5, 6 y 7 de febrero de 2026
Enfoque individual
Mujer de 30 años, sin hábitos tóxicos, antecedente de labio leporino. Consulta por masa cervical izquierda de un mes de evolución y crecimiento progresivo. Inicialmente, refirió dolor tipo muscular en la zona, manejado con fisioterapia por privado sin éxito.
Exploración física: tumoración de aproximadamente 5 x 2 cm de consistencia pétrea, adherida a planos profundos y no móvil, localizada sobre el músculo esternocleidomastoideo.
Ante sospecha clínica de malignidad se realiza ecografía.
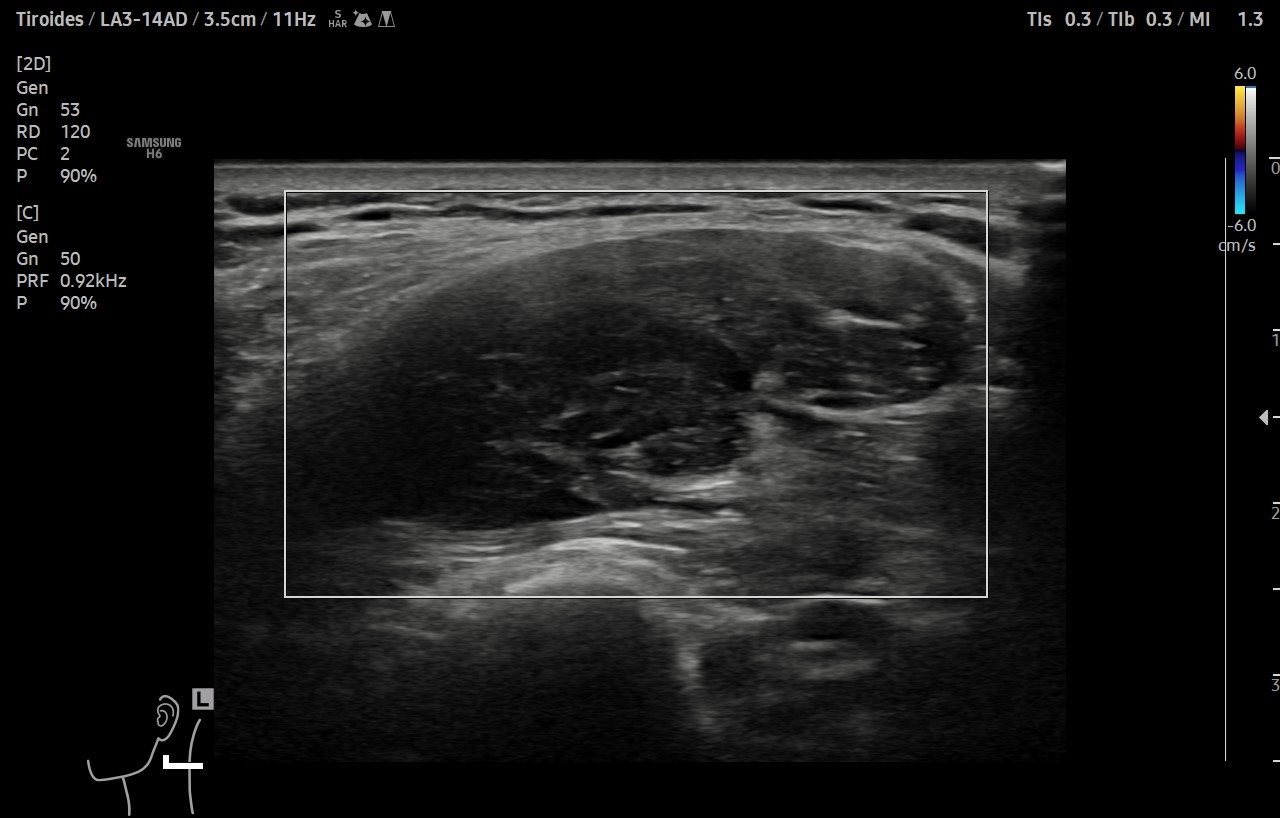
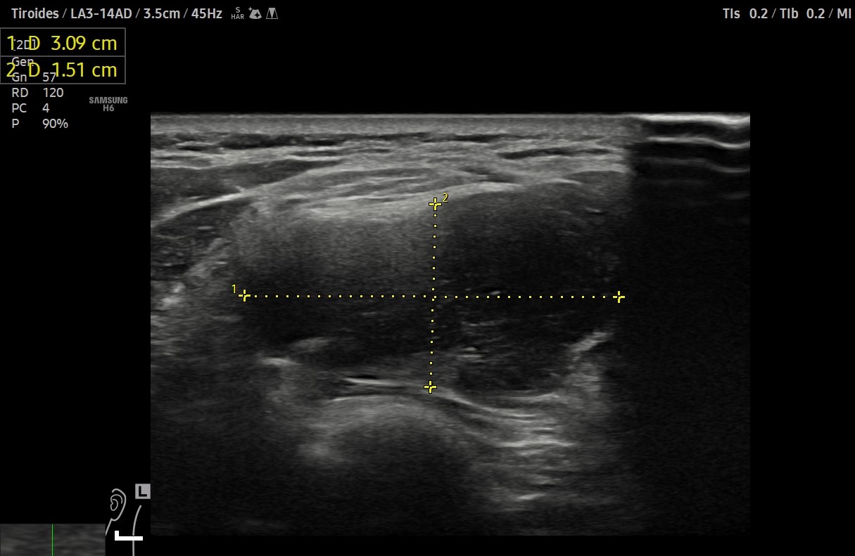
Hallazgos ecográficos
Ecografía clínica de cuello: objetivando en cara lateral izquierda una imagen hipoecogénica, lobulada, heterogénea y vascularizada al Doppler, de aproximadamente de 3 cm, con apariencia de depender de la capa muscular. Adicionalmente, se detectó un nódulo tiroideo izquierdo con microcalcificaciones, aunque la TSH era normal.
Pruebas complementarias
Body TAC confirmó una masa sólida, bien definida y heterogénea de 3,1 x 2,4 x 2,1 cm, de naturaleza sólido-vascular, sin metástasis a distancia evidentes.
Punción con aguja fina (PAFF/ biopsia) con inmunohistoquímica reveló una neoplasia maligna de probable origen mesenquimal, positiva para vimentina y actina, y negativa para marcadores epiteliales y hematológicos.
