X Jornadas de Actualización en Medicina de Urgencias y VI Jornadas de Ecografía de la semFYC
6-7-8 de febrero de 2025
Atención Primaria.
Enfoque individual: antecedentes personales, anamnesis, exploración, pruebas complementarias, etc.
Mujer de 33 años de edad sin alergias ni hábitos tóxicos, discapacidad intelectual con epilepsia, hipoidismo. En tratamiento: Eslicarbamazepina 800 mg/24 h, Prociclina 2,5 mg/8 h, Clozapina 300/24 h.
Acude a consulta por dolor abdominal de 1 día de evolución «como pinchazos» sin náuseas ni vómitos. No diarrea. Afebril. No síndrome miccional
BEG, TA: 110/62 mmHg, 70 lpmFR: 24 rpm Tª: 36 ºC
Abdomen blando y depresible, dolor fosa ilíaca derecha (FID) sin clara defensa, murphy negativo, peristaltismo presente.
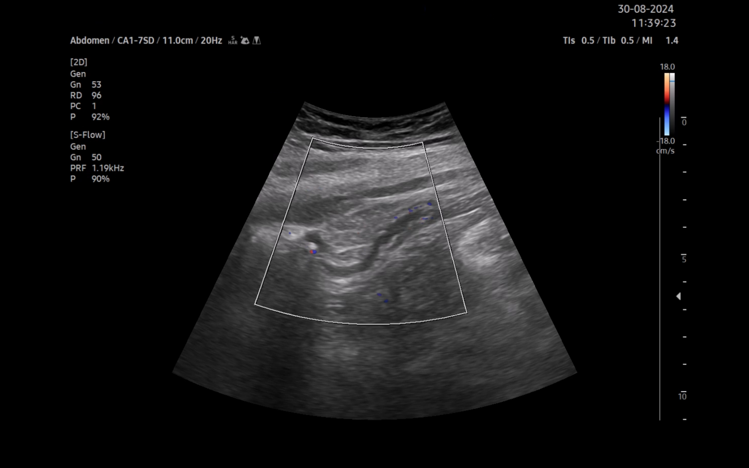
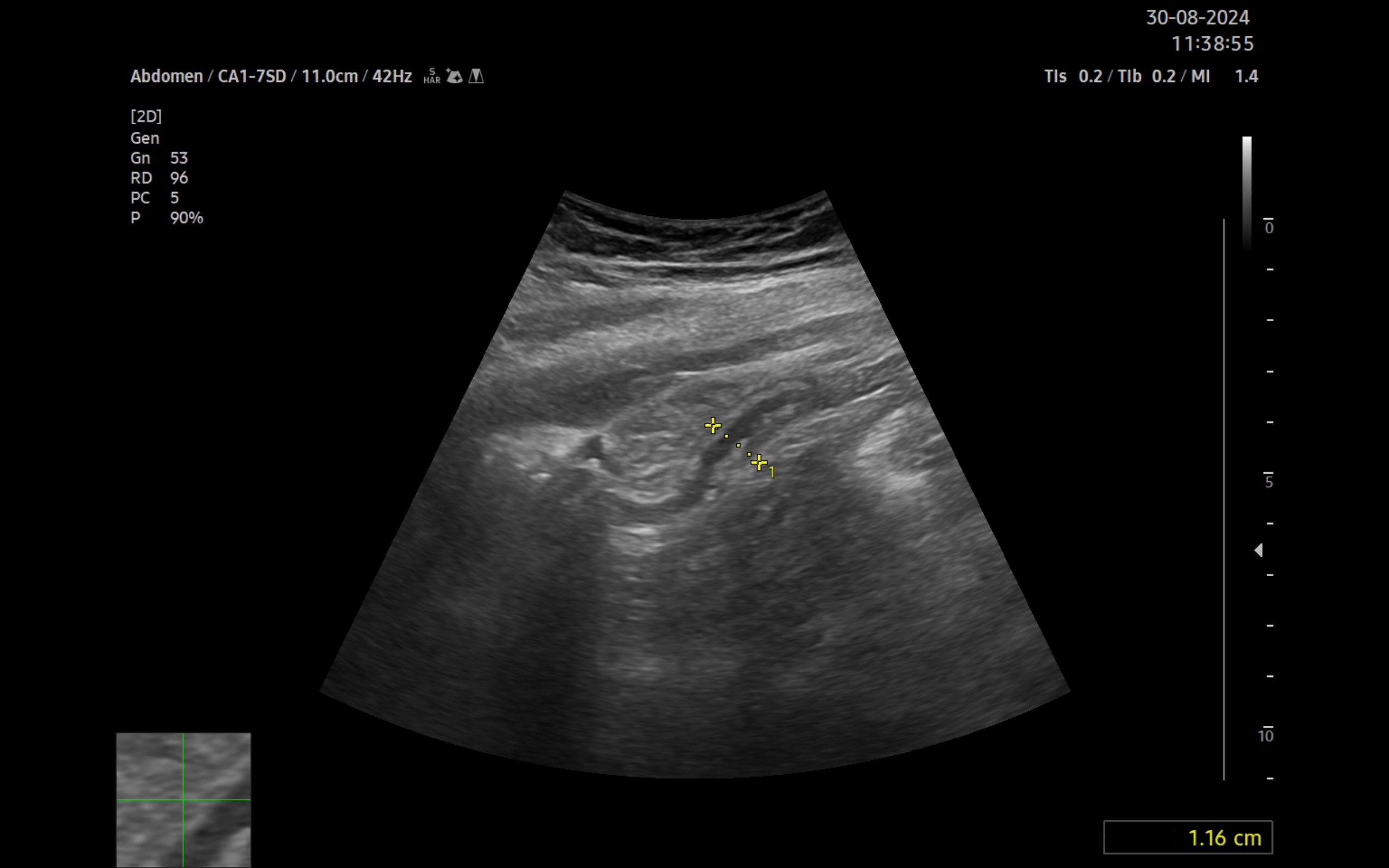
Ecografía clínica:
Imagen hiperecogénica con sombra en interior de vesícula biliar, hígado, páncreas, bazo y riñones sin alteraciones, vejiga orina poco replecionada. Llama la atención mínima imagen anecogénica en fondo de saco de Douglas. Apéndice visible en fid con diámetro 1,07 cm con captación aumentada con apendicolito con fenómeno centelleo.
Enfoque familiar y comunitario: estudio de la familia y la comunidad (si fuese necesario)
No procede.
Juicio clínico, diagnóstico diferencial, identificación de problemas
Apendicitis aguda + Colelitiasis.
Ante un dolor abdominal en hipocondrio derecho con náuseas nos plantearemos la colelitiasis; si presentase además fiebre y murphy positivo, colecistitis. Ante un dolor en fid, nos plantearemos el diagnóstico de apendicitis aguda, variando la clínica según la localización del apéndice. También a tener en cuenta la patología ovárica.
Tratamiento y planes de actuación.
Remitida a urgencias hospitalarias con diagnóstico de Apendicitis Aguda. Confirmados los hallazgos ecográficos por radiología, se pautó antibioterapia con apendicectomía quirúrgica.
Evolución
Buena evolución posterior.La ecografía complementa la anamnesis y la exploración física. A día de hoy está disponible en la mayoría de centros de salud. En el caso concreto de la paciente, la discapacidad intelectual limitó la información obtenida de la entrevista. Ante la detección de un apéndice con diámetro mayor de 6 mm, no compresible, captación aumentada y apendicolito, se ha podido diagnosticar el proceso.



