5, 6 y 7 de febrero de 2026
Enfoque individual
Alergia a Enalapril. Fumador de 10 cigarrillos/día y consumo de alcohol de fin de semana. HTA. DM2. Seguido por Urología por carcinoma papilar no infiltrante con tres focos, última RTU en 2018. Intervenido de hernia inguinal y umbilical.
Juicio clínico, diagnóstico diferencial, identificación de problemas
Hombre de 69 años que acude al CS por epigastralgia irradiada hacia hipocondrio izquierdo, náuseas y vómitos de <24 h de evolución. Asocia síndrome miccional y molestias en hipogastrio, hiporexia y coluria, sin fiebre u otra sintomatología. Dada ausencia de mejoría tras analgesia es derivado a Urgencias Hospitalarias. A su llegada dolor persistente y mal estado general. A la exploración física presenta palidez cutánea y deshidratación, abdomen doloroso a la palpación en región epigástrica e hipogástrica e irradiación hacia fosa renal izquierda.
Tratamiento y planes de actuación
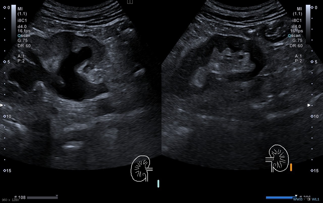
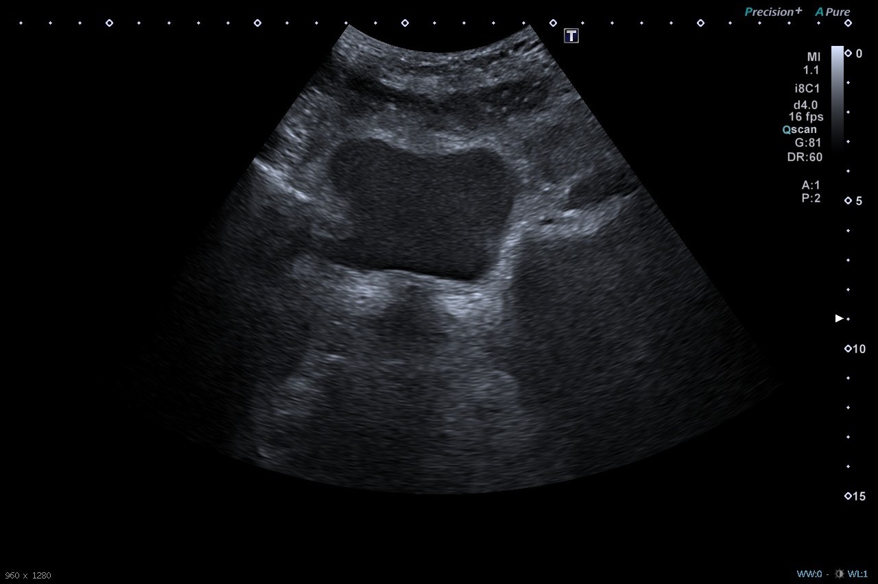
Diagnóstico: Ureterohidronefrosis grado 3. Pancreatitis aguda de origen biliar.
Evolución
El paciente ingresa en Digestivo por diagnóstico de pancreatitis aguda, con seguimiento simultáneo por Urología. Se realiza CPRE sin incidencias y posteriormente desarrolla una IRA prerrenal secundaria a proceso neoproliferativo renal. Se decide nefrouretectomía radical derecha.
La coexistencia de una ureterohidronefrosis obstructiva y una pancreatitis aguda de origen biliar evidencia la necesidad de una valoración integral y sistemática, evitando la tentación de atribuir todos los síntomas a un único proceso. La correlación clínica, analítica y ecográfica fue determinante para identificar el doble foco patológico y orientar un manejo precoz, lo que subraya la importancia del pensamiento clínico flexible y la vigilancia activa ante una potencial evolución tórpida.