Juicio clínico, diagnóstico diferencial, concordancia con el hospital (en su caso)
El diagnóstico principal fue de Sarcoma de alto grado indiferenciado con estroma mixoide.
Diagnóstico diferencial: Linfoma no Hodgkin, Carcinoma anaplásico de tiroides y otros sarcomas (Sinovial, Rabdomiosarcoma, Mixofibrosarcoma, Fibrosarcoma, Ewing extraesquelético y angiosarcoma).
Tratamiento, planes de actuación
Se trasladó al Centro de Referencia/Unidad especializada en Sarcomas, donde se realizó una resección total del tumor con márgenes negativos.
Evolución
La paciente quedó pendiente de valoración para completar el tratamiento con radioterapia adyuvante.La ecografía es una herramienta de valor incalculable en el diagnóstico y manejo inicial de los tumores de partes blandas en atención primaria. Permite diferenciar lesiones sólidas de quísticas y, crucialmente, establecer la profundidad y tamaño de la masa. Ayuda a identificar criterios de alarma como el tamaño, la localización profunda y la heterogeneidad, que son indicativos de una mayor probabilidad de malignidad, permitiendo una derivación temprana y prioritaria al nivel especializado.
La ecografía en Atención Primaria acorta el tiempo de espera para la primera prueba de imagen, optimizando el flujo del paciente y evitando demoras innecesarias.



