5, 6 y 7 de febrero de 2026
Atención Primaria.
Síntomas del tracto urinario inferior.
Enfoque individual
Hombre de 46 años que acude a Centro de Salud por presentar, desde hace 6 meses, inicio y progresivo aumento de síntomas como polaquiuria, nicturia, síntomas de vaciado obstructivos como chorro débil, sensación de vaciado incompleto y ocasionalmente tenesmo vesical. Niega hematuria o dolor lumbar.
Como antecedentes personales únicamente HTA.
EF: TA 130/80 mmHg, abdomen blando y depresible, no doloroso, sin masas o megalias ni globo vesical. Anormal y sedimento: normal, sin objetivar infección. PSA 1,8 ng/ml.
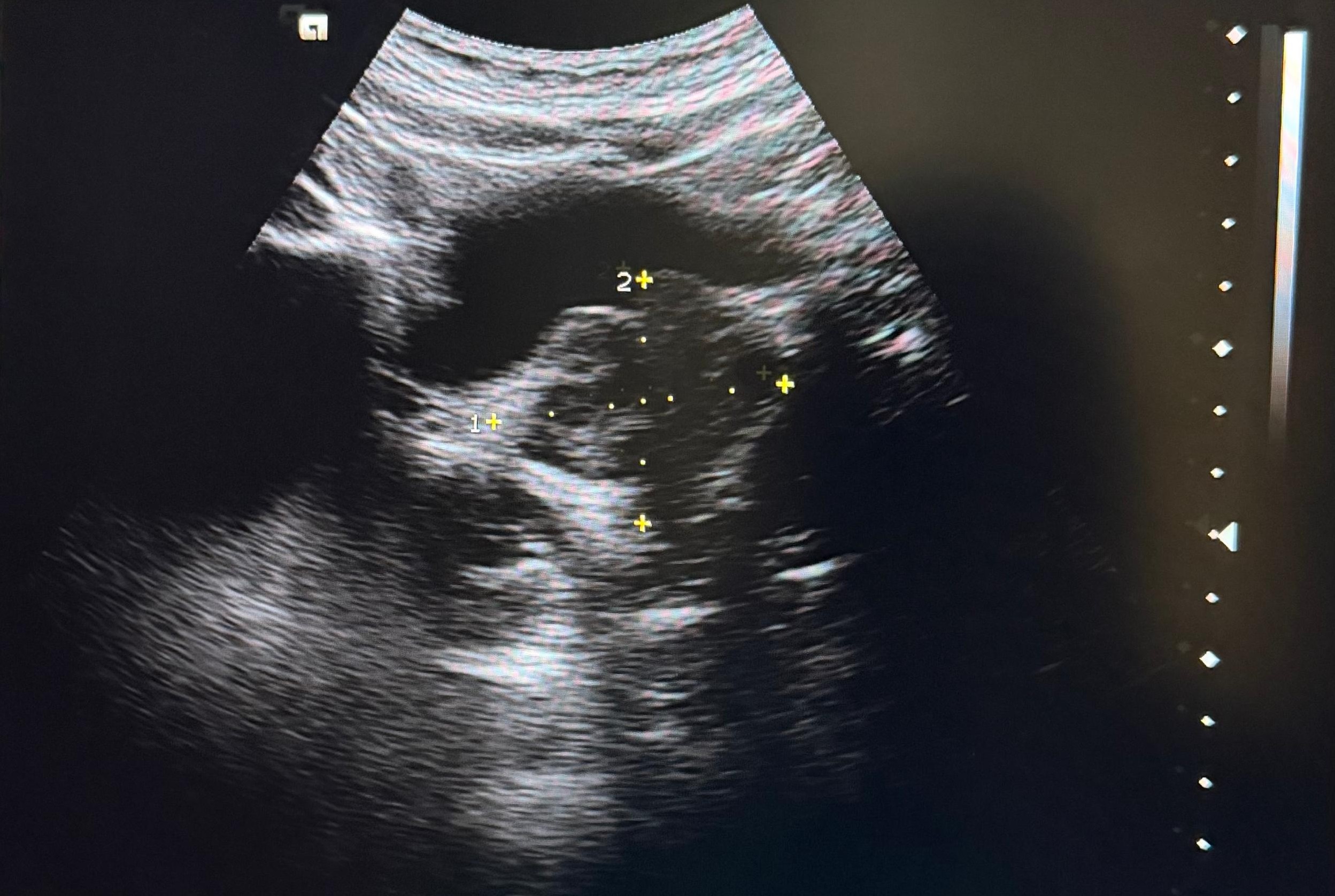
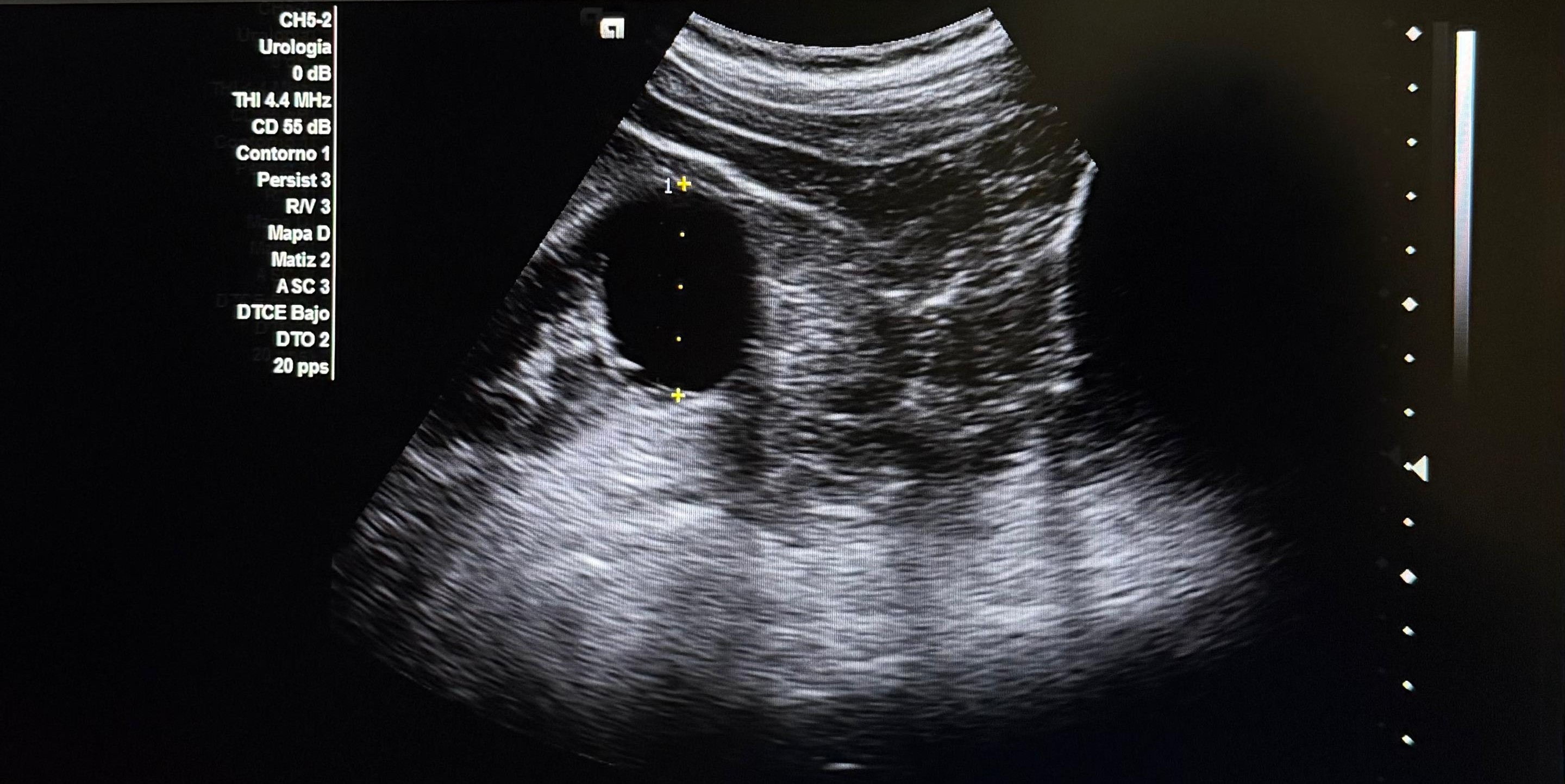
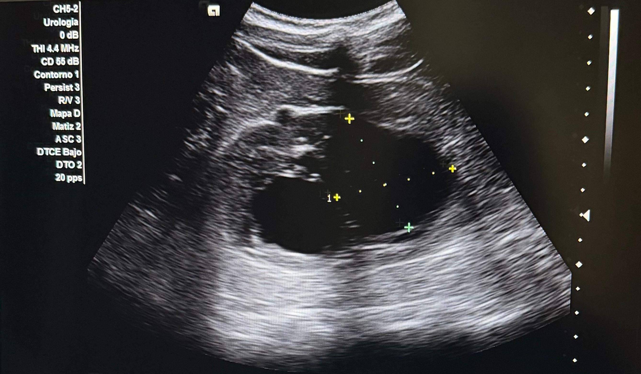
