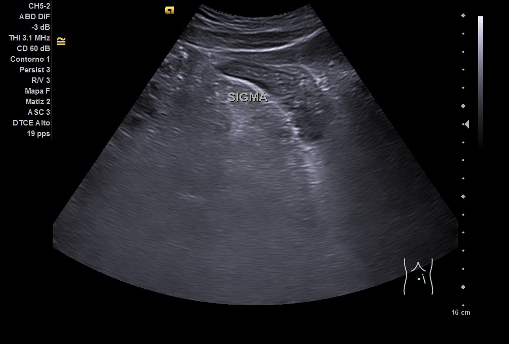
En ecografía clínica: hígado homogéneo sin lesiones, vesícula biliar sin litiasis. Riñones de forma, tamaño y ecoestructura normales. Arteria aorta sin dilataciones. Vejiga levemente repleccionada, ausencia de líquido libre en fondo de Douglas. Asa de sigma con posible edema de pared. Ante la clínica y los hallazgos ecográficos, se remite a urgencias del hospital de referencia.

Pruebas complementarias

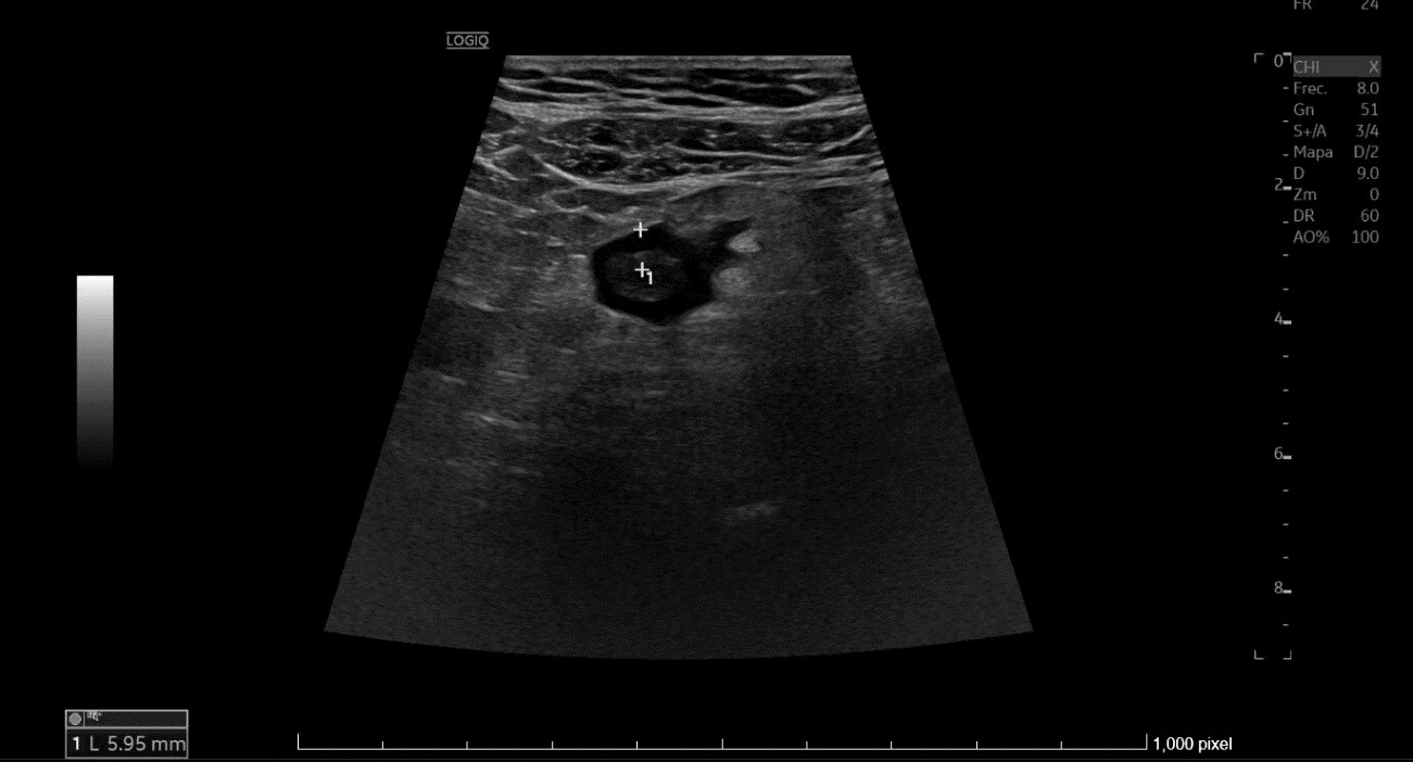
  • En urgencias, de inicio se realiza radiografía abdominal sin datos de obstrucción intestinal. Ante persistencia de dolor intenso, leucocitosis y aumento de PCR en analítica, se repite la ecografía (utilizando también sonda lineal) con hallazgo de diverticulitis aguda sigmoidea con datos de peritonitis regional pélvica, y posteriormente se realiza un TC abdominal con conclusión de diverticulitis aguda con pequeños abscesos murales, perforación de un divertículo y peritonitis pélvica.

Juicio clínico, diagnóstico diferencial, identificación de problemas

En el Centro de Salud, se remite por sospecha de pseudoobstrucción intestinal/afectación de sigma. El diagnóstico diferencial sería una retención aguda de orina, y también una apendicitis aguda.

Tratamiento y planes de actuación

  • Ante hallazgo de perforación franca con peritonitis difusa, se realiza cirugía de emergencia (Hartmann).

Evolución

  • Paciente con buena evolución, revisión en Consulta de Cirugía General y Digestivo en nov-23, ofrecen 2º tiempo quirúrgico para cerrar ostomía.

Conclusiones (y aplicabilidad para la Medicina de Familia)

La ecografía puede ser la exploración inicial en pacientes con sospecha de diverticulitis aguda. Además, la utilización de sonda lineal en zonas superficiales del abdomen, puede dar mayor información que solamente la convexa. Al disponer de ecografía en consulta y observar los hallazgos sospechosos de posible afectación de sigma, se facilitó la toma de decisiones y ayudó a no retrasar el diagnóstico, reafirmando la necesidad de derivación a valoración en urgencias.

 


Comunicaciones y ponencias semFYC: 2026; Comunicaciones: Casos clínicos. ISSN: 2339-9333

Autores

Sarabia Contreras, María Consolación
Profesor Jesús Marín. Molna De Segura
Guirao López, Lucía
Profesor Jesús Marín. Molna De Segura
Menárguez Puche, Juan Francisco
Profesor Jesús Marín. Molna De Segura