X Jornadas de Actualización en Medicina de Urgencias y VI Jornadas de Ecografía de la semFYC
6-7-8 de febrero de 2025
Atención Primaria.
Paciente 57 años. Hace dos días, nota hinchazón de piernas y abdomen con debilidad generalizada.
Antecedentes personales relevantes, anamnesis, exploración física y lugar que ocupa en ella la ecografía
Fumador 1,5 paq/día. OH 8-10 UBE/día.
Hipercolesterolemia.
Cardiopatía isquémica: IAM anterior.
Un mes antes de la consulta realizamos analítica:
Anemia megaloblástica por déficit de ácido fólico.
Hepatitis alcohólica.
Desnutrición por malabsorción y dieta deficitaria.
Anamnesis/Exploración física: Pirosis y dificultad para tragar (solo toma líquidos). Parestesias en manos y piernas. Marcha lenta, con base de sustentación amplia. Parestesias en manos y piernas.
Ictericia conjuntival. Aspecto general deteriorado.
Aumentó 10 kg del peso habitual.
Ausc respiratoria: hipofonesis de base derecha.
Ausc. cardíaca: rítmica.
Abdomen distendido, sin megalias. Palpación sin signos irritativos.
Edemas maleolares bilaterales.
Edema escrotal.
Tenemos la suerte de disponer de ecografía POCUS.
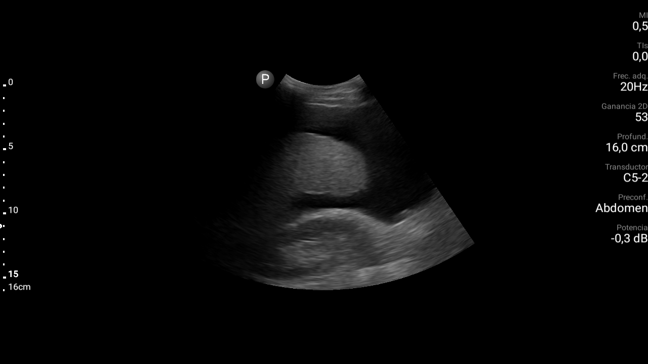
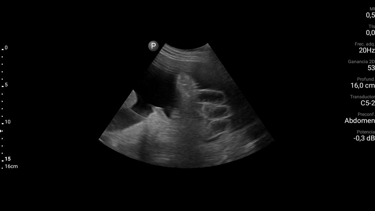
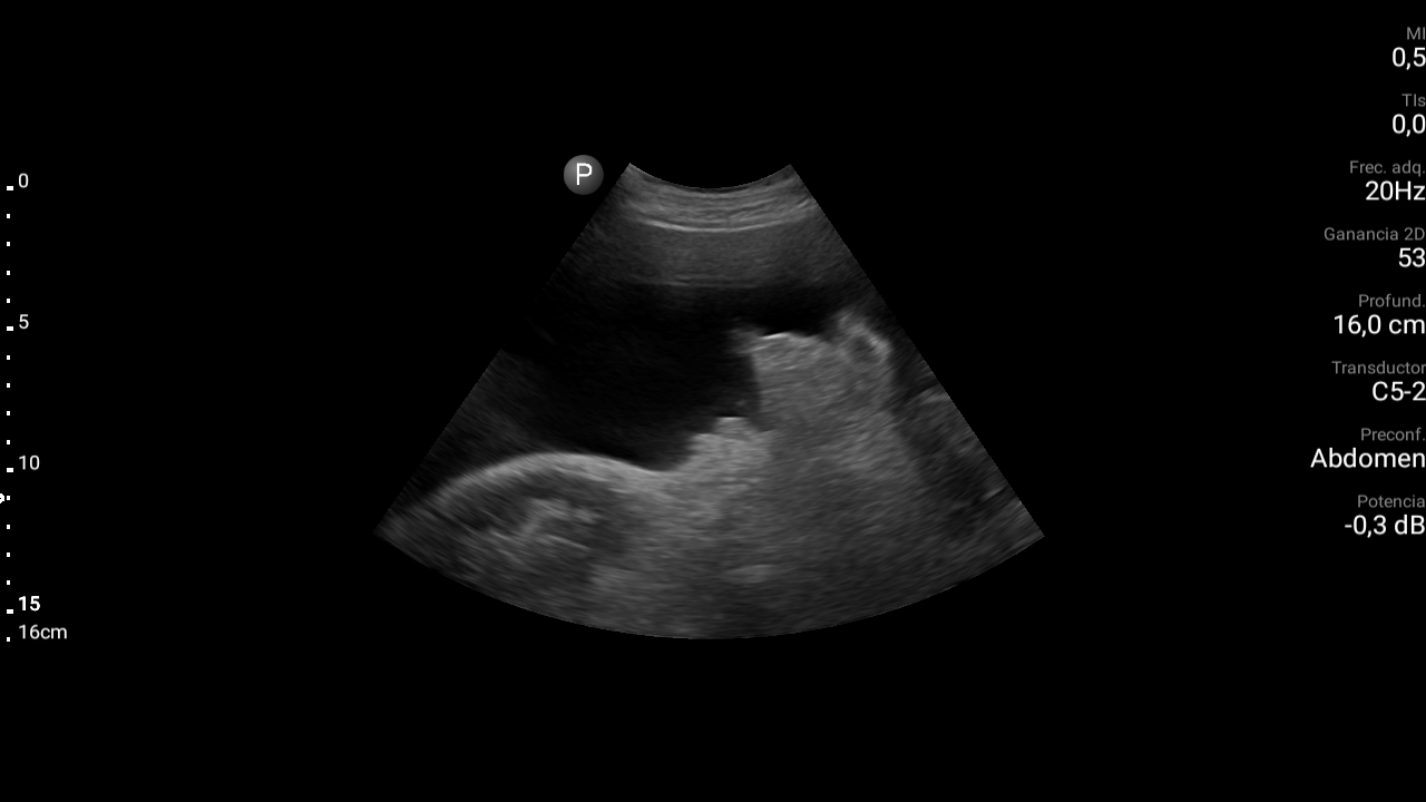
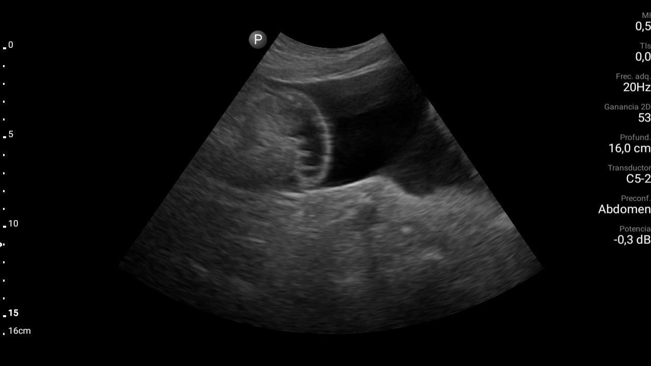
Descripción de los hallazgos ecográficos y las imágenes más relevantes para la resolución del caso
Presencia de ascitis perihepática, periesplénica. En la pelvis se visualizan asas intestinales con aspecto congestivo.
Hígado parcialmente visualizado esteatósico sin lesiones focales.
Derrame pleural bilateral moderado.
Otras pruebas complementarias realizadas (si existen)
La dificultad para utilizar la vía oral y el deterioro general indican derivación urgente al hospital.
