5, 6 y 7 de febrero de 2026
Atención Primaria.
Resultado PET-TC.
Enfoque individual
No reacciones alérgicas medicamentosas conocidas.
Antecedentes médicos: Carcinoma ductal infiltrante de mama izquierda.
No antecedentes quirúrgicos de interés.
Anamnesis: Mujer de 45 años que consulta para resultado de PET-TC que detecta discreto incremento metabólico difuso en lóbulo tiroideo derecho. Refiere cansancio progresivo en el último mes con dificultad para la concentración en tareas que previamente realizaba sin incidentes.
Exploración física: a la palpación, tiroides levemente aumentado no doloroso y piel seca. No se palpan nódulos.
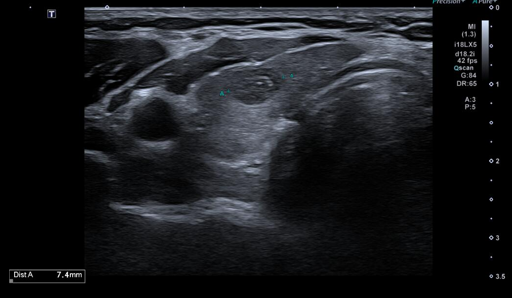
Tras dichos hallazgos, se decide realización de Ecografía Clínica.
Hallazgos ecográficos
Ecografía clínica:
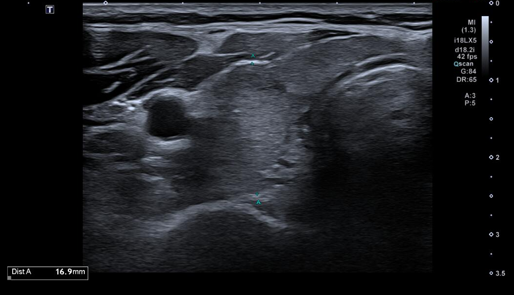
Pruebas complementarias
Ecografía reglada (Servicio de Radiología):
Analítica: TSH 0.033 uUI/ml, T4 libre 1.9 ng/dl, T3 libre 6,6 pg/ml.
Autoinmunidad: Ac Anti-Tiroglobulina (Elisa) < 20 UI/ml.
Inmunoquímica:
Juicio clínico, diagnóstico diferencial, concordancia con el hospital (en su caso)
Tiroiditis autoinmune hipertiroidea.
Tratamiento, planes de actuación
Evolución
Tras la realización de Ecografía Clínica y Ecografía Reglada, junto con las pruebas inmunológicas, se realiza diagnóstico de tiroiditis autoinmune, no siendo necesaria la realización de pruebas diagnósticas adicionales. Seguimiento de función tiroidea en 3 meses y evolución de la clínica.
Este caso destaca el papel fundamental de la Atención Primaria en la identificación de síntomas sutiles compatibles con disfunción tiroidea. La integración de hallazgos previos en PET-TAC con la clínica y la analítica permitió un diagnóstico precoz de la tiroiditis autoinmune.



