5, 6 y 7 de febrero de 2026
Atención Primaria (AP).
Hombre de 28 años, que acude a urgencias por sensación de inflamación del testículo izquierdo.
Enfoque individual
Como antecedente consta síndrome nefrótico. Relata inflamación indolora del teste izquierdo, sin traumatismo ni fiebre ni otra clínica. En la exploración física se evidencia un teste izquierdo de tamaño normal, sin nódulos ni masas palpables, ni adenopatías, en contraste con el derecho que es más pequeño. Se decide realizar una ecografía clínica en consulta.
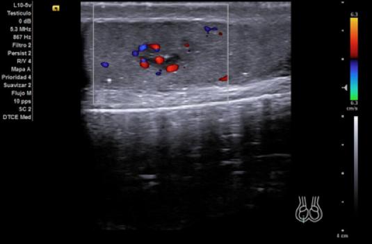
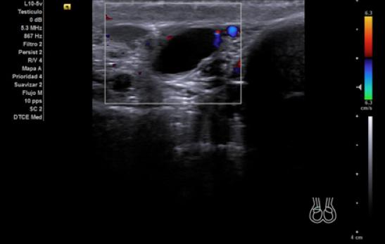
Hallazgos ecográficos
Ecografía Clinica: testículo izquierdo de tamaño y ecogenicidad normales, con microcalcificaciones y colas de cometa. Testículo derecho más pequeño que el contralateral, y en su zona central una lesión hipoecoica lobulada e irregular con captación intralesional y calcificaciones puntiformes en parénquima testicular. Con la sospecha de una neoplasia del testículo derecho se consulta con Urología, que solicita analítica y cita.
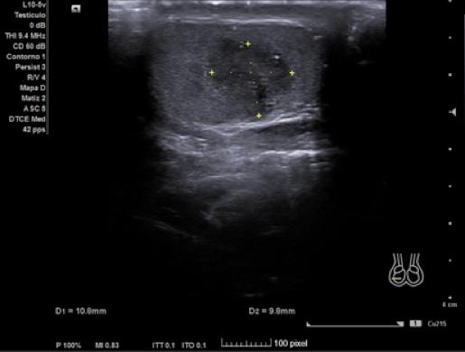
Pruebas complementarias
Los marcadores tumorales (LDH, BHCG, alfafetoproteína) son negativos y la ecografía se repite de forma reglada para descarte de neoplasia testicular. En esta última se define un teste derecho disminuido de tamaño y ecoestructura heterogénea, con áreas centrales hipoecogénicas aunque sin lesiones claramente definidas.
Juicio clínico, diagnóstico diferencial, concordancia con el hospital (en su caso)
El diagnóstico de sospecha tras ser evaluado por Urología es una atrofia testicular derecha. En el diagnóstico diferencial se debe incluir la posibilidad de que la atrofia sea por una torsión testicular previa, una orquitis u orquiepididimitis que cause atrofia secundaria, traumatismos, infartos testiculares no traumáticos y neoplasia testicular. La ecografía clínica tiene parte de concordancia con la reglada, sin embargo, en esta última no se define la lesión hipoecoica lobulada e irregular que nos hace sospechar en AP que pueda tratarse de una lesión tumoral.
Tratamiento, planes de actuación
Urología decide realizar una orquiectomía unilateral derecha. La anatomía patológica de la pieza se define como un seminoma clásico, por lo que inicia seguimiento por Oncología.
Evolución
Oncología solicita TC/TAP que descarta extensión. En cada revisión por Oncología solicitan analítica y marcadores tumorales, estando en la actualidad libre de enfermedad.
La atrofia testicular puede ocultar una neoplasia testicular incluso con marcadores tumorales negativos. La ecografía clínica realizada en AP fue clave para detectar hallazgos sospechosos (asimetría, lesión hipoecoica lobulada, calcificaciones puntiformes, alteraciones arquitecturales). La evolución del paciente es favorable, en línea con la alta curabilidad del seminoma en estadios iniciales.


