X Jornadas de Actualización en Medicina de Urgencias y VI Jornadas de Ecografía de la semFYC
6-7-8 de febrero de 2025
Atención Primaria
Edema unilateral pie con disnea y dorsalgia.
Antecedentes personales relevantes, anamnesis, exploración física y lugar que ocupa en ella la ecografía
Hombre de 62 años de edad con alergia a Pirazolonas, no hábitos tóxicos, dislipemia, apnea del sueño,
Acude a consulta por edema pie derecho de 1 mes de evolución y disnea de 1 día con dorsalgia derecha. Afebril. Valorado en Hospital hace 48 h por dorsalgia, realizada Rx Lumbar y tratado con AINE.
Descripción de los hallazgos ecográficos y las imágenes más relevantes para la resolución del caso
TA:142/75, 73 lpm FR:18rpm, SatO2:99% aire ambiente con caida de la saturación en decubito supino hasta 94%. Sin soplos ni ruidos respiratorios patológicos. Edema pie derecho con fovea hasta tobillo.
Otras pruebas complementarias realizadas (si existen)
ECG: Ritmo sinusal a 72 lpm. Eje normal, sinalteraciones en la repolarización.
Eco Pulmonar: slidding pleural presentwe, lineas A, no aprecio lineas B ni derrame pleural.
EcoCardioscopia: contractilidad preservada sinvalvulopa tías ni aumento de cavidades derechas.
Eco Venosa: no colapso de vena poplítea derecha con signo de la oleada (-).
Juicio clínico, diagnóstico diferencial, concordancia con el hospital (en su caso)
Trombosis Venosa Profunda (TVP) Poplítea con sospecha de Embolismo Pulmonar (EP)
El edema unilateral de una extremidad debe estudiarse siempre. Si fuera bilateral nos plantearemos la insuficiencia venosa crónica, con clínica compatible; si fueran por insuficiencia cardíaca, se acompañarían de disnea, ortopnea, crepitante y otros hallazgos. Si existe aumento de temperatura, calor y dolor nos plantearemos la celulitis.
Decisiones adoptadas: tratamiento, planes de actuación
Remitido a urgencias hospitalarias con orientación diagnóstica de TVP con sospecha de TEP.
Evolución y seguimiento
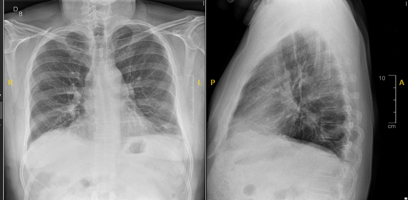
En urgencias: dimero D elevado 818 mg/dL con gasometría arterial con pO2 78,5 mmHg y pCO2 36,2 mmHg. Confirman los hallazgos de la trombosis pero no realizan pruebas complementarias de imagen en relación al EP. En tratamiento con HPBM Enoxaparina 100 mg /12 h(12/22) con control por parte de Hematología quién en el control al més se sorprende de la no realización de mas pruebas complementarias.
Si bién la ecografía permite el diagnóstico y seguimiento de la TVP desde Medicina de Familia, en este caso con dorsalgia derecha, disnea y caída de la saturación de O2 en decúbito, se deriva a Hospital por sospecha de EP. La gasometría arterial no descarta la presencia de EP. Un AngioTAC confirmaría o no la EP, importante para el diagnóstico y seguimiento del paciente.



