5, 6 y 7 de febrero de 2026
Atención Primaria.
Paciente que consulta por deterioro cognitivo, polaquiuria y nicturia.
Enfoque individual
Paciente natural de Perú que se ha mudado recientemente a España, con antecedentes de degeneración macular, lumbalgia, dislipemia, hipertensión y osteoporosis. La hija refiere olvidos frecuentes que últimamente están siendo más significativos, repeticiones, pregunta sobre lo que ha sucedido en el mismo día, así mismo, destaca nicturia de unas 3-5 veces por la noche y polaquiuria de unos meses de evolución, con incontinencia ocasional.
A la exploración física ausencia de focalidad neurológica. Se realiza LOBO que resulta de 15.
Solicitamos analítica con estudio de deterioro cognitivo, TC craneal y programamos para realizar ecografía renovesical.
Hallazgos ecográficos
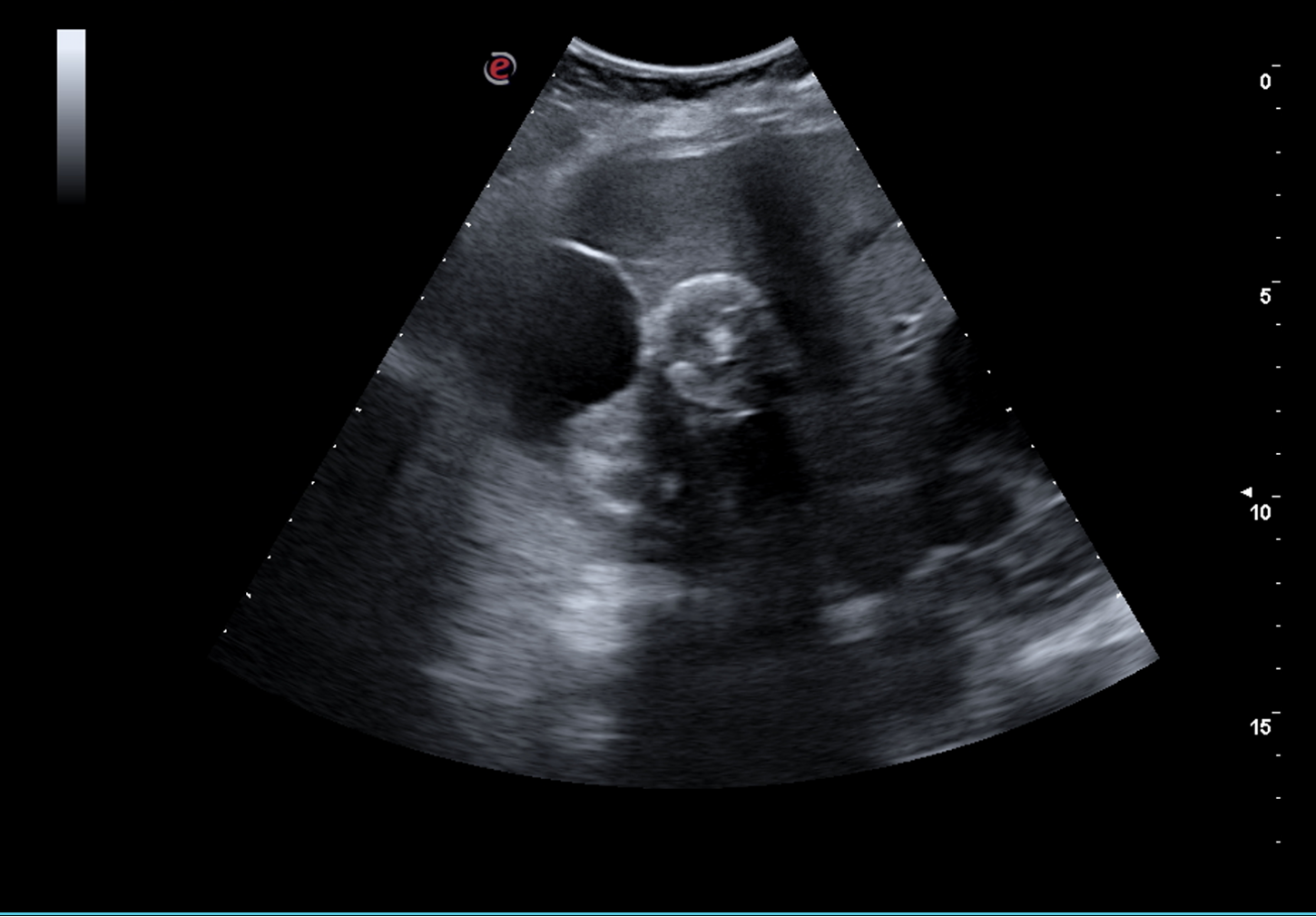
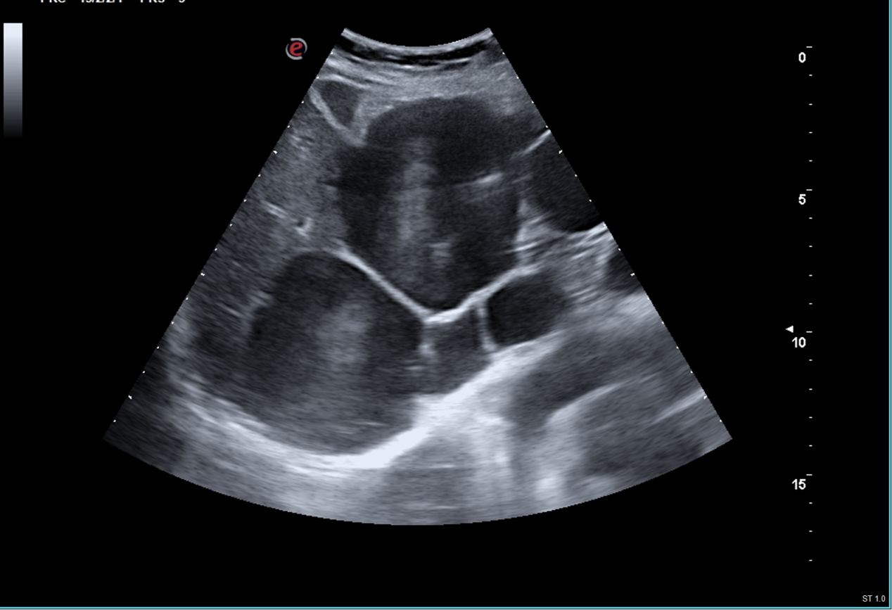
Ecografía: Hígado aumentado de tamaño con presencia de múltiples quistes simples (> 8), algunos de ellos tabicados, el mayor de 62 mm, con presencia de imagen heterogénea calcificada sin vascularización central ni periférica en lóbulo hepático derecho, segmento V-VI de 34 mm. Páncreas parcialmente visualizado sin lesiones. Riñón derecho con presencia de quiste cortical simple de 52 mm, sin otras lesiones, sin ectasia. Riñón izquierdo de tamaño y morfología normal sin lesiones, sin ectasia. Bazo sin alteraciones de tamaño normal. Vejiga adecuadamente replecionada con paredes levemente engrosadas, residuo postmiccional 30 ml.
Pruebas complementarias
Analíticamente destacaba AST 53, ALT 54, FA 104, GGT 64.
Juicio clínico, diagnóstico diferencial, concordancia con el hospital (en su caso)
Se orienta el caso como posible hidatidosis hepática con quiste hidatídico calcificado vs poliquistosis hepática y neoformación hepática.
Tratamiento, planes de actuación
Se decide solicitar RMN hepática y derivar a circuito de diagnóstico rápido.
Todavía pendiente de TC craneal.
Evolución
Dado el LOBO de 15, derivamos a Neurología para valoración de deterioro cognitivo.
Gracias al aprendizaje de la técnica ecográfica, tenemos la capacidad de realizar un diagnóstico más dirigido de forma inocua y precoz a los pacientes que así lo precisen.