TC abdominal: Estigmas de hepatopatía severa (hígado de bordes nodulares e hipertrofia del lóbulo caudado) Ascitis peritoneal. Aspecto congestivo asas de delgado. Estigmas de hipertensión portal con circulación colateral destacando presencia de varices rectales. Derrame pleural bilateral
FGS: Anillo de Schatzki no estenosante. Esofagitis por reflujo grado C. Gastritis erosiva.
Paracentesis: 2 litros de líquido ascítico sin criterios de peritonitis bacteriana espontánea.
Analítica: desnutrición grave (alb 2,29, prealb 3,29, colesterol 70, K 3 Mg 0,88)
Juicio clínico, diagnóstico diferencial, concordancia con el hospital (en su caso)
Dx diferencial ascitis:
Hipoalbuminemia.
Sd cardiorenal descompensado.
Hepatopatía crónica descompensada.
OD) Descompensación hepática por enolismo crónico. Ascites. Polineuropatía alcohólica
Decisiones adoptadas: tratamiento, planes de actuación
Tratamiento deplectivo: espironolactona y furosemida
Suplementación alimentaria: Hidroxil, Ácido fólico, Vitamina D+calcio, proteína.
Abstinencia total de alcohol y tabaco.
Evolución y seguimiento
Baja laboral.
Disminución poderal, sin edemas maleolares ni ascites.
Recuperación de dieta habitual.
No acepta derivación al Centro de atención a Drogodependencias pero se mantiene abstinente.
En el medio rural, en consulta o en el domicilio del paciente, donde la actuación sanitaria se desarrolla en solitario, la disponibilidad de la tecnologia Point of care ultrasonography (POCUS) se hace imprescindible. La orientación diagnóstica para casos urgentes se facilita enormemente. Su aplicación sobre todo en ecografía abdominal, pulmonar y eco FAST nos brinda una amplia gama diagnóstica. No debería ser un lujo que el ultrasonido se acerque al paciente.



