5, 6 y 7 de febrero de 2026
Mujer de 72 años, con antecedentes de hipertensión arterial y obesidad, sin otros factores de riesgo cardiovascular. Consultó en su centro de salud por dolor torácico, localizado en hemitórax izquierdo con irradiación a miembro superior izquierdo. La paciente describe el dolor como opresivo, discontinuo sin síntomas vegetativos asociados. Relaciona el inicio de dolor tras una discusión con un familiar hace cuatro horas mientras estaba en reposo.
Enfoque individual
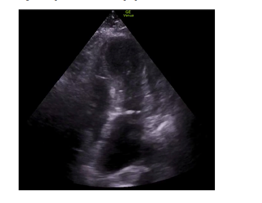
Antecedentes personales: HTA y obesidad.Como prueba complementaria se realizó un electrocardiograma que mostró elevación del ST en V1-V2 con T negativas en V3-V4-V5-V6. Posteriormente se trasladó a hospital de referencia, donde presentó marcadores de daño miocárdico elevados (troponinas: 171 ng/L). Se realizó coronariografía de urgencia a su llegada donde se descartan lesiones o estenosis en TCI/DA/Cx/CD. Previo al ingreso, se realizó ecocardiografía clínica por parte del servicio de urgencias y se visualizó imagen característica de dicho síndrome con abombamiento apical, la ventriculografía izquierda presentó discinesia medio-apical en todos los segmentos. Hipercontractilidad basal. IM ligera-moderada. Por tanto, se planteó como probable diagnóstico síndrome de Takotsubo y se descartaron otras posibles causas como derrame pericárdico.
Juicio clínico, diagnóstico diferencial, identificación de problemas
Dolor torácico; IAMCEST; S. Takotsubo.
Tratamiento y planes de actuación
Ingreso en UCI con tratamiento antihipertensivo y analgesia de segundo escalón.
Evolución
La evolución clínica fue satisfactoria con mejoría clínica, bioquímica y ecocardiográfica a los cuatro días. Los ecocardiogramas posteriores no mostraron disfunción ventricular. La paciente fue dada de alta sin nuevos fármacos pero con seguimiento por cardiología.
En la actualidad, no hay suficiente evidencia sobre el manejo inicial, diagnóstico y tratamiento del síndrome de Takotsubo. Por esta razón, los informes de casos son muy útiles, ya que pueden ayudar a reconocer la existencia de este síndrome y considerarlo en el diagnóstico de pacientes con síndrome coronario agudo, además de contribuir a ampliar el conocimiento sobre su manejo. La ecocardiografía realizada en el servicio de urgencias puede ser útil para respaldar el diagnóstico, evaluando la extensión, gravedad y localización de las anomalías en el movimiento de las paredes del corazón, así como para detectar posibles complicaciones asociadas al síndrome de Takotsubo.

