V Jornadas de Ecografía de la semFYC

9 y 10 de febrero de 2024

Comunicaciones: Casos clínicos

Una hernia con reactantes de fase agudo altos (póster)

Ámbito del caso

Atención Primaria

Motivos de consulta

Bulto en teste

Historia clínica

Enfoque individual

Varón de 26 años sin antecedentes de interés que acude por presentar un bulto en testículo derecho doloroso y caliente. Hace un año fue diagnosticado de hernia inguino-escrotal y fue derivado a cirugía. El paciente solía reducirla manualmente, por lo que no acudió a consulta de especializada. Desde hacía tres días se había vuelto muy dolorosa, estaba caliente y no podía reducirla.
A la exploración, se objetivaba teste aumentado de tamaño de unos 10 cm de diámetro, impresionaba de hernia inguino-escrotal difícilmente reducible y dolorosa a la palpación. El paciente presentaba clínica distérmica, y regular estado general.

Hallazgos ecográficos

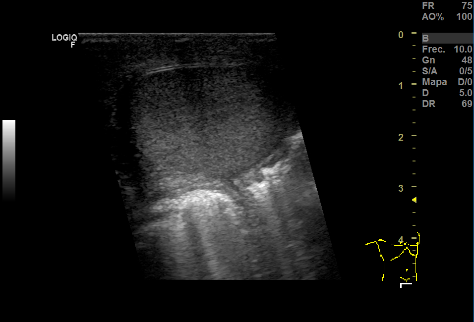
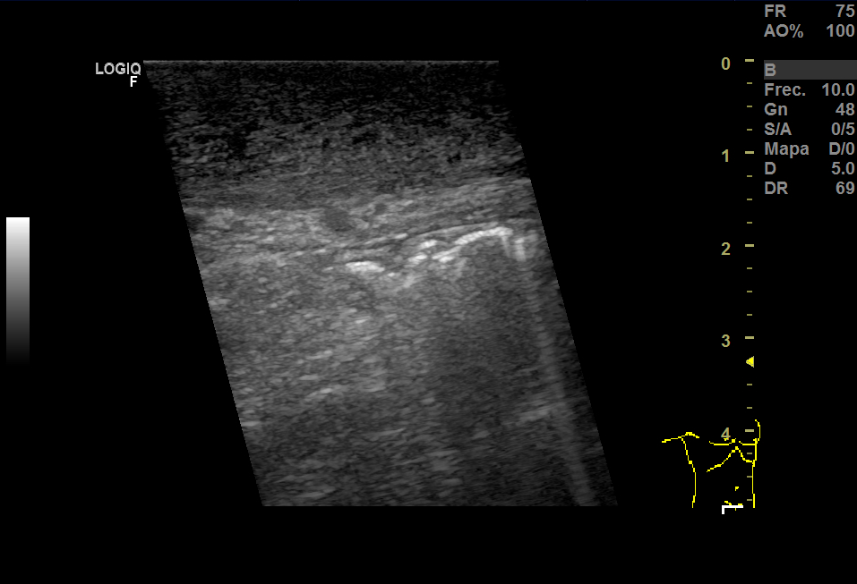
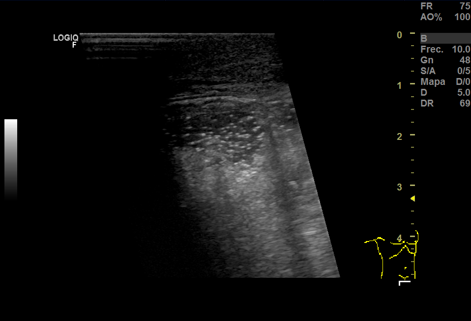
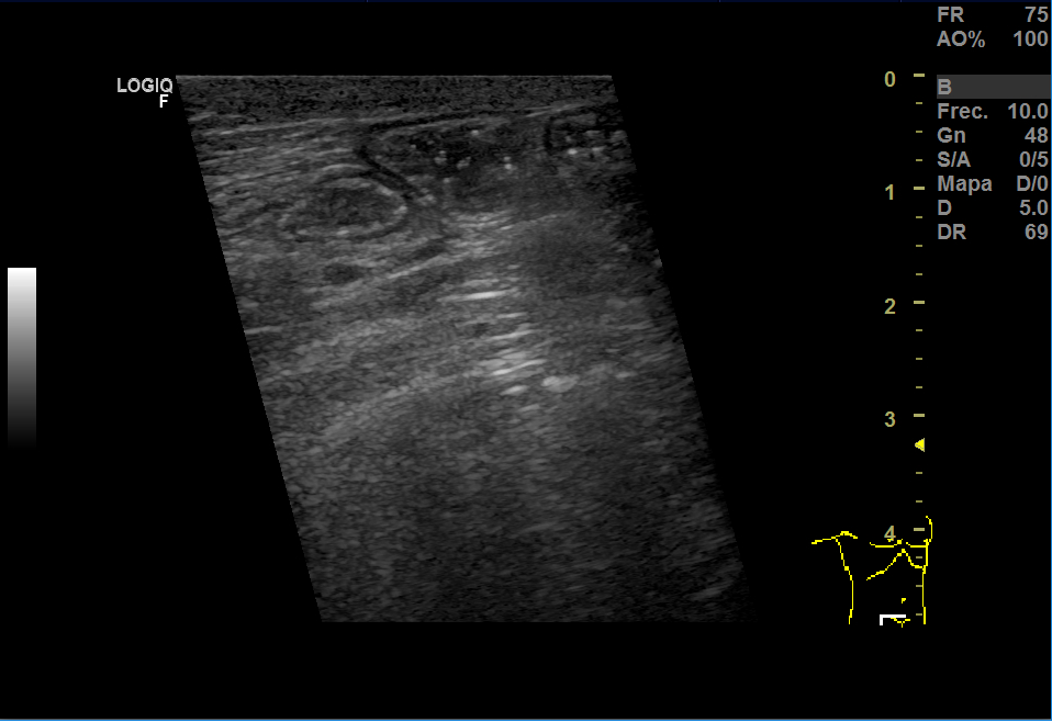
Realizamos una ecografía en Centro de Salud donde vimos que había una herniación derecha y aumento del grosor del tejido celular subcutáneo y, en el espesor, una imagen anecoica que no sabíamos bien a qué podía corresponder.

