5, 6 y 7 de febrero de 2026
Atención Primaria.
Mujer de 62 años que consulta por tumoración en el cuello de 2 semanas de evolución.
Enfoque individual
La paciente acude a la consulta de Atención Primaria por la aparición de una masa palpable en la región lateral del cuello, no dolorosa. No refiere antecedentes personales de importancia.
No cuenta síndrome constitucional, síntomas B u otros.
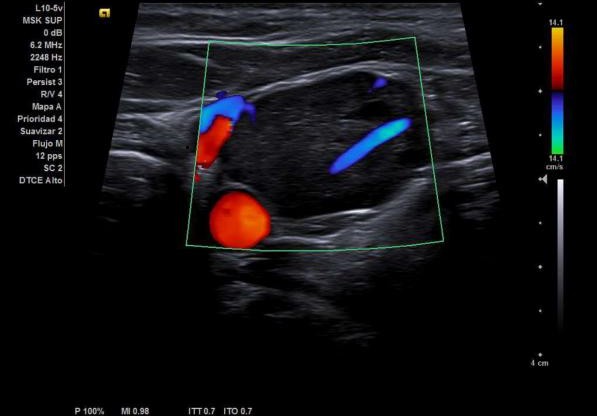
Exploración física: masa supraclavicular izquierda de unos 2-3 cm de diámetro, de consistencia gomosa, adherida a planos profundos y no dolorosa a la palpación.
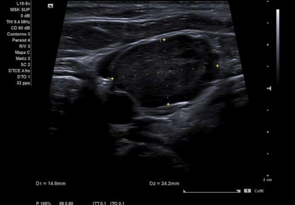
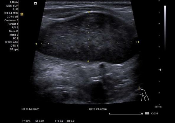
Hallazgos ecográficos
Dada la clínica y la exploración física, se decide realizar ecografía clínica en el Centro de Salud, con los siguientes resultados:
Pruebas complementarias
Se solicita análisis de sangre completo, TC de cuello preferente, PAAF de la lesión y se deriva también de forma preferente a Otorrinolaringología (ORL), con cita en consultas en 4 días.
Juicio clínico, diagnóstico diferencial, concordancia con el hospital (en su caso)
En consultas de ORL se realiza fibrobroncoscopia: Orofaringe normal, mínimo fibroma izquierdo. Lechos amígdalas normales, no lesiones faríngeas ni pararretrofaringeas.
Nuestro diagnóstico diferencial puede ser:
Tratamiento, planes de actuación
Desde ORL adelantan PAAF, que se realiza en 3 días, obteniendo el siguiente resultado: linfoma B de bajo grado, pendiente de BAG definitiva.
Derivan a Hematología y solicitan PET-TC para evaluar la extensión.
Se le explica a la paciente que el tratamiento recomendado para el linfoma de células B de bajo grado depende del estadio, la carga tumoral y la sintomatología, aunque insistimos en que le explicará de forma más detallada sobre la enfermedad en Hematología.
Evolución
La paciente se encuentra asintomática, a la espera de ser valorada por Hematología y pendiente del estudio de extensión, para determinar finalmente si se adopta una estrategia terapéutica (wait and watch) u otra (tratamiento con quimioterapia).
Este caso, destaca la importancia de la ecografía en la evaluación inicial de las tumoraciones cervicales en Atención Primaria. La identificación temprana de lesiones con características ecográficas de malignidad, como los procesos linfoproliferativos (entre ellos el linfoma), es clave para un tratamiento oportuno y mejora del pronóstico.


