5, 6 y 7 de febrero de 2026
Atención Primaria.
Dolor en pierna.
Enfoque individual
Caso 1: hombre de 50 años que acudió a Urgencias hospitalarias por dolor y enrojecimiento de muslo derecho de 5 días de evolución. Realizaron ecografía doppler objetivando extensa tromboflebitis superficial de vena safena interna derecha, de inicio a 3,8 cm del cayado safeno-femoral hasta 10 cm por debajo de región poplítea. Pautaron heparina durante 45 días. Acude a su médico de familia para control al finalizar tratamiento, con persistencia de molestia. Menciona que ha tenido un vuelo hace dos días.
Caso 2: hombre de 88 años que en consulta telefónica refiere dolor en pierna derecha desde hace unos días, tras haber notado «como una pedrada»; había tomado Levofloxacino unos días antes. Se le cita presencialmente para explorar el tendón de Aquiles, que tiene funcionalidad conservada, y se objetiva edema en MID respecto al izquierdo.
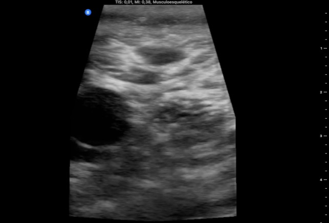
Se realiza ecografía.
Hallazgos ecográficos
En el caso 1, en la ecografía de control se objetiva trombo a casi 1 cm del cayado safeno-femoral. En el caso 2 se realiza ecografía con ecógrafo portátil y se objetiva trombosis venosa superficial en venas infrapoplíteas de MID.
Juicio clínico, diagnóstico diferencial, concordancia con el hospital (en su caso)
Trombosis venosa superficial.
Tratamiento, planes de actuación
Se revisó el último documento de consenso de TVS y se adaptó la duración del tratamiento anticoagulante a las recomendaciones según localización del trombo, distancia al cayado y factores de riesgo. En el primer caso se pautó heparina durante 3 meses (trombo a <3 cm del cayado) y en el segundo durante 45 días (factores de riesgo: varón, edad avanzada, posible traumatismo reciente).
Evolución
Los pacientes completaron el tratamiento anticoagulante con resolución del cuadro.
La ecografía clínica no solo permitió un rápido diagnóstico de las trombosis venosas superficiales, sino también indicar la mejor actitud terapéutica en función de la localización del trombo, reduciendo el riesgo de complicaciones. Estos dos casos en menos de un mes sirvieron para revisar el documento de consenso y mantenerse actualizados en el manejo farmacológico de las TVS.



