5, 6 y 7 de febrero de 2026
Atención Primaria.
Gonalgia derecha.
Enfoque individual
Mujer de 76 años, presenta dolor articular de rodilla derecha de 1 mes de evolución tras ingreso hospitalario por Meningococemia.
AP: HTA, anemia crónica. Insuficiencia venosa crónica, meningococemia.
AQx: Flebectomía MID.
Refiere persistencia de dolor en rodilla derecha desde el ingreso durante el cual presentó monoartritis reactiva derecha secundaria a meningitis meningocócica. Fue necesaria realización de artrocentesis y tratamiento corticoideo. Actualmente un mes después presenta dolor y limitación para la deambulación.
EF: Buen estado general. Edema con ocupación de fondos de saco de rodilla derecha y limitación para la flexión completa. Peloteo articular. Maniobras meniscales y cajones negativos. Fuerza y sensibilidad conservada. Marcha limitada por dolor. Leve aumento de diámetro gemelar, sin empastamiento, Homans negativo, Pulsos pedios presentes y simétricos.
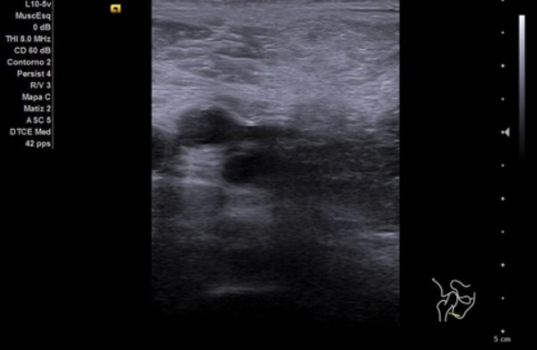
Se realiza ecografía clínica de rodilla derecha y se valora vena femoral derecha desde cayado hasta región poplítea.
Hallazgos ecográficos
Sonda lineal.
A nivel vascular, se exploran ambas venas femorales desde cayado de vena safena hasta la región poplítea con maniobras de compresión mostrando un diámetro conservado, colapsabilidad completa y presencia de flujo a la activación del Doppler color. No se evidencian signos de trombosis venosa profunda.
A nivel articular, se observa líquido articular en zona subcuadricipital en cantidad leve moderada. Resto sin hallazgos relevantes.
Pruebas complementarias
Rx rodillas: sin alteraciones de cavidad articular.
Juicio clínico, diagnóstico diferencial, concordancia con el hospital (en su caso)
Artritis de rodilla.
DD: Artrosis de rodilla. Trombosis Venosa Profunda.
Tratamiento, planes de actuación
Se pautó analgesia, reposo relativo y revaloración en un mes.
Evolución
La paciente evolucionó favorablemente, de forma progresiva el edema fue disminuyendo, mejorando la limitación para la flexión. Sin peloteo a la reexploración. Mejoría de la marcha. Consiguió tras 3 meses, incorporarse a su actividad habitual.
La ecografía nos dio la posibilidad de descartar la sospecha de TVP en una paciente con edad avanzada y limitación de la movilidad tras ingreso prolongado. Además, se realizaron controles sucesivos de la artritis sin necesidad de desplazarse al Hospital, teniendo un seguimiento más estrecho, continúo y comparativo respecto a visitas previas. Así, aseguramos una mejor atención y un tratamiento más dirigido. Sin duda, la ecografía nos facilita el trabajo diario y ayuda a manejar la incertidumbre ante patologías potencialmente graves tiempos dependientes.



