Comunicaciones: Casos clínicos

Pensé que sería más difícil… ¿O será que estoy aprendiendo? Diagnóstico ecográfico de un aneurisma de aorta abdominal (oral)

Ámbito del caso

Urgencias hospitalarias.

Motivos de consulta

Parada extrahospitalaria reanimada.

Historia clínica

Enfoque individual

Hombre de 87 años, con antecedentes de hipertensión, dislipemia, cardiopatía isquémica, miocardiopatía dilatada (MCD), portador de marcapasos, parada cardiaca en 2018 y enolismo crónico, traído por servicio 112 tras PCR reanimada con DESA en vía pública.
Se mantiene en la sala de reanimación de Urgencias, estable, pero con tendencia a la hipotensión y glasgow 15, para valoración por UMI y Cardiología. Tomo la iniciativa para realizar ecografía clínica para valoración de ventana cardiaca, pulmonar y grandes vasos como despistaje de “5H y 5T”.
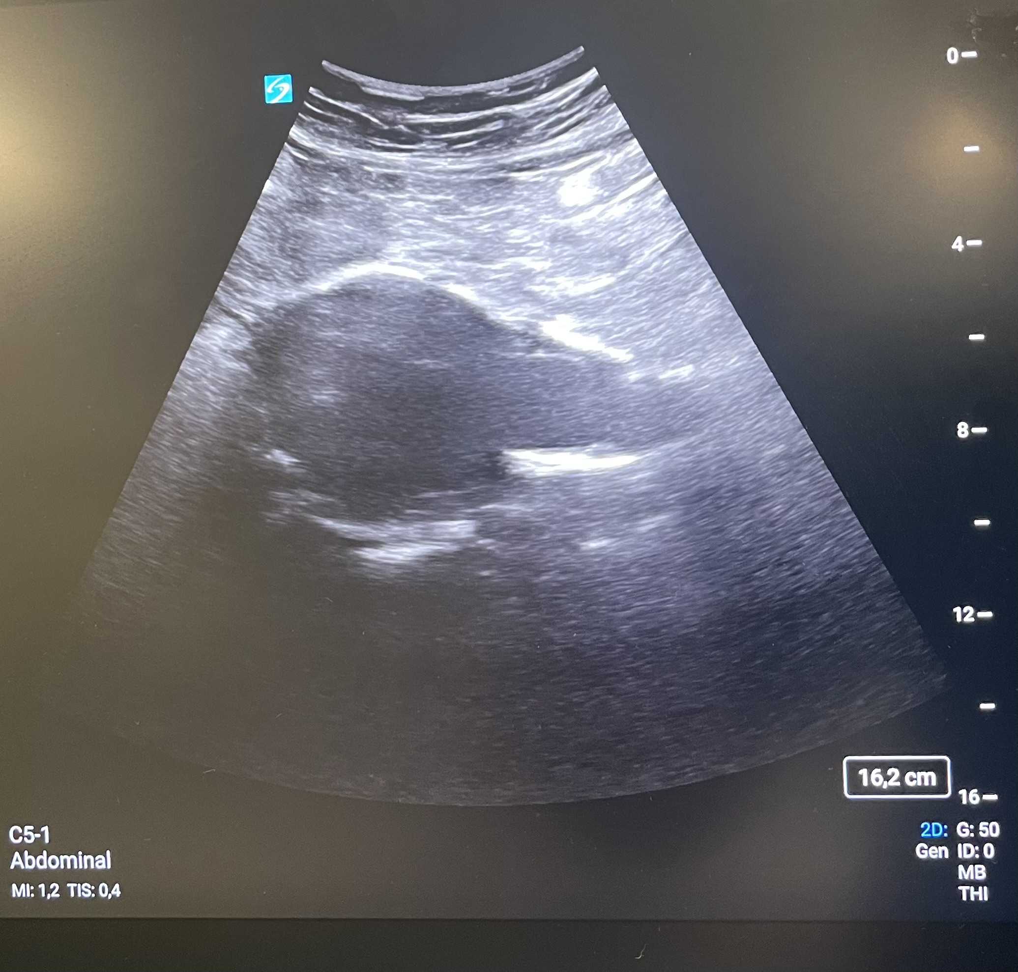
Al valorar grandes vasos encuentro una imagen compatible con aneurisma de aorta abdominal (AAA) de 6,3 cm de diámetro con trombosis del 50% de su luz, no diagnosticado previamente. Se confirma el hallazgo en mediante TC, sin presencia de patología aórtica aguda.
El paciente ingresa a cargo de Cardiología informando a la familia de la gravedad.

Enfoque familiar y comunitario

Paciente alcóholico, con RCV muy alto y con poca adherencia a los controles médicos.

Juicio clínico, diagnóstico diferencial, identificación de problemas

  • Parada cardíaca extrahospitalaria reanima.
  • Aneurisma de Aorta Abdominal.
  • Los previos.

Tratamiento y planes de actuación

Dada la situación basal del paciente se considera no subsidiario de ingreso en Intensivos. Se realiza tratamiento conservador a cargo de Cardiología.

Evolución

A pesar del hallazgo ecográfico del AAA (confirmado con TC) no se realizan más intervenciones dado el contexto y tipo de paciente.

Conclusiones y aplicabilidad para la medicina de familia

La utilidad de la ecografía clínica no deja lugar a dudas. La curva de aprendizaje es exponencial, y hoy en día está facilitada desde los primeros años de formación gracias a la accesibilidad a los equipos.
Se demuestra en casos como este, que con no mucha experiencia se pueden llegar a diagnósticos certeros, sin olvidar las otras técnicas realizadas por especialistas focales en imagen.
Intentar reforzar la utilización de la ecografía y hacerlo parte del programa obligatorio del residente de familia es una realidad por la que todos deberíamos abogar.
 
 

Comunicaciones y ponencias semFYC: 2026; Comunicaciones: Casos clínicos. ISSN: 2339-9333

Autores

Matute Zigaran , Lucas Gabriel
Hospital Universitario San Pedro. Logroño, La Rioja
Herrero Izquierdo, Alba
Hospital Universitario San Pedro. Logroño, La Rioja
Mendiolagaray Bilbao, Ibon
CS Haro. La Rioja