5, 6 y 7 de febrero de 2026
Dolor e impotencia funcional.
Enfoque individual
Mujer de 43 años, fumadora, que acude por dolor de inicio súbito en gemelo derecho y dificultad para la marcha tras traumatismo hace 72 horas, al caer de pie y realizar una dorsiflexión forzada del pie. Exploración física: edema maleolar, dolor a la palpación sobre cabeza medial del gastrocnemio e inferiormente al hueco poplíteo. Realizamos una ecografía en el Centro de Salud para confirmar una rotura muscular del gastrocnemio.
Hallazgos ecográficos
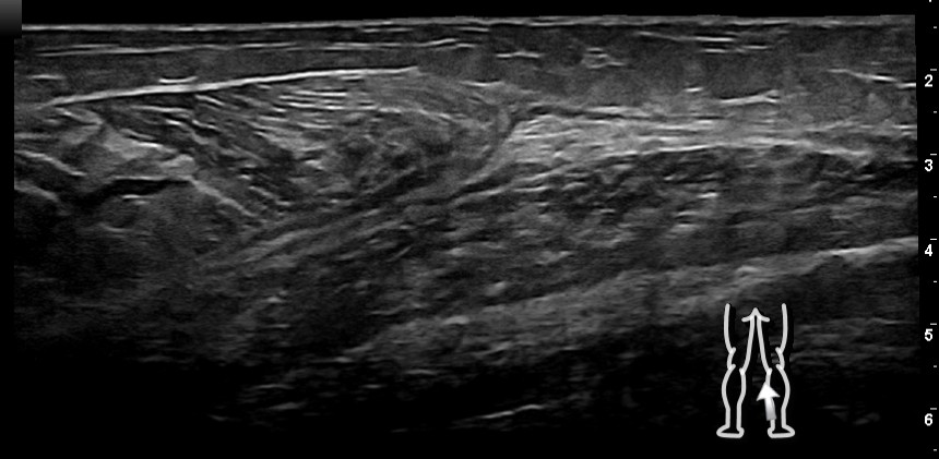
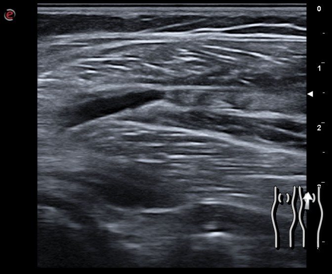
En cara posterior de pierna derecha, se observa, a nivel de la unión miotendinosa del gastrocnemio medial, una desorganización de las fibras musculares con pequeñas áreas anecogénicas compatibles con zonas de desgarro y hematoma.
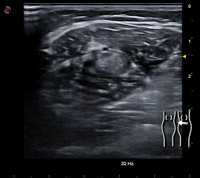
Imagen hiperecogénica en el espesor del gastrocnemio, que se continúa con una estructura anecogénica con doppler a la compresión distal, compatible con trombosis de venas gemelares. El resto del sistema venoso insonado es compresible y con flujo.
Pruebas complementarias
No.
Juicio clínico, diagnóstico diferencial, concordancia con el hospital (en su caso)
Rotura muscular del gastrocnemio, trombosis de venas gemelares.
Tratamiento, planes de actuación
Se indica reposo, frío local y analgesia. Controles clínicos y ecográficos seriados. Ejercicios progresivos de estiramiento del talón tras recuperar la marcha.
Evolución
Durante el seguimiento se produce un empeoramiento del dolor en la región inferior al hueco poplíteo y en la ecografía se constata una progresión de la trombosis venosa. Se decide inicio de anticoagulación, en primer lugar con enoxaparina y después con dabigatrán durante 3 meses. Tras 2 meses de evolución presenta una evolución satisfactoria y a los 3 meses no hay datos de trombosis en la ecografía.
En el caso presentado, la anamnesis y la exploración física permiten establecer una sospecha inicial. La ecografía por su parte permite confirmar el diagnóstico y además, detectar una complicación como la trombosis venosa, poco habitual en las roturas musculares. Asimismo, facilita el seguimiento, ofrece tranquilidad tanto al paciente como al médico y orienta el tratamiento; permitiendo en esta ocasión indicar la anticoagulación de forma temprana evitando así la extensión de la trombosis. Todo esto realizable en poco tiempo, sin traslados ni consumo de recursos.



