5, 6 y 7 de febrero de 2026
Atención Primaria derivada a urgencias.
Dolor abdominal.
Enfoque individual
Paciente de 79 años acude a centro de salud por dolor abdominal en hipocondrio derecho y epigastrio con vómitos y febrícula 37 ºC de 3 semanas de evolución. Refiere que comenzó de forma súbita e intensa y que ha ido controlando con analgesia.
Exploración física: TA: 154/59 mm Hg; FC 80 lmp. Sat O2 96 %; BEG, febrícula 37 °C, consciente, orientada, estable hemodinámicamente, Abdomen blando y depresible, globuloso, doloroso en hipocondrio derecho y epigastrio, sin defensa ni signos de irritación peritoneal, signo de Murphy positivo.
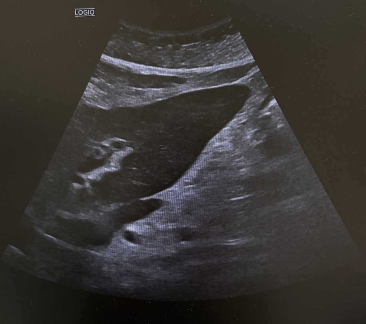
Ecografía en el centro de salud: Vesícula biliar con presencia de litiasis en su interior, distendida y engrosada. Murphy ecográfico positivo.
Desde el centro de salud, con la exploración y los hallazgos de ecografía nos orientó a colecistitis aguda litiásica por lo que se decidió traslado a urgencias para realización de analítica, ecografía por radiólogo y valoración por cirugía general.
Analítica en urgencias
Gasometría: pO2: 21; PH: 7,366; PCO2: 46,4 mm Hg ; Na +: 137,4 mmol/L; Lac: 1,91 mmol/L; K+: 5,03 mmol/L; Cl-: 99 mmol/L; HCO3-: 26 mmol/L; Cat+: 4,6 mmol/l. Analítica: Cr 1.22, PCR 23, Hb 11, 17300 leucocitos 83% de neutrofilia, coagulación normal.
Enfoque familiar y comunitario
En nuestro día a día vemos paciente con síntomas digestivos similares con este caso, por lo que tenemos que saber diferenciar patología urgente de la que puede ser tratada de forma ambulatoria.
Juicio clínico, diagnóstico diferencial, identificación de problemas
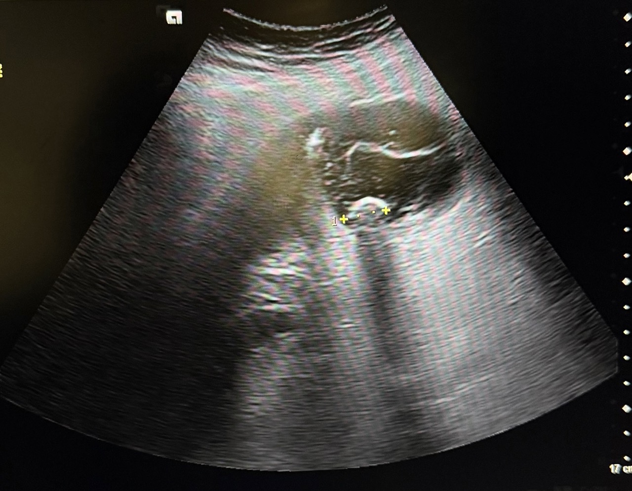
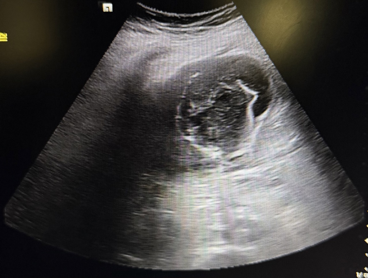
La analítica junto con ecografía de urgencias coincidió con hallazgos observados en la ecografía del centro de salud, confirmando así colecistitis aguda evolucionada.
Tratamiento y planes de actuación
Se ingresó en cirugía general para colecistectomía.
Evolución
La paciente evolucionó favorablemente.
Desde el punto de vista de la medicina de familia resalta la necesidad de anamnesis detallada con exploración física completa ante síntomas prolongados para evitar atribuirlos únicamente a procesos banales o digestivos inespecíficos. Es importante la buena realización de la exploración con identificación de signos clínicos clásicos como Murphy positivo que nos orientó en la sospecha diagnóstica.
Destacar la utilidad de la ecografía realizada en centro de salud, ya que mejora nuestra capacidad resolutiva del primer nivel asistencial optimizando las decisiones y derivaciones más eficientes.



