V Jornadas de Ecografía de la semFYC

9 y 10 de febrero de 2024

Comunicaciones: Casos clínicos

Una gran masa inesperada (póster)

Ámbito del caso

Atención Primaria.

Motivos de consulta

Aumento de peso y dolor abdominal

Historia clínica

Enfoque individual

Paciente mujer de 52 años de edad con antecedentes patológicos de Hipertiroidismo y tabaquismo. Acude a consulta por aumento de 20 kg de peso en 12 meses, sin realizar cambios alimentarios ni medicamentosos. Explica dolor en hipocondrio derecho sin relación con ingesta. Niega vómitos, nauseas, clínica miccional ni deposicional o síndrome tóxico.

Exploración abdominal: dolor a la palpación superficial de reborde hepático que impresiona aumentado, abdomen globuloso a tensión, no oleada ascítica.

Se decide realizar ECO abdominal.

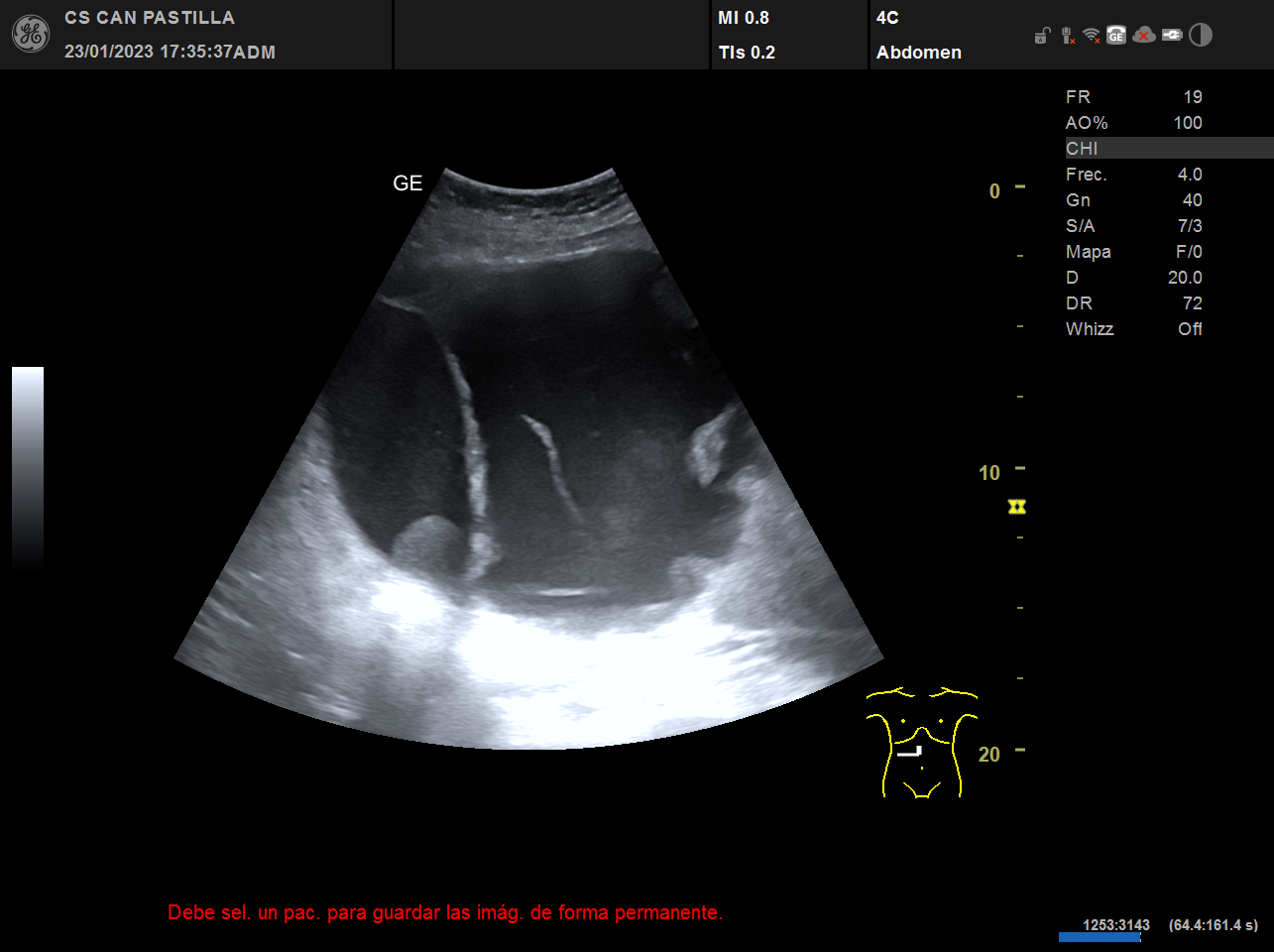
Hallazgos ecográficos

ECO abdominal: destacan imágenes anecóicas con refuerzo acústico posterior y septos en su interior, sugestivas de quistes complejos de gran tamaño (el mayor de ellos de 15 cm de diametro) o un solo quiste tabicado de gran tamaño. Dificultad para observar el parénquima hepático de forma completa, dados la ocupación de las imágenes quísticas. 

Pruebas complementarias

  • TAC abdominal donde destaca: gran masa quística intraabdominal de probable origen anexial. No se aprecian lesiones quísticas hepáticas.
  • AS general con Alfafetoproteina con resultado anodino.

Juicio clínico, diagnóstico diferencial, identificación de problemas

Dx diferencial:
  • Quiste hidatídico.
  • Absceso amebiano.
  • Carcinoma hepatocelular quístico.
  • Metástasis quística.
  • Teratoma quístico maduro de origen anexial. 

Tratamiento y planes de actuación

Tras el resultado de TAC es valorado por GIN, quienes solicitan RMN y HCG, que resultó negativo.
En RMN destaca Formación quística de gran tamaño probablemente anexial sin polos sólidos de riesgo intermedio.
Se realiza IQ por laparoscopia, anexectomía izquierda con trompa.

En el estudio de AP Teratoma quístico maduro de origen anexial izquierdo.

Evolución

Buena evolución tras extirpación quirúrgica.

Conclusiones (y aplicabilidad para la Medicina de Familia)

En este caso destaca la importancia de realizar una prueba de imagen a pie de cama ya que facilita la orientación diagnóstica y permite derivar a la paciente a un servicio específico con una orientación ya realizada.
 
 
 
 
 

Comunicaciones y ponencias semFYC: 2026; Comunicaciones: Casos clínicos. ISSN: 2339-9333

Autores

Ramon Grimalt, Xavier
UBS S'arenal. Palma de Mallorca
Gadea Ruiz, Cristina
UBS S'arenal. Palma de Mallorca
Ramon Grimalt, Meritxell
UBS S'arenal. Palma de Mallorca