X Jornadas de Actualización en Medicina de Urgencias y VI Jornadas de Ecografía de la semFYC
6-7-8 de febrero de 2025
Atención Primaria.
Antecedentes personales relevantes, anamnesis, exploración física y lugar que ocupa en ella la ecografía
Cólico renoureteral izquierdo hace 1 año con litiasis renal y ureterovesical.
Mujer de 53 años que consulta por dolor abdominal en flanco derecho irradiado a región inguinal y fosa lumbar ipsilateral desde 1 semana, afebril y hematuria franca actual. Ante la persistencia de episodios de dolor en flanco dcho que irradia hacia zona renal dcha y algo a FID, sin expulsión de cálculos urinarios se repite la ecografía.
EF: Puñopercusión renal dcha +/-
Descripción de los hallazgos ecográficos y las imágenes más relevantes para la resolución del caso
Ecografía clínica abdominal 1ª: hígado de ecoestructura y tamaño normal. Vesícula biliar alitiásica. Riñón derecho con quiste simple en polo inferior de 2,5 cm conocido previamente. No nefrolitiasis ni hidronefrosis con jet ureteral bilateral normales.
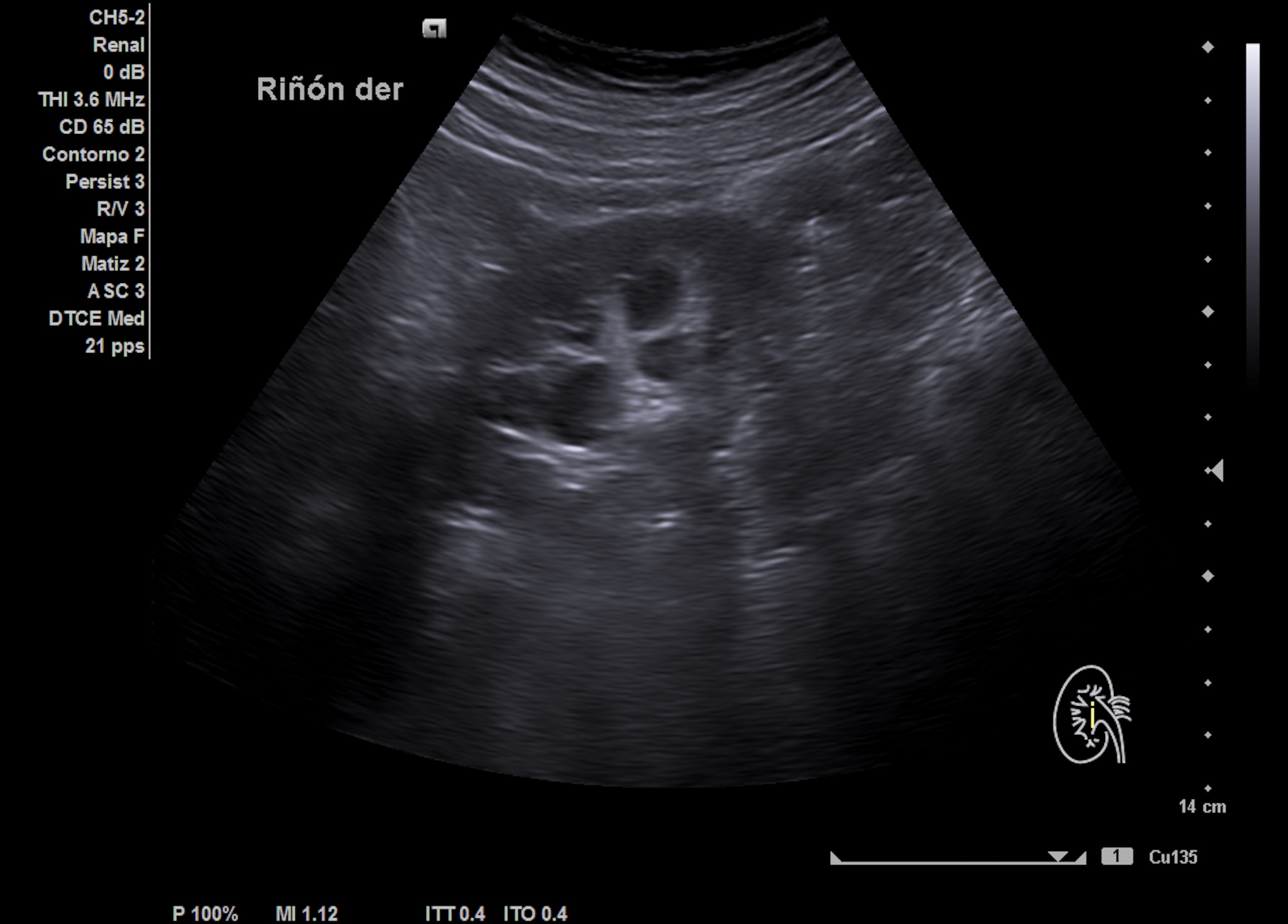
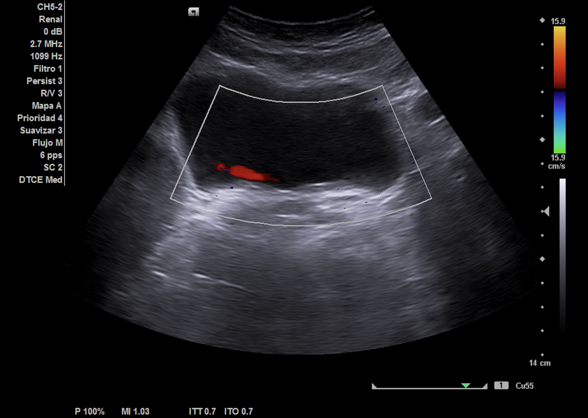
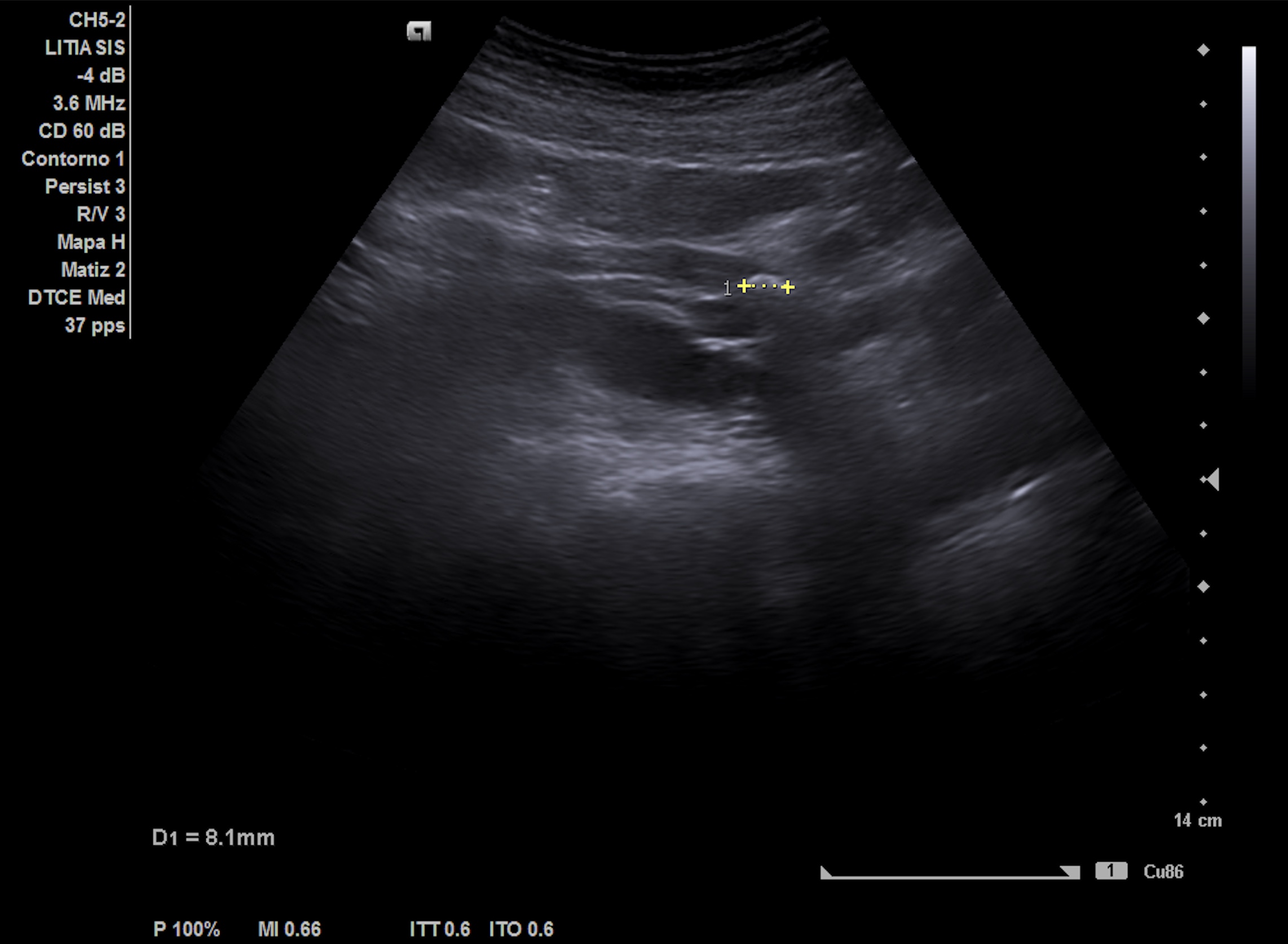
Nueva ecografía clínica renal, vías urinarias y vejiga (a la semana): hidronefrosis grado II que no presentaba hace 1 semana, no nefrolitiasis en cálices renales. Jet ureteral dcho permeable, en zona intermedia de uréter dcho presenta cálculo de 8 mm enclavado en el cruce de los vasos ilíacos con uréter.
