V Jornadas de Ecografía de la semFYC

9 y 10 de febrero de 2024

Comunicaciones: Casos clínicos

Valor de la ecografía en el abordaje inicial del dolor torácico y disnea (póster)

Ámbito del caso

Urgencias hospitalarias.

Motivos de consulta

Dolor centro-torácico opresivo, en región inferior de costado derechoy disnea de moderados esfuerzos de 2 semanas de evolución.

Historia clínica

Enfoque individual

AP: Mujer, 39 años. Obesidad grado I. Tratamiento con anticonceptivos orales.
EF: TA 139/89 mmHg, FC 85 lpm, SatO2 basal 94%, Tª 36ºC. Consciente y orientada en las 3 esferas. NC, NH, NP. Eupneica en reposo y sin tiraje. ACP normal, abdomen y MMII sin alteraciones.

Hallazgos ecográficos

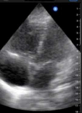
  • Ecocardiografía: VD aumentado de tamaño e hipoquinético, AD dilatada. Mínimo Mc. Connell. PEC aplanamiento del septo interventricular en diástole. TAPSE 22 mm.
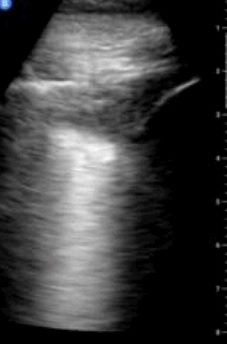
  • Ecografía pulmonar: 3 consolidaciones en cara posterior de hemitórax derecho (PD4-PD6), una de ellas triangular en base derecha periférica, sin broncograma, sugerente de infarto pulmonar. El resto oligonales sin broncograma.
  • Ecografía MMII: Sin datos de TVP ni TVS.

