5, 6 y 7 de febrero de 2026
Servicios de Urgencias Hospitalarias.
Tos, disnea y dolor costal izquierdo.
Enfoque individual
Antecedentes personales: procedente de Somalia, acude a Urgencias acompañado por personal de Organización social para inmigrantes. Lleva 1 mes viviendo en España. No otros antecedentes importantes.
Anamnesis: hombre de 20 años que acude a Urgencias por tos, disnea y dolor costal izquierdo de 1 mes de evolución, con inicio en su país. Sensación distérmica sin termometrar. No expectoración ni hemoptisis. No dolor torácico. Pérdida de apetito y peso en el último mes.
Exploración: buen estado general, eupneico, afebril, constantes vitales estables. Saturación de oxígeno 100%. Sin trabajo respiratorio. Auscultación pulmonar objetiva hipofonesis en lóbulo inferior izquierdo (LII) y crepitantes dispersos. No edemas.
Pruebas complementarias:
Enfoque familiar y comunitario
Sin antecedentes familiares importantes.
Juicio clínico, diagnóstico diferencial, identificación de problemas
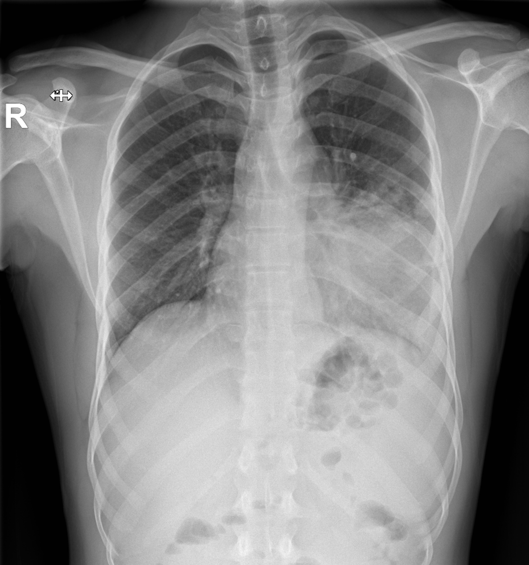
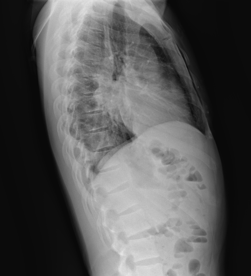
Consolidación en LII y derrame pleural izquierdo a estudio.
Diagnóstico diferencial:
Tratamiento y planes de actuación
(Tras evolución)
Rifampicina/isoniazida/pirazinamida/etambutol 2 primeros meses.
Rifampicina/Isoniazida 7 meses siguientes.
Evolución
Ingreso en Neumología, donde realizan toracocentesis y bioquímica líquido pleural, con evidencia de exudado mononuclear y ADA 80 U/L. Se realiza PCR líquido pleural positivo para M. tuberculosis. Antigenuria, hemocultivo y serología de virus negativos. Cultivo de esputo no representativo. Se diagnostica de tuberculosis pleuropulmonar izquierda e inician tratamiento antituberculoso con controles radiológicos posteriores.
La tuberculosis pleural es una forma frecuente de tuberculosis extrapulmonar, manifestada como derrame pleural aislado o asociando lesiones pulmonares (tuberculosis pleuropulmonar). Su diagnóstico requiere demostrar M. tuberculosis en líquido o biopsia pleural, aunque ADA e interferón gamma ofrecen alta sensibilidad y especificidad clínica. Además de la clínica y radiografía torácica, la ecografía aporta ventajas en Urgencias, permitiendo detectar derrame o engrosamiento pleural y septaciones, así como guiar procedimientos invasivos y monitorizar manejo y evolución clínica.


