X Jornadas de Actualización en Medicina de Urgencias y VI Jornadas de Ecografía de la semFYC
6-7-8 de febrero de 2025
Enfoque individual: antecedentes personales, anamnesis, exploración, pruebas complementarias, etc.
Mujer de 34 años sin antecedentes medicoquirúrgicos de interés. Valorada hace 6 días por clínica compatible con cólico renal. Acude por persistencia de dolor en región de flanco y fosa inguinal derecha. Distermia no termometrada. Fecha de última regla hacía 10 días. Además refiere disuria y algún vómito alimentario aislado.
En la exploración se encuentra afebril, estable hemodinámicamente. El abdomen presenta dolor en flanco y fosa inguinal derecha sin irritación peritoneal, puño percusión renal negativa.
En el análisis de sangre no presenta elevación de reactantes de fase ni alteración reseñable. En orina presentaba microhematuria. Se amplió test de embarazo que fue positivo.
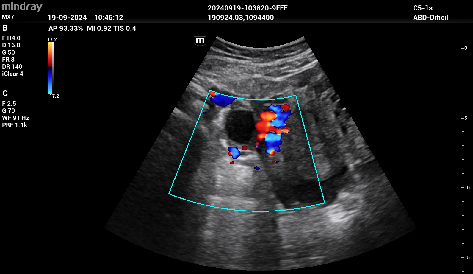
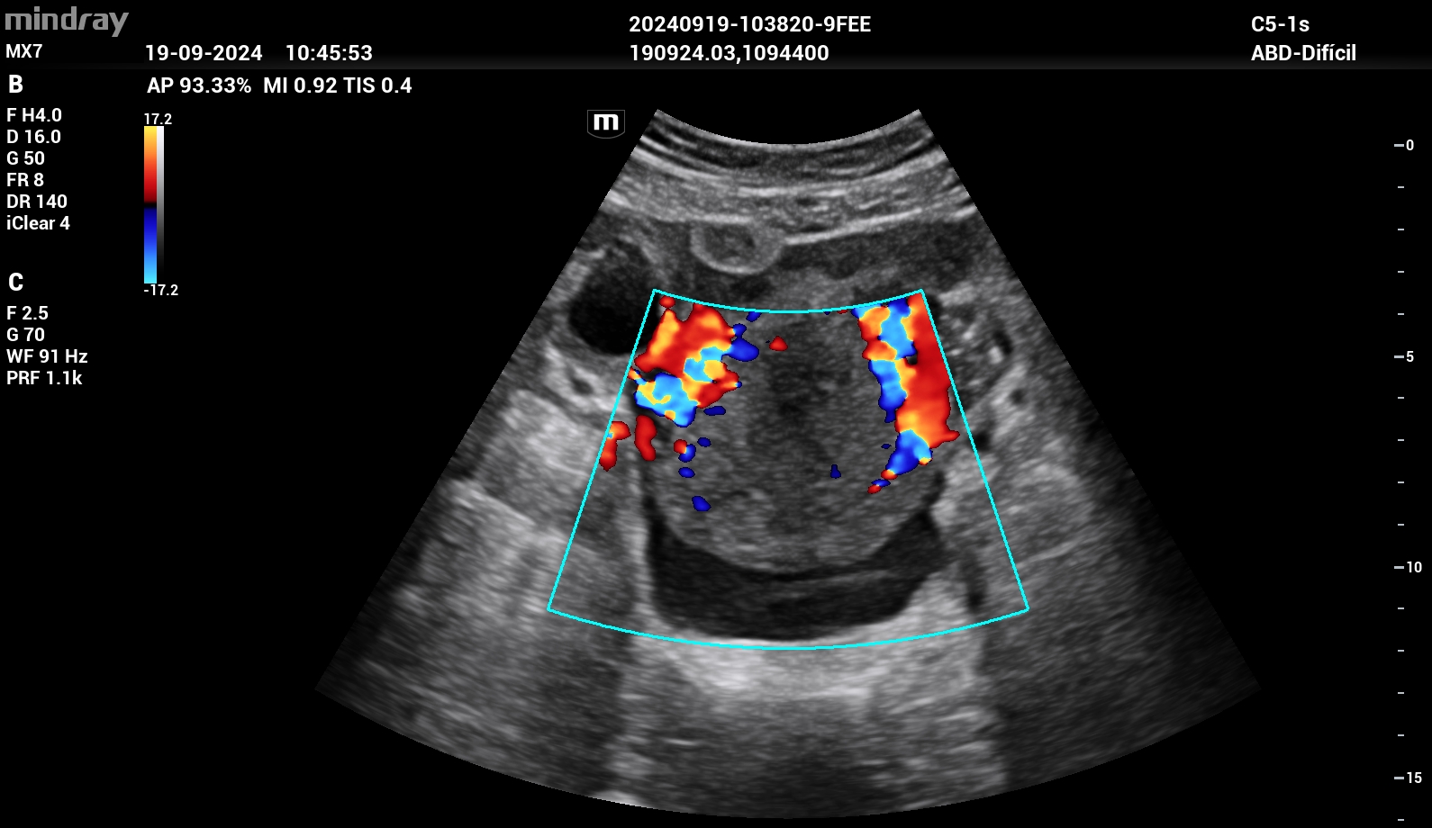
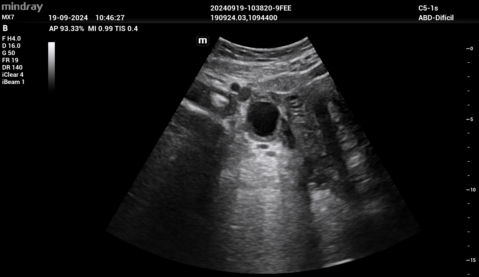
Se realizó ecografía clínica donde se objetivó líquido libre intraabdominal en espacio de Douglas. Útero en anteversión sin vesícula gestacional en interior. En región paraovárica derecha presentaba imagen ecomixta de 40 x 31 mm sugestiva de embarazo ectópico.
Juicio clínico, diagnóstico diferencial, identificación de problemas
Ante la reconsulta de la paciente y persistencia de dolor abdominal se decidió descartar gestación, siendo positivo el test de embarazo. Después de amplió gonadotropina coriónica con niveles de 475 U/L plasmáticos. Por lo que no se trataba de un cólico renal como impresionaba inicialmente.
Tratamiento y planes de actuación
Se le puso analgesia intravenosa y se solicitó valoración por ginecología.
Evolución
Tras confirmar que se trataba de una gestación ectópica, se realizó salpinguectomía derecha por laparoscopia sin incidencias y buena evolución.La paciente reconsultó por mala evolución. Esto planteó ampliar pruebas complementarias y ante la presencia de test de embarazo se realizó ecografía clínica a pie de cama. Permitiendo mayor agilidad en el diagnóstico y tratamiento definitivo.



