Tumor renal como hallazgo casual en estudio ecográfico inicial en Atención Primaria (póster)
Ámbito del caso
Centro de Atención Primaria
Motivos de consulta
Dolor abdominal y astenia.
Historia clínica
Enfoque individual
- Antecedentes relevantes: mujer, 35 años, fumadora de 1 paq/día desde los 16 años.
- Anamnesis: consulta por dolor abdominal cólico difuso de 1 mes de evolución, asociado a astenia. La tira reactiva de orina fue normal y la exploración física abdominal y cardiorrespiratoria anodina, por lo que se decide realizar estudio ecográfico abdominal en atención primaria como parte del plan diagnóstico.
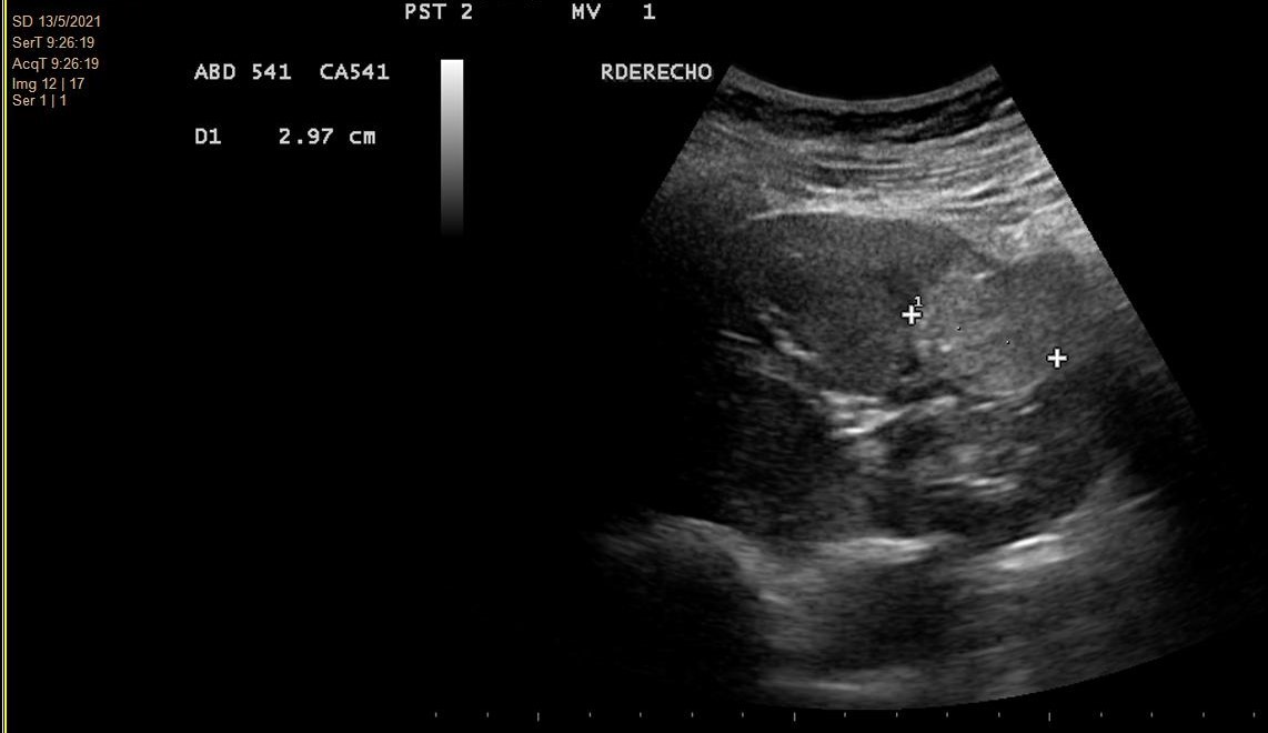
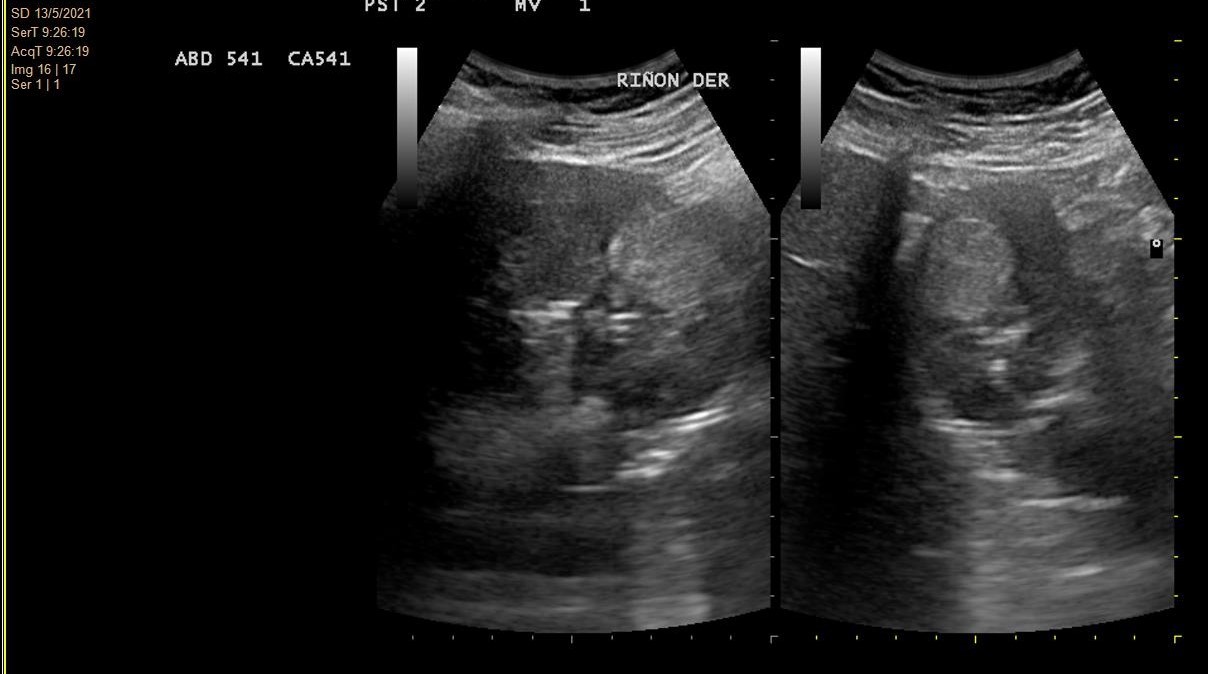
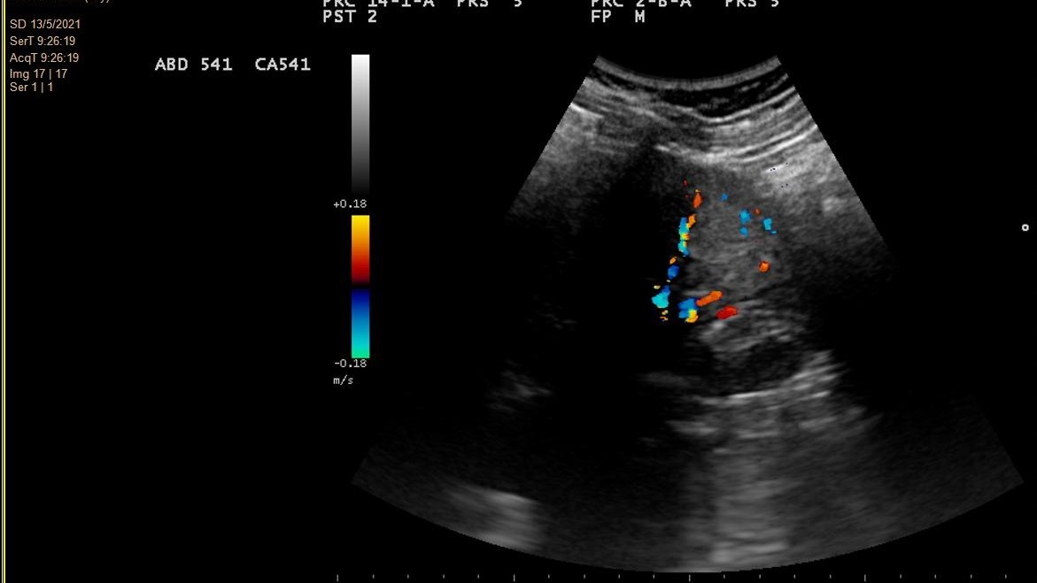
Hallazgos ecográficos
- Hallazgos ecográficos (mayo 2021): Imagen hiperecogénica redondeada de 2,9 cm de diámetro, de ecogenicidad irregular, localizada en tercio medio-distal del riñón derecho, sin evidenciarse litiasis o hidronefrosis.
Pruebas complementarias
Juicio clínico, diagnóstico diferencial, identificación de problemas
Juicio clínico: Tumor renal derecho único.
Tratamiento y planes de actuación
Pruebas complementarias y evolución del caso:
- Junio 2021: nefrectomía parcial en Hospital
- Agosto 2021: diagnóstico histológico.- Carcinoma renal de células claras in situ.
- Planes de actuación: seguimiento por urología y soporte psicológico desde primaria.
Evolución
- Paciente satisfecha por la atención recibida desde atención primaria y la rápida resolución de su problema de salud. Evolución satisfactoria y asintomática actualmente.
Conclusiones (y aplicabilidad para la Medicina de Familia)
El ecógrafo es una herramienta actualmente disponible en Atención Primaria, que en manos de un profesional capacitado en su técnica de uso, es poderosa en el proceso diagnóstico de cualquier proceso patológico ya que permite acortarlo en el tiempo, mejorando con ello la supervivencia del paciente.



Comunicaciones y ponencias semFYC: 2026; Comunicaciones: Casos clínicos. ISSN: 2339-9333