5, 6 y 7 de febrero de 2026
Enfoque individual
Antecedentes personales: migraña. Portadora de dispositivo intrauterino hormonal. Antecedente de cesaria.
Tratamiento Habitual: Naproxeno 550 mg.
Enfermedad actual: mujer de 41 años acude por dolor abdominal en mesogastrio de 24 horas de evolución, con escala visual analógica del dolor de 8 puntos que no mejora con analgésicos. Cambio en el ritmo de deposiciones con tendencia al estreñimiento.
Exploración física:
Presión Arterial: 124/84 mmHg; Frecuencia cardíaca: 87 latidos por minuto. Frecuencia respiratoria: 18 respiraciones por minuto. Temperatura axilar: 36 ºC.
Buen estado general, consciente y orientada, en posición otálgica por dolor.
Exploración cardíaca: tonos cardíacos rítmicos, no soplos. No edemas miembros inferiores.
Exploración respiratoria: buen paso del murmullo vesicular. Sin ruidos respiratorios agregados.
Exploración Abdominal: gran bulto palpable a nivel mesogastrio, doloroso, consistencia dura y discretamente desplazable.
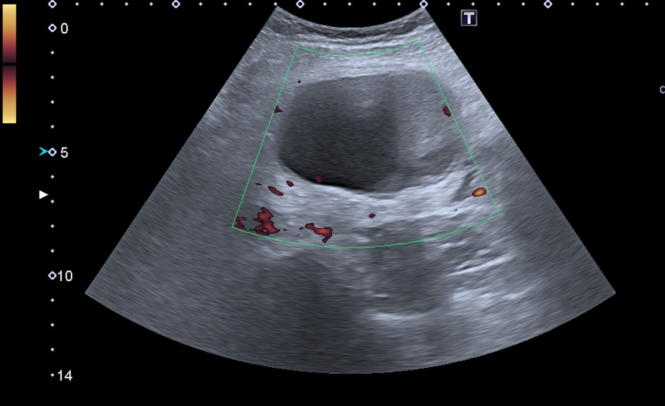
Hallazgos ecográficos
Ecografía abdominal en el Centro de Atención Primaria: lesión quística anecoica de 80 x 46 x 54 mm ubicada en mesogastrio. Quiste complejo de 30 x 30 mm, de paredes y septos engrosados, ubicado en polo superior del riñón izquierdo.
Pruebas complementarias
No.
Juicio clínico, diagnóstico diferencial, concordancia con el hospital (en su caso)
Juicio clínico: hallazgos de una lesión quística en mesogastrio y otra lesión quística compleja en el polo superior del riñón izquierdo.
Tratamiento, planes de actuación
La paciente es derivada a urgencias por dolor abdominal agudo.
Evolución
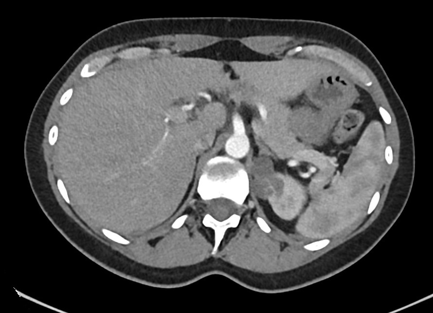
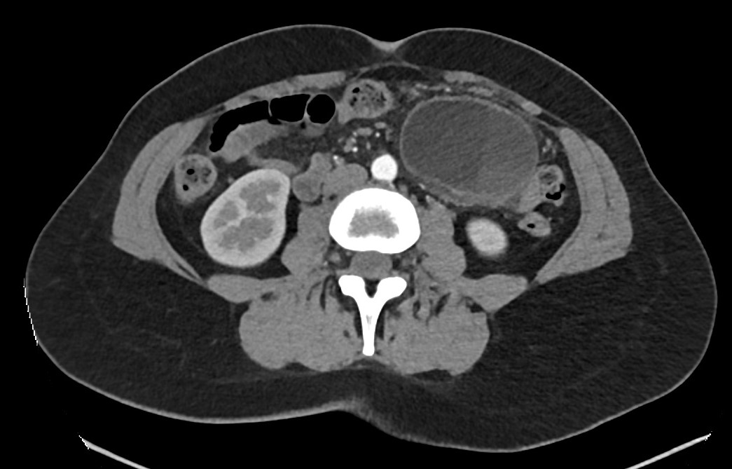
Tomografía computarizada de abdomen: lesión quística en flanco izquierdo sin evidente dependencia con ningún órgano y de probable origen mesentérico o mesenquimal, posible linfangioma. Cambios inflamatorios periféricos y contenido heterogéneo post-sangrado. Quiste renal izquierdo Bosniak tipo III.
Resonancia magnética intestinal y renal: lesión mesentérica de 7,3 cm compatible con linfangioma quístico versus quiste dermoide. Quiste cortical en el polo superior del riñón izquierdo Bosniak III.
Evolución: La paciente es intervenida quirúrgicamente con exéresis del quiste mesentérico y nefrectomía izquierda parcial.
Resultados de anatomía patológica: pseudoquiste mesentérico sin evidencia de malignidad y carcinoma renal de células claras.
El quiste mesentérico es una tumoración benigna poco frecuente.
Las lesiones quísticas complejas a nivel renal suelen asociarse a malignidad.
El carcinoma renal de células claras es el tumor maligno más frecuente, su diagnóstico ecográfico temprano asegura un mejor pronóstico.