Pruebas complementarias

  • ECG: Ondas T negativas V1-V4. 
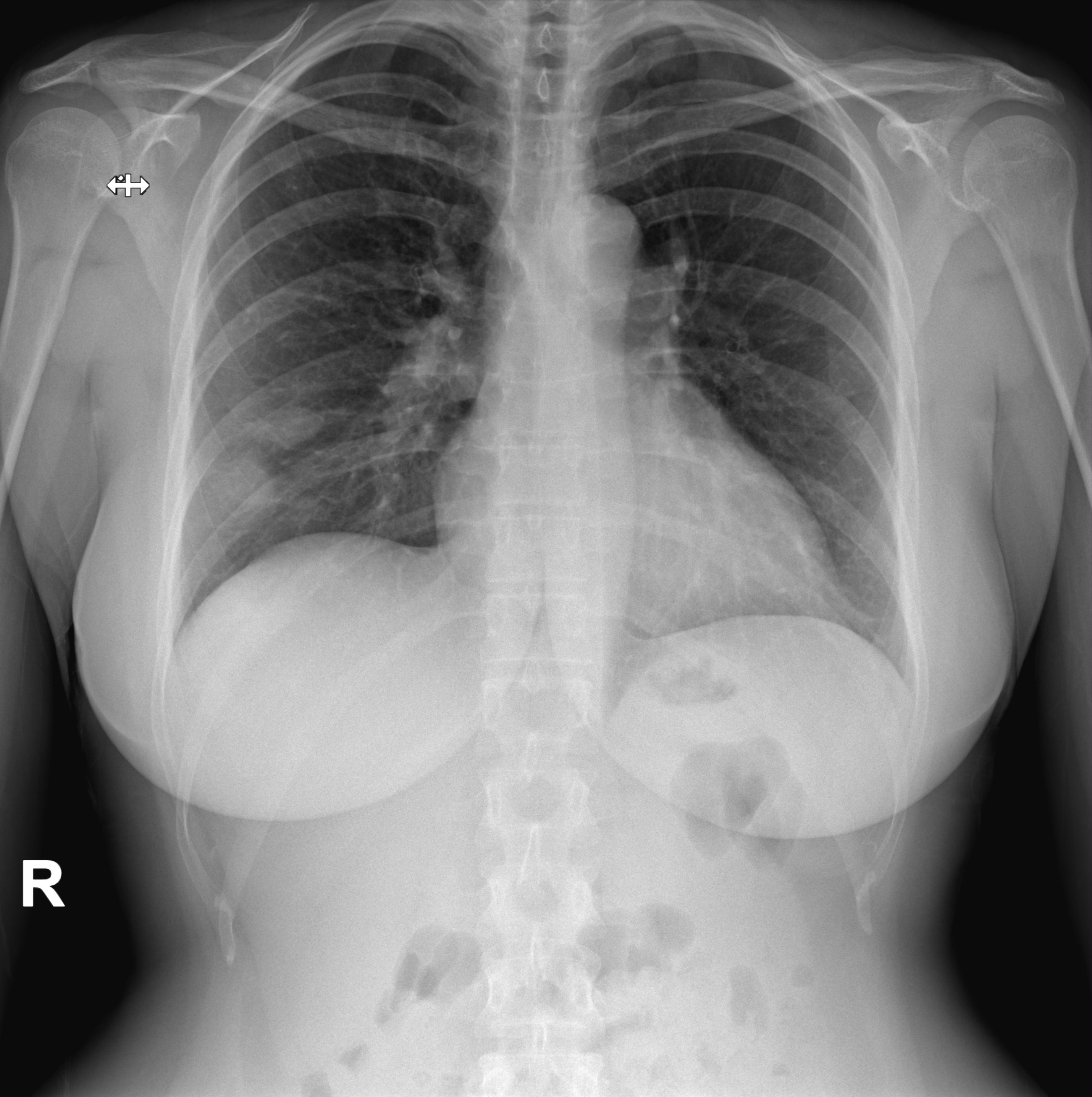
  • Rx tórax: Presencia de dos imágenes hipodensas en parénquima pulmonar derecho (LID). No derrame pleural.
  • Analítica: Hb 9,8 mg/dl., VCM 72. Dímero D 2080. Función renal normal. Perfil hepático normal. Pro BN 4510. Resto normal.
  • Angio-TAC: TEP bilateral masivo con trombo acabalgado en arterias pulmonares principales, y signos de sobrecarga derecha. Infartos pulmonares en LID. Dilatación de VD en región apical.

Juicio clínico, diagnóstico diferencial, identificación de problemas

  • TEP bilateral masivo, PESI 56, riesgo intermedio, secundario a la toma de anticonceptivos orales.
  • Sobrecarga de cavidades derechas, con probable hipertensión pulmonar asociada.

Tratamiento y planes de actuación

  • Se interconsultó a UCI, quien desestimó fibinolisis e ingreso a su cargo.
  • Se ingresó en Medicina Interna, con pauta de enoxaparina subcutánea 80 mg cada 12 h.

Evolución

  • Durante el ingreso, se le realizó ecocardiograma reglado con hallazgos de sobrecarga leve de cavidades derechas e hipertensión pulmonar probable.
  • La paciente evolucionó favorablemente. Al alta, se pautó tratamiento con acenocumarol y suspensión de anticonceptivos orales.

Conclusiones (y aplicabilidad para la Medicina de Familia)

  • La ecografía clínica, en cualquier punto de la atención médica, es una herramienta fundamental que complementa y completa a la anamnesis y exploración física, lo que facilita y agiliza la toma de decisiones.
  • Nos permite emitir un diagnóstico aproximado, de forma rápida, sencilla, inocua y eficiente a pie de cama del paciente, incrementando así nuestra sensibilidad y especificidad.
  • La ecocardiografía es útil como marcador de gravedad para reconocer signos de sobrecarga de cavidades derechas.


Comunicaciones y ponencias semFYC: 2026; Comunicaciones: Casos clínicos. ISSN: 2339-9333

Autores

Serrano López, Marisol
Hospital General La Mancha Centro. Alcázar de San Juan