V Jornadas de Ecografía de la semFYC

9 y 10 de febrero de 2024

Comunicaciones: Casos clínicos

¿Presenta el paciente una complicación de su aneurisma? (póster)

Ámbito del caso

Atención Primaria. 

Motivos de consulta

Visita de control de factores de RCV.

Historia clínica

Enfoque individual

  • Atención Primaria: exfumador, HTA, dislipemia, aneurisma aórtica infrarrenal de 5,6 cm.
  • Anamnesis: Varón de 68 años, antiagregado. Acude por aparición de hematoma espontáneo en costado izquierdo hace 5 días. Está preocupado por sus antecedentes personales. Refiere mejoría desde entonces aunque ha aumentado extensión del hematoma por gravedad hasta hipocondrio izquierdo. Niega dolor abdominal ni malestar general. No claudicación intermitente. No traumatismo previo.
  • EF: Estable hemodinámicamente. Buen estado general. Abdomen blando y depresible. RHA presentes. Masa pulsátil en mesogastrio, no dolorosa. No otras masas ni megalias. Pulsos pédios disminuidos pero simétricos.
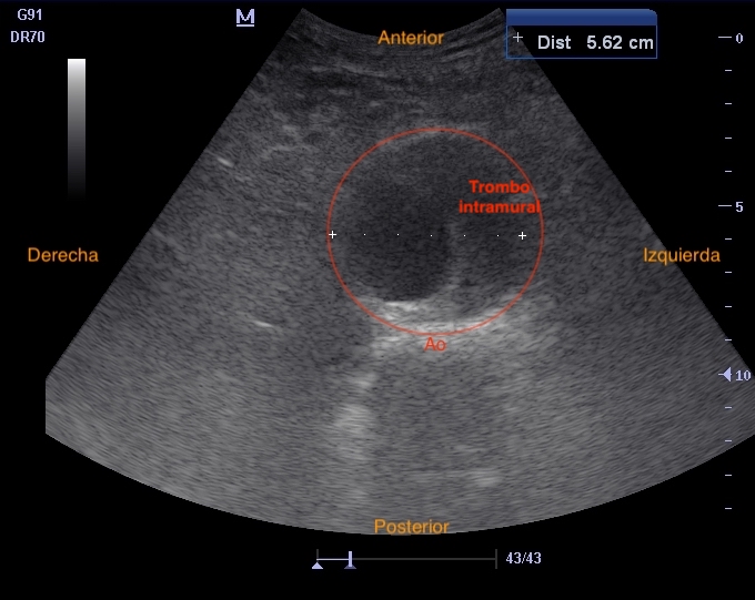
  • Motivo de ecografía: control diámetro de aneurisma aórtico abdominal y valoración de signos de rotura.

Hallazgos ecográficos

Realizamos eco en consulta donde se aprecia el AAA de 5,6 cm con trombo mural similar a previo, sin signos de rotura.

Pruebas complementarias

  • TC ABD y ecografía reglada confirman diagnóstico.
  • Screening TSA y poplíteos negativo.

Juicio clínico, diagnóstico diferencial, identificación de problemas

Aneurisma aórtico abdominal infrarrenal de > 5,5 cm con trombo intramural en su interior.
Concordancia con prueblas complementarias posteriores.

Tratamiento y planes de actuación

En seguimiento por cirugía vascular pendiente de cirugía programada. Antiagregado.

Evolución

Pendiente de cirugía.

Conclusiones (y aplicabilidad para la Medicina de Familia)

Utilidad de la ecografía clínica en la evaluación de las complicaciones en aneurisma de aorta abdominal en nuestra consulta.
 
 
 

Comunicaciones y ponencias semFYC: 2026; Comunicaciones: Casos clínicos. ISSN: 2339-9333

Autores

Guillén Montiel, Cecilia
CS Álvarez de La Riva. Orihuela. Alicante
Moreno Rubio, Celia
CS Álvarez de La Riva. Orihuela. Alicante
López González, David
CS Orihuela I. Alicante