X Jornadas de Actualización en Medicina de Urgencias y VI Jornadas de Ecografía de la semFYC
6-7-8 de febrero de 2025
Atención Primaria.
Caso 1: Hombre, 31 años que consulta por tumefacción de 3 semanas evolución de testículo izquierdo. Hace dos meses notaba la tumefacción, que aparecía post esfuerzos, se reducía espontáneamente. No presenta dolor ni náuseas ni fiebre. No antecedentes previos (AP).
Caso 2: Hombre, 59 años que consulta casualmente por aumento teste izquierdo hace 2-3 meses no doloroso. Analítica normal. AP migraña.
Ambos niegan traumatismo escrotal previo.
Antecedentes personales relevantes, anamnesis, exploración física y lugar que ocupa en ella la ecografía
En la exploración de ambos se palpan testículos derechos de características normales, sin masas ni puntos dolorosos, y en el escroto izquierdo se advierte un mayor tamaño, con cierta dureza y no doloroso. No signos inflamatorios. Transiluminación negativa.
Descripción de los hallazgos ecográficos y las imágenes más relevantes para la resolución del caso
Estudio ecográfico testicular muy accesible sin preparación:
Caso 1: Aumento del volumen escrotal a expensas de la ocupación del hemiescroto izquierdo por grasa mesentérica, sin implicación de asas a través de la OII del canal inguinal (hernia inguinoescrotal izquierda indirecta)
Caso 2: En escroto izquierdo imagen anecoica correspondiente a hidrocele a tensión, con coexistencia de trabeculaciones y loculaciones en el interior de hidrocele.
Otras pruebas complementarias realizadas (si existen)
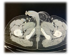
Caso 1: se solicita un TC abdominal: Hernia inguinal indirecta izquierda, de contenido graso, sin signos de complicación. Se programa de forma prioritaria la intervención de Hernia inguinoescrotal izquierda H3F1.
Caso 2: se solicita ecografía reglada.
Juicio clínico, diagnóstico diferencial, concordancia con el hospital (en su caso)
Diagnósticos diferenciales:
Decisiones adoptadas: tratamiento, planes de actuación
Ambos se derivan a segundo nivel.
Evolución y seguimiento
Ambos se programan para cirugía prioritaria.
La ecografía clínica en manos de médicos de primaria tiene una importancia relevante en estos casos, ya que la detección y derivación adecuada mejora todo el circuito asistencial.