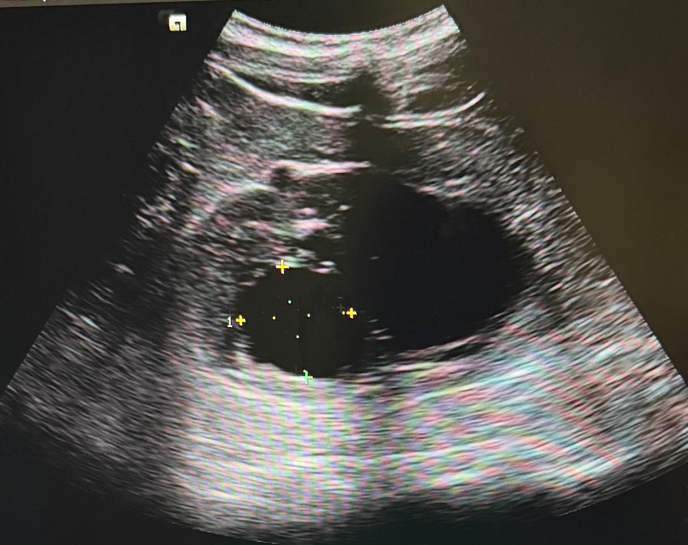
Hallazgos ecográficos
Se realiza ecografía abdominopélvica donde se visualiza vejiga sin alteraciones, próstata aumentada de tamaño con un volumen estimado de 59 cc. Como hallazgo incidental se objetivan ambos riñones aumentados de tamaño con varios quistes.
Pruebas complementarias
Anormal y sedimento: normal, sin objetivar infección. PSA 1,8 ng/mL.
Juicio clínico, diagnóstico diferencial, concordancia con el hospital (en su caso)
Juicio clínico: HBP y hallazgos compatibles con quistes simples vs poliquistosis renal.
Tratamiento, planes de actuación
Evolución
Se inició tratamiento para HBP, posterior revisión en 8 semanas para valorar mejoría o empeoramiento clínico, además de valorar derivación a urología. Por otra parte, se derivó a Nefrología para seguimiento de los quistes y nuevas pruebas diagnósticas por su parte.
En este caso clínico, se recogen dos patologías que ponen sobre la mesa la utilidad del manejo de ecografía en los Centros de Salud. Por un lado, el diagnóstico de patología frecuente como es la HBP, evitando así una derivación a consultas hospitalarias con la demora en el tratamiento que eso supone para el paciente; y por otro lado, el hallazgo incidental que permite la derivación a especialista hospitalario, para prevención, seguimiento, y manejo temprano de patología que sin esta herramienta probablemente hubiese dado la cara con complicaciones en una fase avanzada de la enfermedad.



