Comunicaciones: Casos clínicos

Sospecha de trombosis venosa profunda (póster)

Ámbito del caso

Atención Primaria.

Motivos de consulta

Edema y dolor en pierna derecha de dos semanas de evolución.

Historia clínica

Enfoque individual

Paciente oncológico en tratamiento activo.
Hipertenso, diabético dislipémico, exfumador, obesidad morbida. 
Edema progresivo en gemelo derecho calor, rubor, no refiere traumatismo, dolor que empeora con la deambulación.
Exploración física: aumento del perímetro pierna derecha zona gemelo derecho, edema unilateral calor local dolor a la palpación profunda pulsos pedios conservados.

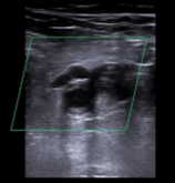
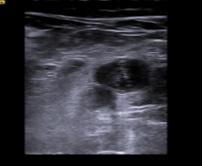
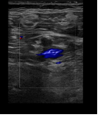
Hallazgos ecográficos

Ecografía clínica en el mismo momento de la consulta: vena poplítea derecha y vena safena derecha no compresibles imagen hipoecocicas sugestivas de tombo sugiere trombosis venosa profunda en territorio poplíteo. Se deriva a hospital. 

Pruebas complementarias

Dímero D elevado.
Ecografía diagnóstica Doppler de confirmación en hospital: trombosis venosa profunda poplítea derecha.

Juicio clínico, diagnóstico diferencial, concordancia con el hospital (en su caso)

  • Celulitis.
  • Trombosis superficial.
  • Quiste de baker roto.
  • Lesión muscular.
  • Concordancia: Doppler hospitalario confirma trombosis venosa poplítea.

Tratamiento, planes de actuación

  • Derivación urgente al hospital para confirmación ecográfica.
  • Heparina de bajo peso molecular 40 mg cada 24 horas durante 15 días.
  • Signos de alarma.
  • Manejo del sangrado.
  • Evitar inmovilización prolongada.

Evolución

  • Seguimiento conjunto con Atención Primaria.
  • Mejoría progresiva del edema en 7 días.
  • Buena adherencia al anticoagulante.
  • Ecografía en 1 mes: recanalización parcial, mantener tratamiento anticoagulante 1 mes.

Conclusiones y aplicabilidad para la medicina de familia

  • La ecografía clínica en Atención Primaria permite sospechar de forma rápida una trombosis venosa profunda y realizar derivación urgente adecuada. 
  • El médico de familia es fundamental.
  • Valoración inicial y estratificación del riesgo.
  • Derivación eficiente para confirmación hospitalaria.
  • Inicio y supervisión del tratamiento.
  • Educación y seguimiento integral del paciente.
  • Caso muy representativo de la continuidad entre Atención Primaria y Hospitalaria.

 


Comunicaciones y ponencias semFYC: 2026; Comunicaciones: Casos clínicos. ISSN: 2339-9333

Autores

Alonso Pérez, Juana María
Atención Primaria. Cartagena
Cerezuela Abarca, M Ángeles
Atención Primaria. Cartagena
Perez-Crespo Gómez, Carmen
Atención Primaria. Cartagena