Pruebas complementarias

Analítica: Leucocitosis con neutrofilia y PCR (proteina C reactiva) altas.

Juicio clínico, diagnóstico diferencial, identificación de problemas

Hernia inguino-escrotal gigante. Diagnóstico diferencial con apendicitis en saco herniario o proceso infeccioso local.

Tratamiento y planes de actuación

Derivamos al paciente a urgencias con nuestras sospechas.

Evolución

En la urgencia, realizaron una analítica y encontraron 14.600 leucocitos, PCR 5,13. En Eco testicular, se apreciaron testes de ecoestructura y ecogenicidad normales, epidídimos normales y aumento del grosor del TCSC que impresionaba de celulitis y, en el espesor, una pequeña colección de 15 mm que podía corresponder a absceso o hematoma.

Se inició antibioterapia y se drenó el absceso.

El paciente, ya con mejoría clínica, está en lista de espera para cirugía de la hernia.

Conclusiones (y aplicabilidad para la Medicina de Familia)

En pacientes con una hernia inguinal grande en la que no solo hay dolor, sino que hay síntomas de infección y reactantes de fase aguda elevados debemos sospechar que dentro del saco herniario puede encontrarse el apéndice inflamado. La incidencia del apéndice cecal en una hernia inguino-escrotal se estima entre 0,5-5% de todas las hernias.

El hecho de que en Atención Primaria hagamos una valoración general del paciente y una exploración ampliada nos llevó a pensar que el paciente necesitaba valoración urgente y analítica en ese momento, ya que podía corresponder no solo a una hernia gigante sin más. Este caso no correspondía a una apendicitis dentro del saco herniario pero este diagnóstico lo debemos tener en cuenta.


Comunicaciones y ponencias semFYC: 2026; Comunicaciones: Casos clínicos. ISSN: 2339-9333

Autores

Ronda del Corro, María
CS Puerta Bonita. Madrid
Jiménez Martínez, Cristina
CS Puerta Bonita. Madrid
Codesido Pérez, Xurxo
CS Puerta Bonita. Madrid