Otras pruebas complementarias realizadas (si existen)
Bioquímica con perfil renal normal. Hemograma normal, leucocituria 5-10, nitritos negativos, hemoglobinuria 20 eri /uL.
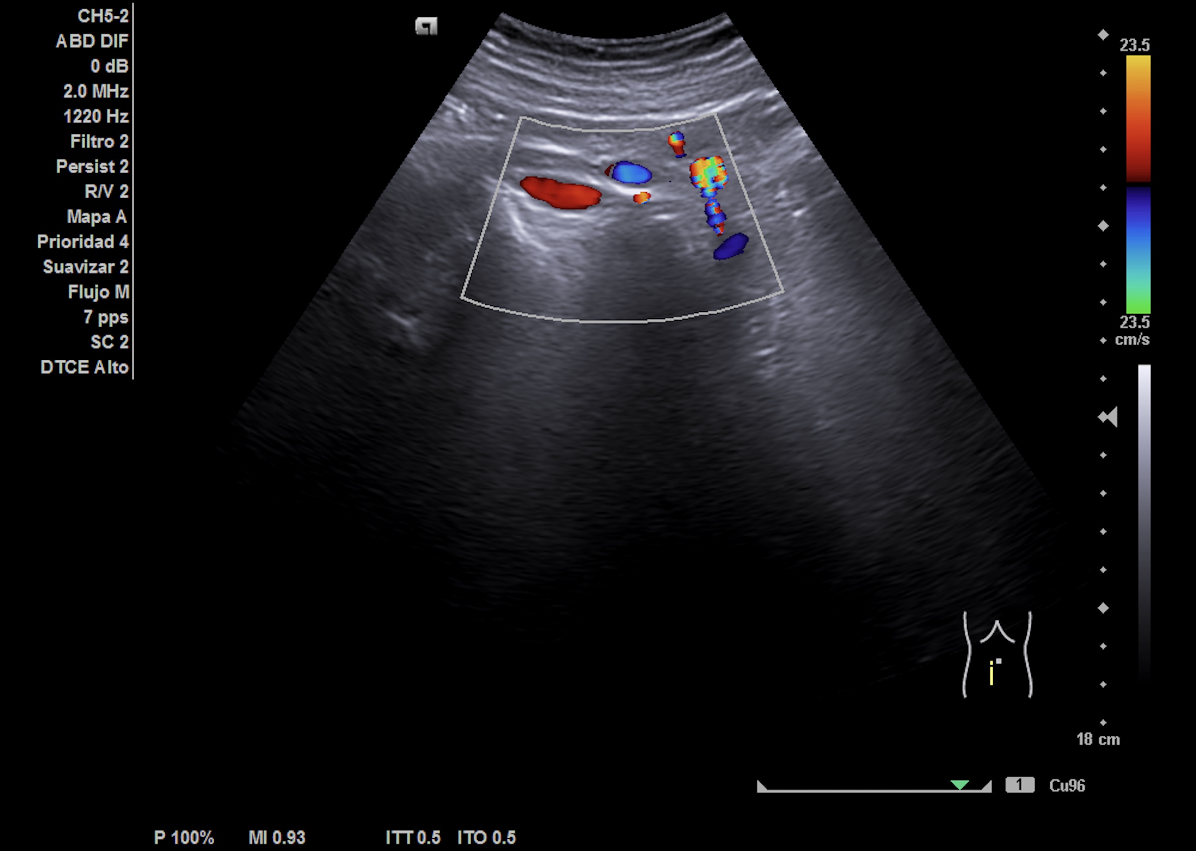
Ecografía abdominopélvica urgencias hospital: Ureterohidronefrosis grado II derecha secundaria a litiasis de 7 mm en el uréter medio. Quiste cortical simple de 2.6 cm en el polo inferior.
Juicio clínico, diagnóstico diferencial, concordancia con el hospital (en su caso)
Cólico renoureteral derecho por ureterolitiasis con hidronefrosis grado II con concordancia con el hospital.
Decisiones adoptadas: tratamiento, planes de actuación
Se remite a urgencias del Hospital de referencia con analgesia previa y tamsulosina.
Evolución y seguimiento
Citan en consulta externa con urología en 1 mes.
Durante este intervalo de tiempo hemos realizado controles ecográficos semanales para controlar la evolución de la hidronefrosis, ureterorrenoscopia derecha + colocación de catéter doble J por urología a los 2 meses y resolución de la litiasis ureteral derecha con TAC de control.
La ecografía es una técnica diagnóstica fundamental para el médico de familia, en escenarios clínicos como los cólicos renoureterales, tanto en el diagnóstico de confirmación de litiasis como sus posibles complicaciones.
El valor de la ecografía de las complicaciones de la litiasis renoureteral mejora su progresión con el seguimiento en Atención Primaria.



