5, 6 y 7 de febrero de 2026
Atención Primaria.
Mujer de 36 años que acude por adenopatías retroauriculares, principalmente en el lado derecho, de varios días de evolución, en contexto de eccema de cuero cabelludo.
Enfoque individual
Monorreno y cólicos renales de repetición, sin medicación habitual. No refiere fiebre, pérdida de peso ni otra clínica sistémica. En la exploración se objetivan adenopatías retroauriculares y laterocervicales, móviles y no dolorosas. El resto de la exploración física no muestra hallazgos relevantes.
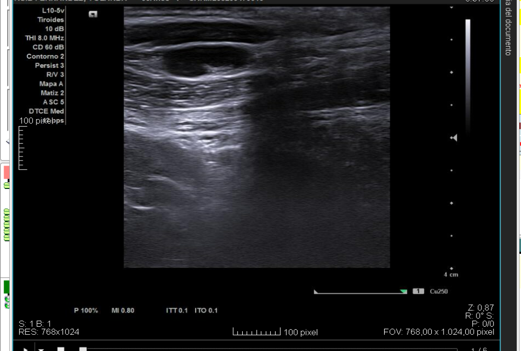
Hallazgos ecográficos
Se realiza ecografía en la consulta de AP (sonda lineal L10-5V). La gran mayoría son adenopatías subcentimétricas, con hilio central hiperecogénico y vascularización central. Se amplía estudio con analítica y una interconsulta a Hematología.
Pruebas complementarias
En la analítica se objetiva ligera leucopenia y neutropenia. Serología positiva para IgG frente a virus Epstein–Barr. Resto de parámetros normales, incluidas VSG y PCR. Tras 3 semanas se realiza nuevo control ecográfico, observándose cambios respecto al estudio previo: agrandamiento de adenopatías mayores de 10 mm, hipoecogénicas, en conglomerado, con pérdida del hilio y aparición de una adenopatía supraclavicular derecha de 14 mm con vascularización periférica. Estos hallazgos resultan sugestivos de proceso linfoproliferativo, por lo que se tramita derivación preferente a Hematología con solicitud de PAAF, que se realiza en 48 horas. Tras su valoración, la paciente ingresa para completar estudio.
Juicio clínico, diagnóstico diferencial, concordancia con el hospital (en su caso)
Juicio clínico: Leucemia linfoblástica T. Diagnóstico diferencial: Mononucleosis infecciosa, CMV, enfermedad por arañazo de gato, linfomas, carcinoma de cabeza y cuello, leucemias, tumores de glándulas salivales.
Tratamiento, planes de actuación
La ecografía en AP permite acelerar el circuito diagnóstico y justificar la derivación urgente. La paciente inicia tratamiento quimioterápico con buena respuesta clínica y se valora para trasplante alogénico.
Evolución
Ingreso durante 1 mes en Hematología hasta diagnóstico definitivo.
La ecografía en Atención Primaria permite identificar signos ecográficos de alarma en adenopatías (cociente longitud/anchura > 1,3, redondeamiento, ausencia de hilio, alteración cortical, vascularización periférica o aberrante). Su uso agiliza el diagnóstico, optimiza recursos y mejora la capacidad resolutiva. En este caso fue determinante para sospechar patología maligna y priorizar el estudio hematológico, facilitando un abordaje precoz y multidisciplinar.



