5, 6 y 7 de febrero de 2026
Enfoque individual
Varón de 66 años exfumador, con hipertensión secundaria por nódulo suprarrenal intervenido, enfermedad arterial periférica conocida con bypass eeii.
En el contexto de un estudio urológico por sintomatología tracto urinario inferior (STUI) y PSA elevado, se realiza ecografía clínica sistemática. Sin hallazgos reseñables a la exploración.
Hallazgos ecográficos
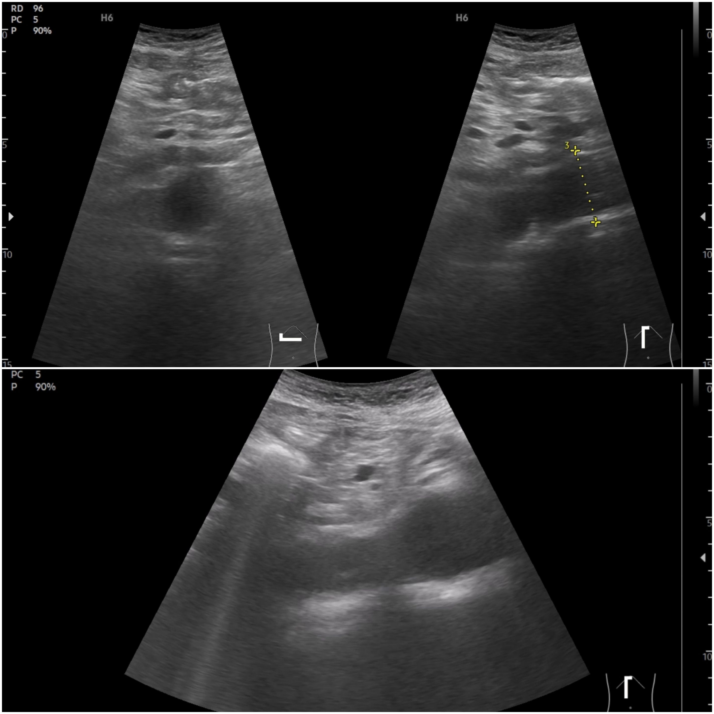
Ecografía: Próstata de 25 cc, sin lesiones intravesicales. Riñones de tamaño conservado con múltiples quistes bilaterales de varios tamaños, con criterios de quistes simples (anecoicos, pared fina, sin septos ni componente sólido, con refuerzo posterior), en número de más de cinco por cara riñón. Aorta abdominal de calibre aumentado a nivel epigastrio 35 mm llegando a 39 mm porción más distal. Aumento de calibre de ambas ilíacas.
Pruebas complementarias
Analítica con función renal preservada.
PSA 3,75 con índice 47%
LDL 78, HDL 29, CT 124, TG 85.
Juicio clínico, diagnóstico diferencial, concordancia con el hospital (en su caso)
Hiperplasia benigna de próstata.
Enfermedad poliquística probable PQRAD Enfermedad Poliquística Renal Autosómica Dominante.
Aneurisma aorta abdominal e ilíaco.
Hallazgo de aneurisma de aorta abdominal (AAA) en paciente con enfermedad arterial periférica y alto riesgo cardiovascular. El diferencial ecográfico incluye ectasia aórtica y sobrestimación por tortuosidad/planos oblicuos. Deben buscarse los signos de disección. Los quistes renales se clasifican como simples, diferenciándolos de quistes complejos y masas sólidas, pero en varón de 66 años siendo más de 5 en cada riñón obligan a pensar en la enfermedad poliquística.
Tratamiento, planes de actuación
Seguimiento periódico del AAA en Primaria, intensificación de los FRCV en especial la dislipemia en Prevención secundaria. Derivación a Nefrología.
Evolución
Buena evolución posterior, pendiente de seguimiento a día de hoy.El STUI debe estudiarse siempre. La ecografía clínica sistemática en pacientes factores de riesgo permite detectar AAA asintomáticos, manteniendo control ecográfico en Primaria y derivar a partir de 45 mm según protocolo. La caracterización correcta de quistes renales plantea la posibilidad de una PQRAD.


